tel 400-6027-270
Main Image
Anti-Claudin 1 兔多克隆抗体
¥1900
加入对比
货号: K1337629-100
预测分子量: 23 kDa
观测分子量: 20 kDa
亚细胞定位: 细胞膜
别名: Cldn1,SEMP1,CLD1,Senescence associated epithelial membrane protein 1,ILVASC,CLDN1,claudin 1
应用 | 种属
WB H,M,R
IHC/IF H
规格:
产品信息
蛋白质全称 紧密连接蛋白1
别名 Cldn1,SEMP1,CLD1,Senescence associated epithelial membrane protein 1,ILVASC,CLDN1,claudin 1
Uniprot ID O95832
免疫原 KLH偶联的小鼠Claudin-1合成肽
抗体亚型 IgG
纯化方式 亲和纯化
亚细胞定位 细胞膜
预测分子量./观测分子量. 23 kDa / 20 kDa
应用
WB 免疫印迹
物种:人,小鼠,大鼠
稀释比:1:200-1:1000
阳性样品:—
IHC/IF 免疫组织化学/免疫荧光
物种:人
稀释比:1:800-1:2000
阳性样品:结肠癌, 肺癌
背景
Claudins are a family of proteins that are the most important components of the tight junctions, where they establish the paracellular barrier that controls the flow of molecules in the intercellular space between the cells of an epithelium. 23 claudins have been identified. They are small (20-27 kilodalton (kDa)) proteins with very similar structure. They have four transmembrane domains, with the N-terminus and the C-terminus in the cytoplasm. Claudin-1 is expressed primarily in keratinocytes and normal mammary epithelial cells.
储存条件
储存条件:储存条件在:-20℃下储存一年, 避免反复冻融.
储存缓冲液:含0.15% ProClin300防腐剂, 100 μg/mL牛血清白蛋白和50%甘油的磷酸盐缓冲液.
图像
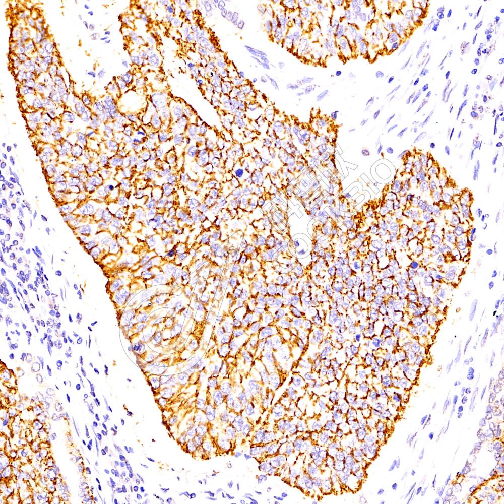
IHC检测Claudin 1蛋白(货号 K1337629).
样品: 人结肠癌, 4%多聚甲醛 (货号KSG1101) 固定12-24小时.
抗原修复: 柠檬酸抗原修复液(干粉, pH 6.0) (KSG1201), 98℃, 20分钟.
—抗: 1: 1400稀释, 4℃ 孵育过夜.
二抗: S-vision免疫组化多聚二抗(山羊抗兔),即用型 (货号KB3906), 室温孵育20分钟.
IHC检测Claudin 1蛋白(货号 K1337629).
样品: 人肺癌, 4%多聚甲醛 (货号KSG1101) 固定12-24小时.
抗原修复: 柠檬酸抗原修复液(干粉, pH 6.0) (KSG1201), 98℃, 20分钟.
—抗: 1: 1400稀释, 4℃ 孵育过夜.
二抗: S-vision免疫组化多聚二抗(山羊抗兔),即用型 (货号KB3906), 室温孵育20分钟.

需要技术支持?

如果您有任何问题或如果您在实验过程中遇到问题,或需要更详细的技术指导,请联系我们的技术支持团队
电话 400-6027-270

联系我们

如果您对我们的公司或产品有任何疑问,欢迎随时联系我们