tel 400-6027-270
Main Image
Anti-IQGAP3 兔多克隆抗体
¥1900
加入对比
货号: K1335253-100
亚细胞定位: 细胞膜, 细胞质
别名: IQGAP3,IQ motif containing GTPase activating protein 3,MGC1947
应用 | 种属
IHC/IF H
规格:
产品信息
蛋白质全称 Ras GTP酶激活样蛋白IQGAP3
别名 IQGAP3,IQ motif containing GTPase activating protein 3,MGC1947
Uniprot ID Q86VI3
免疫原 人IQGAP3重组蛋白
抗体亚型 IgG
纯化方式 亲和纯化
亚细胞定位 细胞膜, 细胞质
应用
IHC/IF 免疫组织化学/免疫荧光
物种:人
稀释比:1:700-1:1400
阳性样品:肺, 胎盘
背景
IQGAP3 (IQ motif containing GTPase activating protein 3) is a 1,631 amino acid protein that acts as an effector of Cdc42 and Rac 1, linking their activation to the cytoskeleton during neuronal morphogenesis. A novel member of the IQGAP family, IQGAP3 is highly expressed in brain where it localizes to axons of hippocampal neurons. IQGAP3 contains one Ras-GAP domain, a CH (calponin-homology) domain, four IQ domains and is encoded by a gene located on human chromosome 1, which spans 260 million base pairs, contains over 3,000 genes and comprises nearly 8% of the human genome.
储存条件
储存条件:储存条件在:-20℃下储存一年, 避免反复冻融.
储存缓冲液:含0.15% ProClin300防腐剂, 100 μg/mL牛血清白蛋白和50%甘油的磷酸盐缓冲液.
图像
IHC检测IQGAP3蛋白(货号 K1335253).
样品: 人肺, 4%多聚甲醛 (货号KSG1101) 固定12-24小时.
抗原修复: 柠檬酸抗原修复液(干粉, pH 6.0) (KSG1201), 98℃, 20分钟.
—抗: 1: 1100稀释, 4℃ 孵育过夜.
二抗: S-vision免疫组化多聚二抗(山羊抗兔),即用型 (货号KB3906), 室温孵育20分钟.
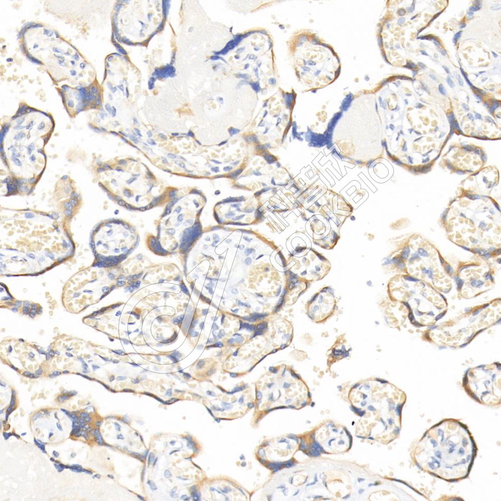
IHC检测IQGAP3蛋白(货号 K1335253).
样品: 人胎盘, 4%多聚甲醛 (货号KSG1101) 固定12-24小时.
抗原修复: 柠檬酸抗原修复液(干粉, pH 6.0) (KSG1201), 98℃, 20分钟.
—抗: 1: 1100稀释, 4℃ 孵育过夜.
二抗: S-vision免疫组化多聚二抗(山羊抗兔),即用型 (货号KB3906), 室温孵育20分钟.

需要技术支持?

如果您有任何问题或如果您在实验过程中遇到问题,或需要更详细的技术指导,请联系我们的技术支持团队
电话 400-6027-270

联系我们

如果您对我们的公司或产品有任何疑问,欢迎随时联系我们