tel 400-6027-270
Main Image
Recombinant Anti-PD-L1 antibody (兔单克隆抗体)
¥1900
加入对比
货号: K5467208-100
预测分子量: 33 kDa
观测分子量: 40-55 kDa
亚细胞定位: 细胞膜
别名: CD274,B7-H,B7H1,PDL-1,PDCD1L1,PDCD1LG1,PDL1,CD274 molecule,Programmed cell death 1 ligand 1
应用 | 种属
WB H
IHC/IF H
规格:
产品信息
蛋白质全称 程序性细胞死亡蛋白1配体1
别名 CD274,B7-H,B7H1,PDL-1,PDCD1L1,PDCD1LG1,PDL1,CD274 molecule,Programmed cell death 1 ligand 1
Uniprot ID Q9NZQ7
免疫原 人PD-L1重组蛋白
抗体亚型 IgG, κ
克隆号 SB247
纯化方式 亲和纯化
亚细胞定位 细胞膜
预测分子量./观测分子量. 33 kDa / 40-55 kDa
应用
WB 免疫印迹
物种:人
稀释比:1:500-1:1000
阳性样品:—
IHC/IF 免疫组织化学/免疫荧光
物种:人
稀释比:1:200-1:400
阳性样品:肺癌, 胎盘
背景
Plays a critical role in induction and maintenance of immune tolerance to self.As a ligand for the inhibitory receptor PDCD1/PD-1, modulates the activation threshold of T-cells and limits T-cell effector response.Through a yet unknown activating receptor, may costimulate T-cell subsets that predominantly produce interleukin-10 (IL10).Can also act as a transcription coactivator: in response to hypoxia, translocates into the nucleus via its