tel 400-6027-270
Main Image
Anti-EFTUD2 兔多克隆抗体
¥1900
加入对比
货号: K1335910-100
预测分子量: 109 kDa
观测分子量: 130 kDa
亚细胞定位: 细胞核
别名: Elongation factor Tu GTP-binding domain-containing protein 2,U5-116 kDa,Eftud2,MFDGA,U5 snRNP-specific protein,U5 small nuclear ribonucleoprotein component,  SNU114
应用 | 种属
WB H,M,R
IHC/IF H,M,R
规格:
产品信息
蛋白质全称 116 kDa U5小核糖核蛋白组分
别名 Elongation factor Tu GTP-binding domain-containing protein 2,U5-116 kDa,Eftud2,MFDGA,U5 snRNP-specific protein,U5 small nuclear ribonucleoprotein component,  SNU114
Uniprot ID O08810
免疫原 KLH偶联的小鼠EFTUD2合成肽
抗体亚型 IgG
纯化方式 亲和纯化
亚细胞定位 细胞核
预测分子量./观测分子量. 109 kDa / 130 kDa
应用
WB 免疫印迹
物种:人,小鼠,大鼠
稀释比:1:500-1:1000
阳性样品:PC-12细胞, Jurkat细胞, Hep G2细胞
IHC/IF 免疫组织化学/免疫荧光
物种:人,小鼠,大鼠
稀释比:1:500-1:1100
阳性样品:乳腺癌, 结肠, 卵巢
背景
EFTUD2 encodes the 116 kDa U5 small nuclear ribonecleoprotein (snRNP) component, also named SNU114, it has GTP binding activity and is required for pre-mRNA splicing. Evolutionarily conserved human snRNP protein (U5-116kDa) is homologous to the ribosomal elongation factor EF-2 (ribosomal translocase). Defects in EFTUD2 are the cause of mandibulofacial dysostosis with microcephaly (MFDM). So far, acetylation and phosphorylation sites of EFTUD2 have been identified.
