tel 400-6027-270
Main Image
Anti-NOP58 兔多克隆抗体
¥1900
加入对比
货号: K1345744-100
预测分子量: 60 kDa
观测分子量: 68 kDa
亚细胞定位: 细胞核, 核仁, 核质
别名: HSPC120,NOL5,NOP5,NOP5/NOP58,NOP58,Nucleolar protein 5,Nucleolar protein 58
应用 | 种属
WB H,M,R
IHC/IF R
规格:
产品信息
蛋白质全称 核仁蛋白58
别名 HSPC120,NOL5,NOP5,NOP5/NOP58,NOP58,Nucleolar protein 5,Nucleolar protein 58
Uniprot ID Q6DFW4
免疫原 KLH偶联的小鼠NOP58合成肽
抗体亚型 IgG
纯化方式 亲和纯化
亚细胞定位 细胞核, 核仁, 核质
预测分子量./观测分子量. 60 kDa / 68 kDa
应用
WB 免疫印迹
物种:人,小鼠,大鼠
稀释比:1:1000-1:3000
阳性样品:—
IHC/IF 免疫组织化学/免疫荧光
物种:大鼠
稀释比:1:700-1:2100
阳性样品:肾
背景
Required for 60S ribosomal subunit biogenesis (By similarity). Core component of box C/D small nucleolar ribonucleoprotein (snoRNP) particles. Required for the biogenesis of box C/D snoRNAs such as U3, U8 and U14 snoRNAs (By similarity).
储存条件
储存条件:储存条件在:-20℃下储存一年, 避免反复冻融.
储存缓冲液:含0.15% ProClin300防腐剂, 100 μg/mL牛血清白蛋白和50%甘油的磷酸盐缓冲液.
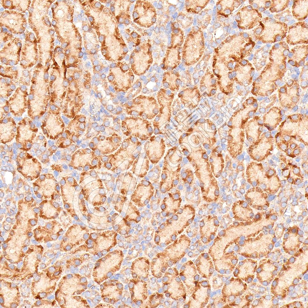
图像
IHC检测NOP58蛋白(货号 K1345744).
样品: 大鼠肾, 4%多聚甲醛 (货号KSG1101) 固定12-24小时.
抗原修复: Tris-EDTA抗原修复液(pH 9.0) (KSG1203), 98℃, 20分钟.
—抗: 1: 1400稀释, 4℃ 孵育过夜.
二抗: S-vision免疫组化多聚二抗(山羊抗兔),即用型 (货号KB3906), 室温孵育20分钟.
IHC检测NOP58蛋白(货号 K1345744).
样品: 大鼠肾, 4%多聚甲醛 (货号KSG1101) 固定12-24小时.
抗原修复: Tris-EDTA抗原修复液(pH 9.0) (KSG1203), 98℃, 20分钟.
—抗: 1: 1400稀释, 4℃ 孵育过夜.
二抗: S-vision免疫组化多聚二抗(山羊抗兔),即用型 (货号KB3906), 室温孵育20分钟.

需要技术支持?

如果您有任何问题或如果您在实验过程中遇到问题,或需要更详细的技术指导,请联系我们的技术支持团队
电话 400-6027-270

联系我们

如果您对我们的公司或产品有任何疑问,欢迎随时联系我们