tel 400-6027-270
Main Image
Anti-NAPSIN A 小鼠单克隆抗体
¥1900
加入对比
货号: K2363033-100
亚细胞定位: 分泌型
别名: Asp 4,ASP4,Aspartyl protease 4,KAP,Kdap,NAP1,NAPA,NAPSA,Napsin 1,Napsin A,napsin A aspartic peptidase,Pronapsin A,SNAPA,TA01/TA02,napsin A aspartic peptidase
应用 | 种属
IHC/IF H,M,R
规格:
产品信息
蛋白质全称 天冬氨酸蛋白酶A
别名 Asp 4,ASP4,Aspartyl protease 4,KAP,Kdap,NAP1,NAPA,NAPSA,Napsin 1,Napsin A,napsin A aspartic peptidase,Pronapsin A,SNAPA,TA01/TA02,napsin A aspartic peptidase
Uniprot ID O96009
免疫原 人NAPSIN-A重组蛋白
抗体亚型 IgG2b, κ
克隆号 3C2E4
纯化方式 亲和纯化
亚细胞定位 分泌型
应用
IHC/IF 免疫组织化学/免疫荧光
物种:人,小鼠,大鼠
稀释比:1:500-1:1500
阳性样品:肺, 肺鳞状细胞癌
背景
Napsin A is an aspartic proteinase that is expressed in normal lung and kidney. In the lung, napsin A is expressed by type II pneumocytes and alveolar macrophages, where it plays a role in processing surfactant protein B. Napsin A is expressed in lung adenocarcinomas, where it can be used to identify primary and metastatic lesions with greater sensitivity compared to TTF-1. Napsin A expression has also been described in other types of cancer, such as kidney and thyroid cancer.
储存条件
储存条件:储存条件在:-20℃下储存一年, 避免反复冻融.
储存缓冲液:含0.15% ProClin300防腐剂, 100 μg/mL牛血清白蛋白和50%甘油的磷酸盐缓冲液.
图像
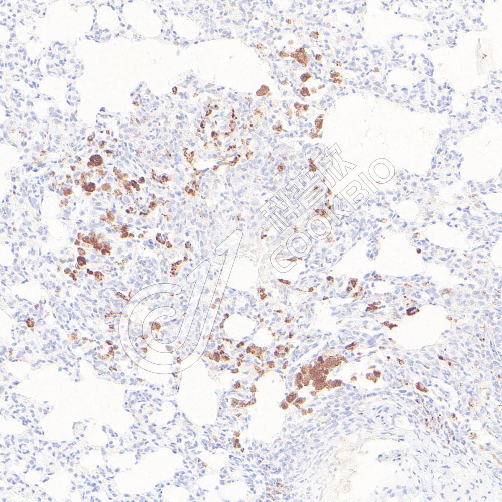
IHC检测NAPSIN A蛋白(货号 K2363033).
样品: 人肺鳞状细胞癌, 4%多聚甲醛 (货号KSG1101) 固定12-24小时.
抗原修复: 柠檬酸抗原修复液(干粉, pH 6.0) (KSG1201), 高压锅均匀喷气计时2分钟.
—抗: 1: 1000稀释, 4℃ 孵育过夜.
二抗: S-vision免疫组化多聚二抗(山羊抗小鼠), 即用型(货号KB3903), 室温孵育20分钟.
IHC检测NAPSIN A蛋白(货号 K2363033).
样品: 大鼠肺, 4%多聚甲醛 (货号KSG1101) 固定12-24小时.
抗原修复: 柠檬酸抗原修复液(干粉, pH 6.0) (KSG1201), 高压锅均匀喷气计时2分钟.
—抗: 1: 1000稀释, 4℃ 孵育过夜.
二抗: S-vision免疫组化多聚二抗(山羊抗小鼠), 即用型(货号KB3903), 室温孵育20分钟.
IF检测NAPSIN A蛋白(货号 K2363033)(红色).
样品: 小鼠肺, 4%多聚甲醛 (货号KSG1101) 固定12-24小时.
抗原修复: 柠檬酸抗原修复液(干粉, pH 6.0) (KSG1201), 高压锅均匀喷气计时2分钟.
封闭: 3% BSA(货号KSGC305010)的PBS溶液, 室温孵育30分钟.
—抗: 1: 1000稀释, 4℃ 孵育过夜.
二抗: Cy3标记山羊抗小鼠IgG (H+L) (货号KB63903), 1: 300稀释, 室温孵育1小时.

需要技术支持?

如果您有任何问题或如果您在实验过程中遇到问题,或需要更详细的技术指导,请联系我们的技术支持团队
电话 400-6027-270

联系我们

如果您对我们的公司或产品有任何疑问,欢迎随时联系我们