interaction with phosphorylated STAT3 and promotes transcription of GSDMC, leading to pyroptosis.The PDCD1-mediated inhibitory pathway is exploited by tumors to attenuate anti-tumor immunity and escape destruction by the immune system, thereby facilitating tumor survival.The interaction with PDCD1/PD-1 inhibits cytotoxic T lymphocytes (CTLs) effector function.
储存条件
储存条件:储存条件在:-20℃下储存一年, 避免反复冻融.
储存缓冲液:含0.15% ProClin300防腐剂, 100 μg/mL牛血清白蛋白和50%甘油的磷酸盐缓冲液.
图像
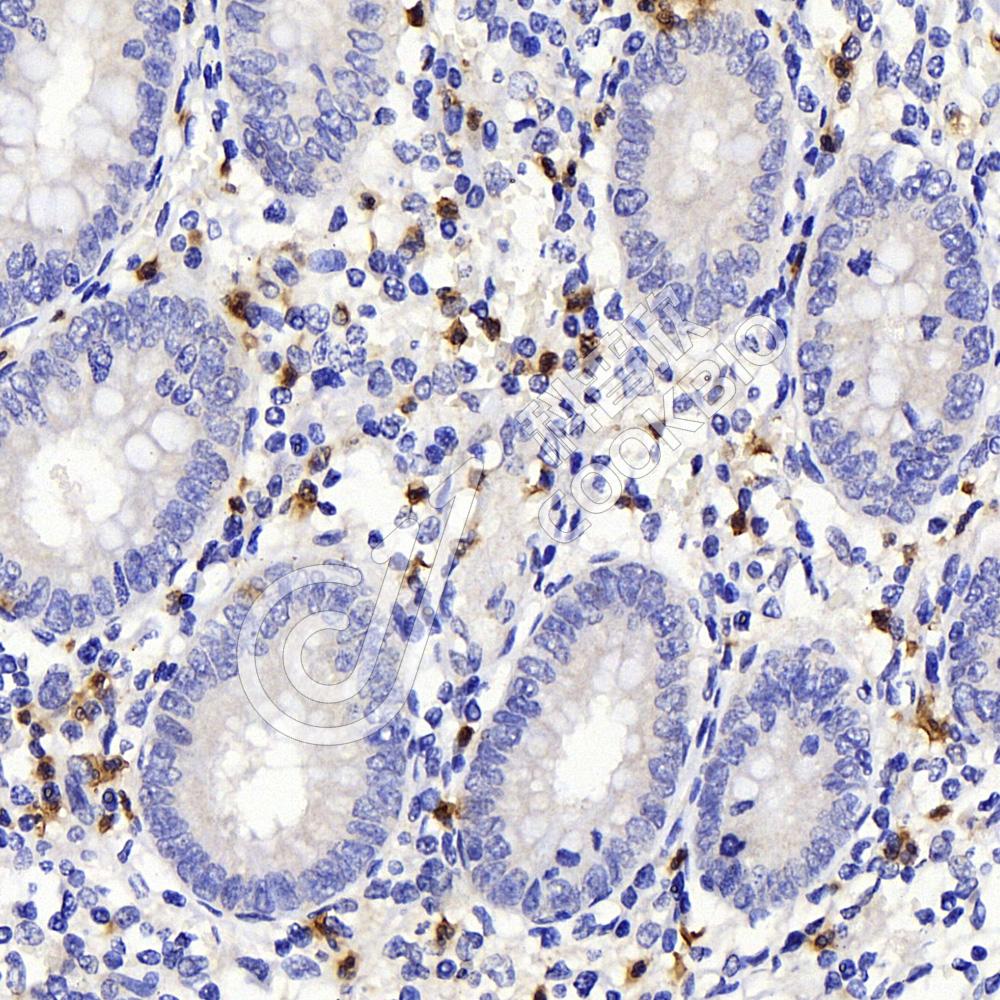
IHC检测PD-L1蛋白(货号 K5467208).
样品: 人肺癌, 4%多聚甲醛 (货号KSG1101) 固定12-24小时.
抗原修复: Tris-EDTA抗原修复液(pH 9.0) (KSG1203), 98℃, 20分钟.
—抗: 1: 300稀释, 4℃ 孵育过夜.
二抗: S-vision免疫组化多聚二抗(山羊抗兔),即用型 (货号KB3906), 室温孵育20分钟.
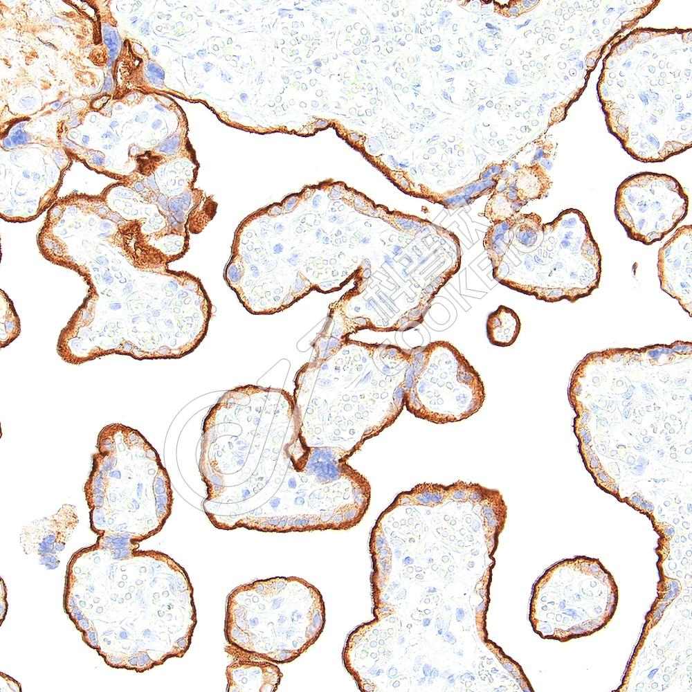
IHC检测PD-L1蛋白(货号 K5467208).
样品: 人胎盘, 4%多聚甲醛 (货号KSG1101) 固定12-24小时.
抗原修复: Tris-EDTA抗原修复液(pH 9.0) (KSG1203), 98℃, 20分钟.
—抗: 1: 300稀释, 4℃ 孵育过夜.
二抗: S-vision免疫组化多聚二抗(山羊抗兔),即用型 (货号KB3906), 室温孵育20分钟.

需要技术支持?

如果您有任何问题或如果您在实验过程中遇到问题,或需要更详细的技术指导,请联系我们的技术支持团队
电话 400-6027-270

联系我们

如果您对我们的公司或产品有任何疑问,欢迎随时联系我们