tel 400-6027-270
Main Image
Anti-MDA5 兔多克隆抗体
¥1900
加入对比
货号: K1335673-100
亚细胞定位: 细胞质, 细胞核
别名: Helicase with 2 CARD domains,Helicard,Melanoma differentiation-associated protein 5,MDA-5,RIG-I-like receptor 2,RLR-2,Ifih1,RH116,MDA5
应用 | 种属
IHC/IF M
规格:
产品信息
蛋白质全称 干扰素诱导解旋酶C域蛋白1
别名 Helicase with 2 CARD domains,Helicard,Melanoma differentiation-associated protein 5,MDA-5,RIG-I-like receptor 2,RLR-2,Ifih1,RH116,MDA5
Uniprot ID Q8R5F7
免疫原 KLH偶联的小鼠MDA5合成肽
抗体亚型 IgG
纯化方式 亲和纯化
亚细胞定位 细胞质, 细胞核
应用
IHC/IF 免疫组织化学/免疫荧光
物种:小鼠
稀释比:1:300-1:600
阳性样品:心, 肝
背景
IFIH1 (Interferon-induced helicase C domain-containing protein 1) is a putative RNA helicase that is upregulated in response to treatment with IFNB or IFNB and MEZ. It is also named as MDA5 and RH116. Ectopic expression of MDA5 in melanoma cells resulted in reduced colony formation, suggesting an interaction of the CARD and apoptotic signal molecules. Functional analysis indicated that MDA5 is an RNA-dependent ATPase. IFIH1 has an apparent molecular mass of 117-130 kDa, and always other bands (70 kDa and 90 kDa) can be detected as cleaved products.
储存条件
储存条件:储存条件在:-20℃下储存一年, 避免反复冻融.
储存缓冲液:含0.15% ProClin300防腐剂, 100 μg/mL牛血清白蛋白和50%甘油的磷酸盐缓冲液.
图像
IHC检测MDA5蛋白(货号 K1335673).
样品: 小鼠心, 4%多聚甲醛 (货号KSG1101) 固定12-24小时.
抗原修复: 柠檬酸抗原修复液(干粉, pH 6.0) (KSG1201), 98℃, 20分钟.
—抗: 1: 500稀释, 4℃ 孵育过夜.
二抗: S-vision免疫组化多聚二抗(山羊抗兔),即用型 (货号KB3906), 室温孵育20分钟.
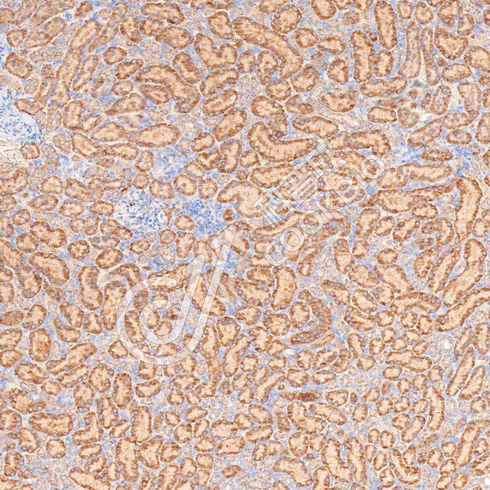
IHC检测MDA5蛋白(货号 K1335673).
样品: 小鼠肝, 4%多聚甲醛 (货号KSG1101) 固定12-24小时.
抗原修复: 柠檬酸抗原修复液(干粉, pH 6.0) (KSG1201), 98℃, 20分钟.
—抗: 1: 500稀释, 4℃ 孵育过夜.
二抗: S-vision免疫组化多聚二抗(山羊抗兔),即用型 (货号KB3906), 室温孵育20分钟.

需要技术支持?

如果您有任何问题或如果您在实验过程中遇到问题,或需要更详细的技术指导,请联系我们的技术支持团队
电话 400-6027-270

联系我们

如果您对我们的公司或产品有任何疑问,欢迎随时联系我们