tel 400-6027-270
Main Image
Anti-ZO1 tight junction protein 兔多克隆抗体
¥1900
加入对比
货号: K133585-100
亚细胞定位: 细胞膜, 细胞连接
别名: TJP1,ZO-1,Tight junction protein 1
应用 | 种属
IHC/IF H,M,R
规格:
产品信息
蛋白质全称 紧密连接蛋白ZO-1
别名 TJP1,ZO-1,Tight junction protein 1
Uniprot ID P39447
免疫原 KLH偶联的小鼠ZO1 tight junction protein合成肽
抗体亚型 IgG
纯化方式 亲和纯化
亚细胞定位 细胞膜, 细胞连接
应用
IHC/IF 免疫组织化学/免疫荧光
物种:人,小鼠,大鼠
稀释比:1:500-1:1200
阳性样品:结肠
背景
Tjp1, TjpP2, and Tjp3 are closely related scaffolding proteins that link tight junction (TJ) transmembrane proteins such as claudins, junctional adhesion molecules, and occludin to the actin cytoskeleton.The tight junction acts to limit movement of substances through the paracellular space and as a boundary between the compositionally distinct apical and basolateral plasma membrane domains of epithelial and endothelial cells. Necessary for lumenogenesis, and particularly efficient epithelial polarization and barrier formation.Plays a role in the regulation of cell migration by targeting Cdc42bpb to the leading edge of migrating cells.Plays an important role in podosome formation and associated function, thus regulating cell adhesion and matrix remodeling.With Tjp2 and TJjp3, participates in the junctional retention and stability of the transcription factor Dbpa, but is not involved in its shuttling to the nucleus.
储存条件
储存条件:储存条件在:-20℃下储存一年, 避免反复冻融.
储存缓冲液:含0.15% ProClin300防腐剂, 100 μg/mL牛血清白蛋白和50%甘油的磷酸盐缓冲液.
图像
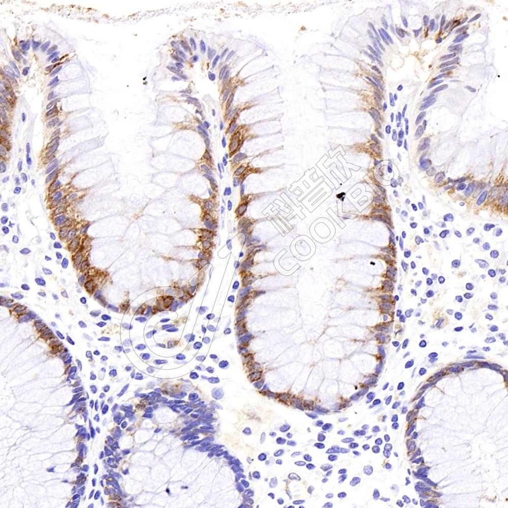
IHC检测ZO1 tight junction protein蛋白(货号 K133585).
样品: 人结肠, 4%多聚甲醛 (货号KSG1101) 固定12-24小时.
抗原修复: 柠檬酸抗原修复液(干粉, pH 6.0) (KSG1201), 98℃, 20分钟.
—抗: 1: 900稀释, 4℃ 孵育过夜.
二抗: S-vision免疫组化多聚二抗(山羊抗兔),即用型 (货号KB3906), 室温孵育20分钟.
IHC检测ZO1 tight junction protein蛋白(货号 K133585).
样品: 人结肠, 4%多聚甲醛 (货号KSG1101) 固定12-24小时.
抗原修复: 柠檬酸抗原修复液(干粉, pH 6.0) (KSG1201), 98℃, 20分钟.
—抗: 1: 900稀释, 4℃ 孵育过夜.
二抗: S-vision免疫组化多聚二抗(山羊抗兔),即用型 (货号KB3906), 室温孵育20分钟.

需要技术支持?

如果您有任何问题或如果您在实验过程中遇到问题,或需要更详细的技术指导,请联系我们的技术支持团队
电话 400-6027-270

联系我们

如果您对我们的公司或产品有任何疑问,欢迎随时联系我们