tel 400-6027-270
Main Image
Anti-PACT (PKR activating protein)/PRKRA 兔多克隆抗体
¥1900
加入对比
货号: K1340626-100
预测分子量: 34 kDa
观测分子量: 34 kDa
亚细胞定位: 细胞质
别名: DYT16,HSD 14,HSD14,PACT,PKR associated protein X,PKR associating protein X,PRKRA,RAX
应用 | 种属
WB M,R
IHC/IF R
规格:
产品信息
蛋白质全称 干扰素诱导双链RNA依赖蛋白激酶激活剂A
别名 DYT16,HSD 14,HSD14,PACT,PKR associated protein X,PKR associating protein X,PRKRA,RAX
Uniprot ID Q9WTX2
免疫原 小鼠PRKRA重组蛋白
抗体亚型 IgG
纯化方式 亲和纯化
亚细胞定位 细胞质
预测分子量./观测分子量. 34 kDa / 34 kDa
应用
WB 免疫印迹
物种:小鼠,大鼠
稀释比:1:500-1:1500
阳性样品:—
IHC/IF 免疫组织化学/免疫荧光
物种:大鼠
稀释比:1:600-1:1200
阳性样品:小脑, 黑质
背景
This gene encodes a protein kinase activated by double-stranded RNA which mediates the effects of interferon in response to viral infection. Mutations in this gene have been associated with dystonia. Alternative splicing results in multiple transcript variants.
储存条件
储存条件:储存条件在:-20℃下储存一年, 避免反复冻融.
储存缓冲液:含0.15% ProClin300防腐剂, 100 μg/mL牛血清白蛋白和50%甘油的磷酸盐缓冲液.
图像
IHC检测PACT (PKR activating protein)/PRKRA蛋白(货号 K1340626).
样品: 大鼠小脑, 4%多聚甲醛 (货号KSG1101) 固定12-24小时.
抗原修复: 柠檬酸抗原修复液(干粉, pH 6.0) (KSG1201), 98℃, 20分钟.
—抗: 1: 900稀释, 4℃ 孵育过夜.
二抗: S-vision免疫组化多聚二抗(山羊抗兔),即用型 (货号KB3906), 室温孵育20分钟.
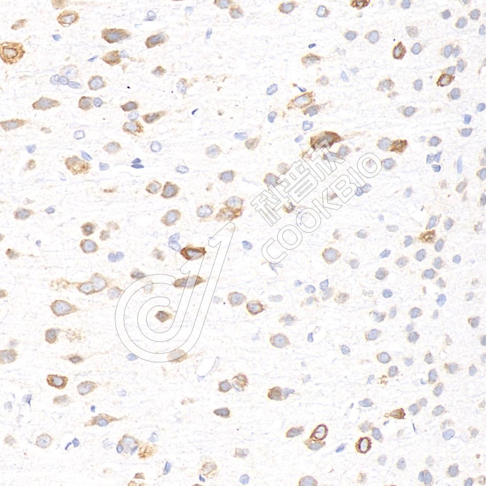
IHC检测PACT (PKR activating protein)/PRKRA蛋白(货号 K1340626).
样品: 大鼠黑质, 4%多聚甲醛 (货号KSG1101) 固定12-24小时.
抗原修复: 柠檬酸抗原修复液(干粉, pH 6.0) (KSG1201), 98℃, 20分钟.
—抗: 1: 900稀释, 4℃ 孵育过夜.
二抗: S-vision免疫组化多聚二抗(山羊抗兔),即用型 (货号KB3906), 室温孵育20分钟.

需要技术支持?

如果您有任何问题或如果您在实验过程中遇到问题,或需要更详细的技术指导,请联系我们的技术支持团队
电话 400-6027-270

联系我们

如果您对我们的公司或产品有任何疑问,欢迎随时联系我们