tel 400-6027-270
Main Image
Anti-PABP 兔多克隆抗体
¥1900
加入对比
货号: K1333492-100
预测分子量: 71 kDa
观测分子量: 71 kDa
亚细胞定位: 细胞核, 细胞质
别名: PABP-1,Poly(A)-binding protein 1,Pabpc1,Pabp1
应用 | 种属
WB H,M,R
IHC/IF M,R
规格:
产品信息
蛋白质全称 聚腺苷酸结合蛋白1
别名 PABP-1,Poly(A)-binding protein 1,Pabpc1,Pabp1
Uniprot ID P29341
免疫原 小鼠PABP重组蛋白
抗体亚型 IgG
纯化方式 亲和纯化
亚细胞定位 细胞核, 细胞质
预测分子量./观测分子量. 71 kDa / 71 kDa
应用
WB 免疫印迹
物种:人,小鼠,大鼠
稀释比:1:500-1:1000
阳性样品:—
IHC/IF 免疫组织化学/免疫荧光
物种:小鼠,大鼠
稀释比:1:1000-1:4000
阳性样品:睾丸
背景
PABPC1 binds the poly(A) tail of mRNA. It may be involved in cytoplasmic regulatory processes of mRNA metabolism such as pre-mRNA splicing. Its function in translational initiation regulation can either be enhanced by PAIP1 or repressed by PAIP2. PABPC1 can probably bind to cytoplasmic RNA sequences other than poly(A) in vivo. It may be involved in translationally coupled mRNA turnover. Implicated with other RNA-binding proteins in the cytoplasmic deadenylation/translational and decay interplay of the FOS mRNA mediated by the major coding-region determinant of instability (mCRD) domain.
储存条件
储存条件:储存条件在:-20℃下储存一年, 避免反复冻融.
储存缓冲液:含0.15% ProClin300防腐剂, 100 μg/mL牛血清白蛋白和50%甘油的磷酸盐缓冲液.
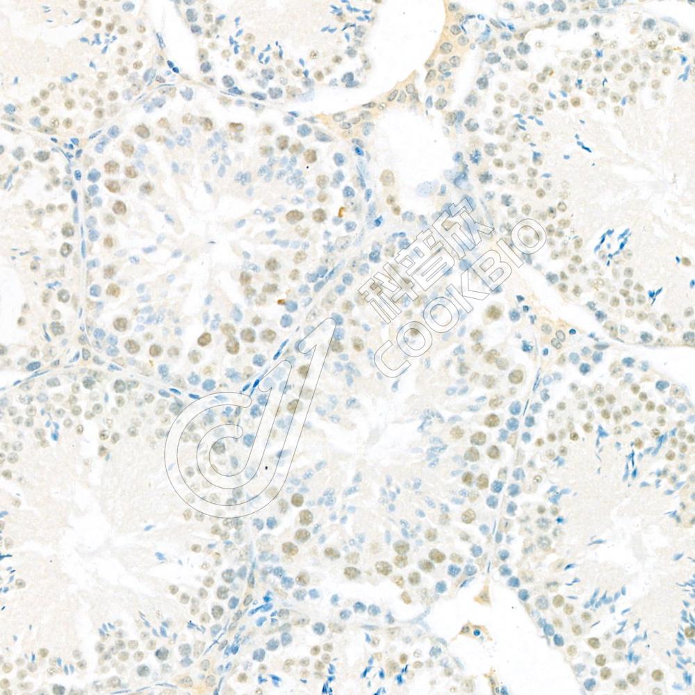
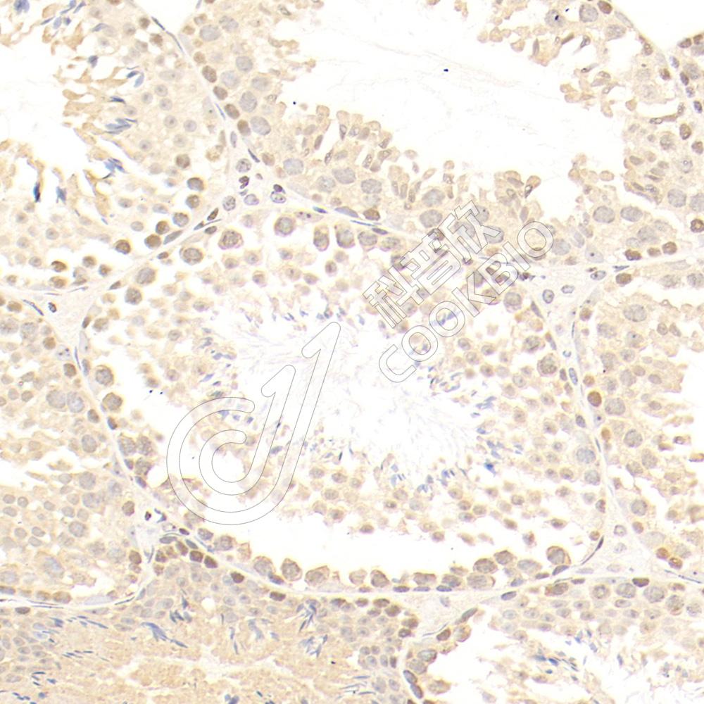
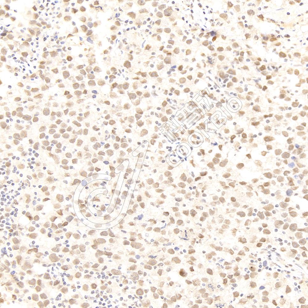
图像
IHC检测PABP蛋白(货号 K1333492).
样品: 小鼠睾丸, 4%多聚甲醛 (货号KSG1101) 固定12-24小时.
抗原修复: 柠檬酸抗原修复液(干粉, pH 6.0) (KSG1201), 98℃, 20分钟.
—抗: 1: 2500稀释, 4℃ 孵育过夜.
二抗: S-vision免疫组化多聚二抗(山羊抗兔),即用型 (货号KB3906), 室温孵育20分钟.
IHC检测PABP蛋白(货号 K1333492).
样品: 大鼠睾丸, 4%多聚甲醛 (货号KSG1101) 固定12-24小时.
抗原修复: 柠檬酸抗原修复液(干粉, pH 6.0) (KSG1201), 98℃, 20分钟.
—抗: 1: 2500稀释, 4℃ 孵育过夜.
二抗: S-vision免疫组化多聚二抗(山羊抗兔),即用型 (货号KB3906), 室温孵育20分钟.

需要技术支持?

如果您有任何问题或如果您在实验过程中遇到问题,或需要更详细的技术指导,请联系我们的技术支持团队
电话 400-6027-270

联系我们

如果您对我们的公司或产品有任何疑问,欢迎随时联系我们