储存条件
储存条件:储存条件在:-20℃下储存一年, 避免反复冻融.
储存缓冲液:含0.15% ProClin300防腐剂, 100 μg/mL牛血清白蛋白和50%甘油的磷酸盐缓冲液.
图像
WB检测EFTUD2蛋白(货号 K1335910).
样品: 经RIPA裂解液(货号KSG2002)处理的蛋白质.
封闭: 3%脱脂牛奶(货号KSGC310001)溶于TBST溶液, 室温孵育1小时.
—抗: 1: 500稀释, 4℃ 孵育过夜.
二抗: HRP标记山羊抗兔IgG (H+L) (货号KB69909), 1: 5000稀释, 室温孵育1小时.
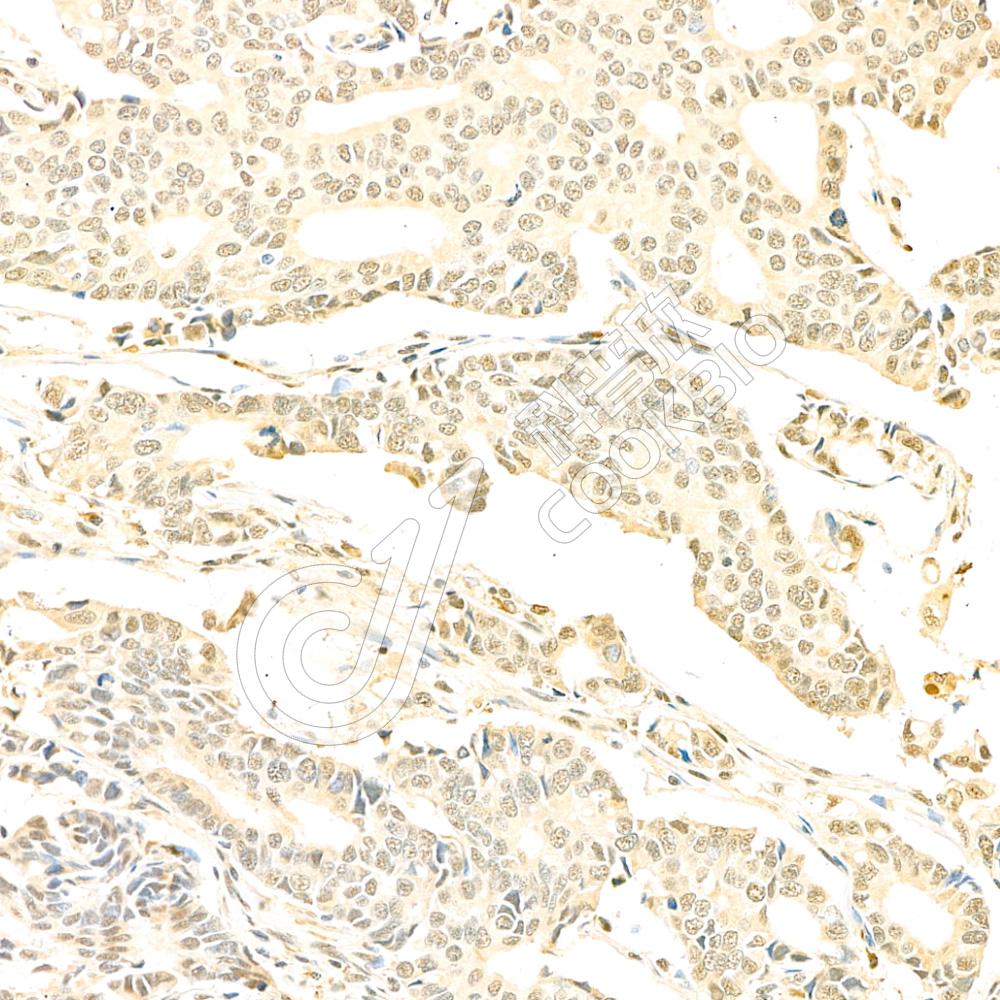
IHC检测EFTUD2蛋白(货号 K1335910).
样品: 人乳腺癌, 4%多聚甲醛 (货号KSG1101) 固定12-24小时.
抗原修复: Tris-EDTA抗原修复液(pH 9.0) (KSG1203), 98℃, 20分钟.
—抗: 1: 800稀释, 4℃ 孵育过夜.
二抗: S-vision免疫组化多聚二抗(山羊抗兔),即用型 (货号KB3906), 室温孵育20分钟.
IHC检测EFTUD2蛋白(货号 K1335910).
样品: 小鼠结肠, 4%多聚甲醛 (货号KSG1101) 固定12-24小时.
抗原修复: Tris-EDTA抗原修复液(pH 9.0) (KSG1203), 98℃, 20分钟.
—抗: 1: 800稀释, 4℃ 孵育过夜.
二抗: S-vision免疫组化多聚二抗(山羊抗兔),即用型 (货号KB3906), 室温孵育20分钟.
IF检测EFTUD2蛋白(货号 K1335910)(红色).
样品: 大鼠卵巢, 4%多聚甲醛 (货号KSG1101) 固定12-24小时.
抗原修复: Tris-EDTA抗原修复液(pH 9.0) (KSG1203), 98℃, 20分钟.
封闭: 3% BSA(货号KSGC305010)的PBS溶液, 室温孵育30分钟.
—抗: 1: 800稀释, 4℃ 孵育过夜.
二抗: Cy3标记山羊抗兔IgG (H+L) (货号KB63909), 1: 300稀释, 室温孵育1小时.

需要技术支持?

如果您有任何问题或如果您在实验过程中遇到问题,或需要更详细的技术指导,请联系我们的技术支持团队
电话 400-6027-270

联系我们

如果您对我们的公司或产品有任何疑问,欢迎随时联系我们