tel 400-6027-270
Main Image
Recombinant Anti-METTL14 antibody (兔单克隆抗体)
¥1900
加入对比
货号: K5450318-100
预测分子量: 52 kDa
观测分子量: 65 kDa
亚细胞定位: 细胞核
别名: KIAA1627,Methyltransferase-like protein 14,hMETTL14,mettl14,METTL14
应用 | 种属
WB H,M,R
IHC/IF H,M,R
规格:
产品信息
蛋白质全称 N(6)-腺苷甲基转移酶非催化亚基METTL14
别名 KIAA1627,Methyltransferase-like protein 14,hMETTL14,mettl14,METTL14
Uniprot ID Q9HCE5
免疫原 人METTL14重组蛋白
抗体亚型 IgG
克隆号 SB471
纯化方式 亲和纯化
亚细胞定位 细胞核
预测分子量./观测分子量. 52 kDa / 65 kDa
应用
WB 免疫印迹
物种:人, 小鼠, 大鼠
稀释比:1:1000-1:4000
阳性样品:—
IHC/IF 免疫组织化学/免疫荧光
物种:人, 小鼠, 大鼠
稀释比:1:2000-1:6000
阳性样品:肾, 睾丸
背景
The METTL3-METTL14 heterodimer forms a N6-methyltransferase complex that methylates adenosine residues at the N6 position of some mRNAs and regulates the circadian clock, differentiation of embryonic stem cells and cortical neurogenesis.In the heterodimer formed with METTL3, METTL14 constitutes the RNA-binding scaffold that recognizes the substrate rather than the catalytic core.
储存条件
储存条件:储存条件在:-20℃下储存一年, 避免反复冻融.
储存缓冲液:含0.15% ProClin300防腐剂, 100 μg/mL牛血清白蛋白和50%甘油的磷酸盐缓冲液.
图像
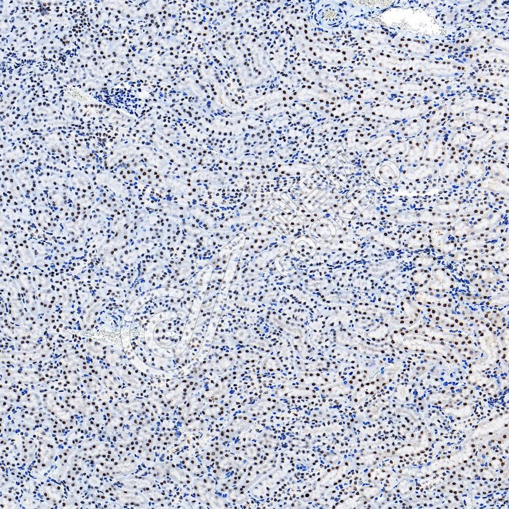
IHC检测METTL14蛋白(货号 K5450318).
样品: 人肾, 4%多聚甲醛 (货号KSG1101) 固定12-24小时.
抗原修复: Tris-EDTA抗原修复液(pH 9.0) (KSG1203), 100℃, 25分钟.
—抗: 1: 4000稀释, 4℃ 孵育过夜.
二抗: S-vision免疫组化多聚二抗(山羊抗兔),即用型 (货号KB3906), 室温孵育20分钟.
IHC检测METTL14蛋白(货号 K5450318).
样品: 小鼠肾, 4%多聚甲醛 (货号KSG1101) 固定12-24小时.
抗原修复: Tris-EDTA抗原修复液(pH 9.0) (KSG1203), 100℃, 25分钟.
—抗: 1: 4000稀释, 4℃ 孵育过夜.
二抗: S-vision免疫组化多聚二抗(山羊抗兔),即用型 (货号KB3906), 室温孵育20分钟.
IHC检测METTL14蛋白(货号 K5450318).
样品: 大鼠睾丸, 4%多聚甲醛 (货号KSG1101) 固定12-24小时.
抗原修复: Tris-EDTA抗原修复液(pH 9.0) (KSG1203), 100℃, 25分钟.
—抗: 1: 4000稀释, 4℃ 孵育过夜.
二抗: S-vision免疫组化多聚二抗(山羊抗兔),即用型 (货号KB3906), 室温孵育20分钟.
IF检测METTL14蛋白(货号 K5450318)(红色).
样品: 人肾, 4%多聚甲醛 (货号KSG1101) 固定12-24小时.
抗原修复: Tris-EDTA抗原修复液(pH 9.0) (KSG1203), 100℃, 25分钟.
封闭: 3% BSA(货号KSGC305010)的PBS溶液, 室温孵育30分钟.
—抗: 1: 4000稀释, 4℃ 孵育过夜.
二抗: Cy3标记山羊抗兔IgG (H+L) (货号KB63909), 1: 300稀释, 室温孵育1小时.
IF检测METTL14蛋白(货号 K5450318)(红色).
样品: 小鼠睾丸, 4%多聚甲醛 (货号KSG1101) 固定12-24小时.
抗原修复: Tris-EDTA抗原修复液(pH 9.0) (KSG1203), 100℃, 25分钟.
封闭: 3% BSA(货号KSGC305010)的PBS溶液, 室温孵育30分钟.
—抗: 1: 4000稀释, 4℃ 孵育过夜.
二抗: Cy3标记山羊抗兔IgG (H+L) (货号KB63909), 1: 300稀释, 室温孵育1小时.
IF检测METTL14蛋白(货号 K5450318)(红色).
样品: 大鼠睾丸, 4%多聚甲醛 (货号KSG1101) 固定12-24小时.
抗原修复: Tris-EDTA抗原修复液(pH 9.0) (KSG1203), 100℃, 25分钟.
封闭: 3% BSA(货号KSGC305010)的PBS溶液, 室温孵育30分钟.
—抗: 1: 4000稀释, 4℃ 孵育过夜.
二抗: Cy3标记山羊抗兔IgG (H+L) (货号KB63909), 1: 300稀释, 室温孵育1小时.

需要技术支持?

如果您有任何问题或如果您在实验过程中遇到问题,或需要更详细的技术指导,请联系我们的技术支持团队
电话 400-6027-270

联系我们

如果您对我们的公司或产品有任何疑问,欢迎随时联系我们