tel 400-6027-270
Main Image
Anti-SRRM2 兔多克隆抗体
¥1900
加入对比
货号: K1336129-100
亚细胞定位: 细胞核
别名: Srrm2,Kiaa0324,CWC21,SRL300,TaxREB803,300 kDa nuclear matrix antigen,SR-related nuclear matrix protein of 300 kDa,Splicing coactivator subunit SRm300
应用 | 种属
IHC/IF M,R
规格:
产品信息
蛋白质全称 丝氨酸/精氨酸重复基质蛋白2
别名 Srrm2,Kiaa0324,CWC21,SRL300,TaxREB803,300 kDa nuclear matrix antigen,SR-related nuclear matrix protein of 300 kDa,Splicing coactivator subunit SRm300
Uniprot ID Q8BTI8
免疫原 小鼠SRRM2重组蛋白
抗体亚型 IgG
纯化方式 亲和纯化
亚细胞定位 细胞核
应用
IHC/IF 免疫组织化学/免疫荧光
物种:小鼠,大鼠
稀释比:1:600-1:2000
阳性样品:脑, 十二指肠
背景
The SRm160/300 splicing coactivator, which consists of the serine/arginine (SR)-related nuclear matrix protein and a nuclear matrix antigen, functions in splicing by promoting critical interactions between splicing factors bound to pre-mRNA. This splicing pathway involves five core small nuclear ribonucleoprotein particles (snRNPs) and the SR family proteins, which coordinately bind to pre-mRNA slicing enhancer elements, are required for accurate splice site recognition, and regulate alterative splicing patterns.
储存条件
储存条件:储存条件在:-20℃下储存一年, 避免反复冻融.
储存缓冲液:含0.15% ProClin300防腐剂, 100 μg/mL牛血清白蛋白和50%甘油的磷酸盐缓冲液.
图像
IHC检测SRRM2蛋白(货号 K1336129).
样品: 小鼠十二指肠, 4%多聚甲醛 (货号KSG1101) 固定12-24小时.
抗原修复: 柠檬酸抗原修复液(干粉, pH 6.0) (KSG1201), 98℃, 20分钟.
—抗: 1: 1300稀释, 4℃ 孵育过夜.
二抗: S-vision免疫组化多聚二抗(山羊抗兔),即用型 (货号KB3906), 室温孵育20分钟.
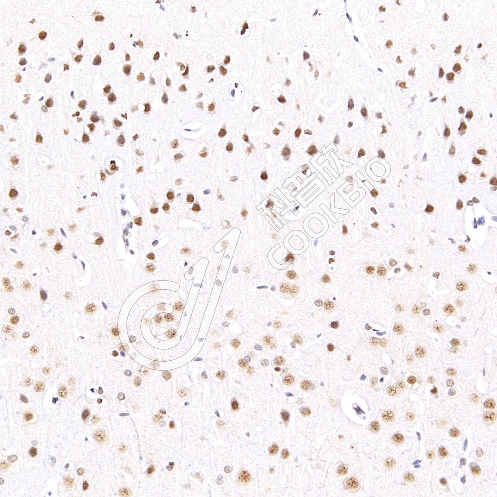
IHC检测SRRM2蛋白(货号 K1336129).
样品: 大鼠脑, 4%多聚甲醛 (货号KSG1101) 固定12-24小时.
抗原修复: 柠檬酸抗原修复液(干粉, pH 6.0) (KSG1201), 98℃, 20分钟.
—抗: 1: 1300稀释, 4℃ 孵育过夜.
二抗: S-vision免疫组化多聚二抗(山羊抗兔),即用型 (货号KB3906), 室温孵育20分钟.

需要技术支持?

如果您有任何问题或如果您在实验过程中遇到问题,或需要更详细的技术指导,请联系我们的技术支持团队
电话 400-6027-270

联系我们

如果您对我们的公司或产品有任何疑问,欢迎随时联系我们