tel 400-6027-270
Main Image
Anti-MMP1 兔多克隆抗体
¥1900
加入对比
货号: K1347124-100
亚细胞定位: 分泌型, 胞外空间, 胞外基质
别名: CLG,CLGN,Fibroblast collagenase,Interstitial collagenase,Matrix metalloproteinase 1,MMP 1,MMP1,MMP-1
应用 | 种属
IHC/IF H
规格:
产品信息
蛋白质全称 间质胶原酶
别名 CLG,CLGN,Fibroblast collagenase,Interstitial collagenase,Matrix metalloproteinase 1,MMP 1,MMP1,MMP-1
Uniprot ID P03956
免疫原 KLH偶联的人MMP1合成肽
抗体亚型 IgG
纯化方式 亲和纯化
亚细胞定位 分泌型, 胞外空间, 胞外基质
应用
IHC/IF 免疫组织化学/免疫荧光
物种:人
稀释比:1:500-1:1500
阳性样品:乳腺癌, 宫颈癌
背景
This gene encodes a member of the peptidase M10 family of matrix metalloproteinases (MMPs). Proteins in this family are involved in the breakdown of extracellular matrix in normal physiological processes, such as embryonic development, reproduction, and tissue remodeling, as well as in disease processes, such as arthritis and metastasis. The encoded preproprotein is proteolytically processed to generate the mature protease. This secreted protease breaks down the interstitial collagens, including types I, II, and III. The gene is part of a cluster of MMP genes on chromosome 11. Mutations in this gene are associated with chronic obstructive pulmonary disease (COPD). Alternative splicing results in multiple transcript variants, at least one of which encodes an isoform that is proteolytically processed.
储存条件
储存条件:储存条件在:-20℃下储存一年, 避免反复冻融.
储存缓冲液:含0.15% ProClin300防腐剂, 100 μg/mL牛血清白蛋白和50%甘油的磷酸盐缓冲液.
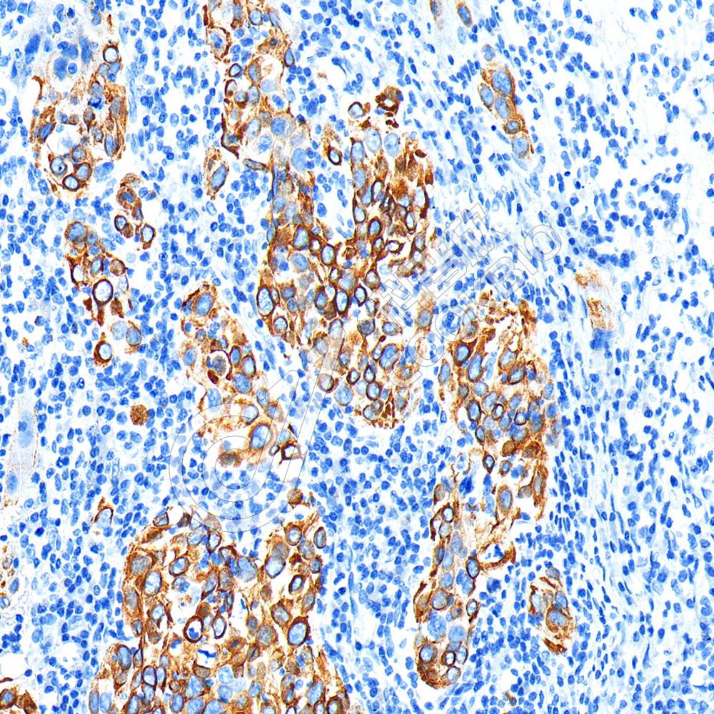
图像
IHC检测MMP1蛋白(货号 K1347124).
样品: 人乳腺癌, 4%多聚甲醛 (货号KSG1101) 固定12-24小时.
抗原修复: 柠檬酸抗原修复液(干粉, pH 6.0) (KSG1201), 98℃, 20分钟.
—抗: 1: 1000稀释, 4℃ 孵育过夜.
二抗: S-vision免疫组化多聚二抗(山羊抗兔),即用型 (货号KB3906), 室温孵育20分钟.
IHC检测MMP1蛋白(货号 K1347124).
样品: 人宫颈癌, 4%多聚甲醛 (货号KSG1101) 固定12-24小时.
抗原修复: 柠檬酸抗原修复液(干粉, pH 6.0) (KSG1201), 98℃, 20分钟.
—抗: 1: 1000稀释, 4℃ 孵育过夜.
二抗: S-vision免疫组化多聚二抗(山羊抗兔),即用型 (货号KB3906), 室温孵育20分钟.

需要技术支持?

如果您有任何问题或如果您在实验过程中遇到问题,或需要更详细的技术指导,请联系我们的技术支持团队
电话 400-6027-270

联系我们

如果您对我们的公司或产品有任何疑问,欢迎随时联系我们