tel 400-6027-270
Main Image
Anti-splicing factor 1 兔多克隆抗体
¥1900
加入对比
货号: K1341214-100
亚细胞定位: 细胞核
别名: BBP,mBBP,CW17,D11S636,ZFM1,Transcription factor ZFM1,Splicing factor 1,Zinc finger gene in MEN1 locus,Zinc finger protein 162,ZNF162,Sf1,Zfm1,ZCCHC25
应用 | 种属
IHC/IF H,M
规格:
产品信息
蛋白质全称 剪接因子1
别名 BBP,mBBP,CW17,D11S636,ZFM1,Transcription factor ZFM1,Splicing factor 1,Zinc finger gene in MEN1 locus,Zinc finger protein 162,ZNF162,Sf1,Zfm1,ZCCHC25
Uniprot ID Q64213
免疫原 KLH偶联的小鼠splicing factor 1合成肽
抗体亚型 IgG
纯化方式 亲和纯化
亚细胞定位 细胞核
应用
IHC/IF 免疫组织化学/免疫荧光
物种:人,小鼠
稀释比:1:200-1:400
阳性样品:胎盘, 睾丸
背景
This gene encodes a nuclear pre-mRNA splicing factor. The encoded protein specifically recognizes the intron branch point sequence at the 3' splice site, together with the large subunit of U2 auxiliary factor (U2AF), and is required for the early stages of spliceosome assembly. It also plays a role in nuclear pre-mRNA retention and transcriptional repression. The encoded protein contains an N-terminal U2AF ligand motif, a central hnRNP K homology motif and quaking 2 region which bind a key branch-site adenosine within the branch point sequence, a zinc knuckles domain, and a C-terminal proline-rich domain.
储存条件
储存条件:储存条件在:-20℃下储存一年, 避免反复冻融.
储存缓冲液:含0.15% ProClin300防腐剂, 100 μg/mL牛血清白蛋白和50%甘油的磷酸盐缓冲液.
图像
IHC检测splicing factor 1蛋白(货号 K1341214).
样品: 人胎盘, 4%多聚甲醛 (货号KSG1101) 固定12-24小时.
抗原修复: Tris-EDTA抗原修复液(pH 9.0) (KSG1203), 98℃, 20分钟.
—抗: 1: 300稀释, 4℃ 孵育过夜.
二抗: S-vision免疫组化多聚二抗(山羊抗兔),即用型 (货号KB3906), 室温孵育20分钟.
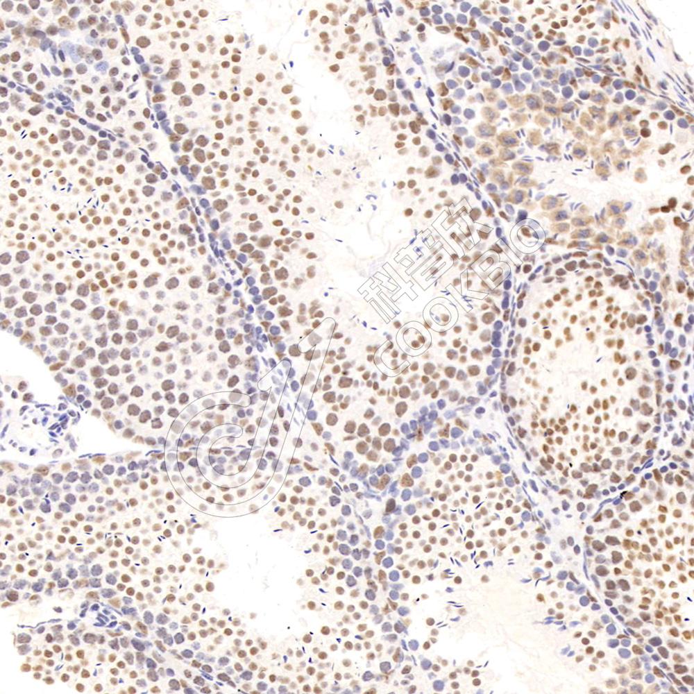
IHC检测splicing factor 1蛋白(货号 K1341214).
样品: 小鼠睾丸, 4%多聚甲醛 (货号KSG1101) 固定12-24小时.
抗原修复: Tris-EDTA抗原修复液(pH 9.0) (KSG1203), 98℃, 20分钟.
—抗: 1: 300稀释, 4℃ 孵育过夜.
二抗: S-vision免疫组化多聚二抗(山羊抗兔),即用型 (货号KB3906), 室温孵育20分钟.

需要技术支持?

如果您有任何问题或如果您在实验过程中遇到问题,或需要更详细的技术指导,请联系我们的技术支持团队
电话 400-6027-270

联系我们

如果您对我们的公司或产品有任何疑问,欢迎随时联系我们