tel 400-6027-270
Main Image
Recombinant Anti-Cadherin 16 antibody (小鼠单克隆抗体)
¥1900
加入对比
货号: K547859-100
预测分子量: 90 kDa
观测分子量: 130 kDa
亚细胞定位: 细胞膜
别名: Kidney-specific cadherin,Ksp-cadherin,Cdh16,Cadherin 16 KSP cadherin,Cadherin kidney
应用 | 种属
WB M,R
IHC/IF H,M,R
规格:
产品信息
蛋白质全称 钙粘蛋白16
别名 Kidney-specific cadherin,Ksp-cadherin,Cdh16,Cadherin 16 KSP cadherin,Cadherin kidney
Uniprot ID O88338
免疫原 小鼠Cadherin 16重组蛋白
抗体亚型 IgG1, κ
克隆号 SB164
纯化方式 亲和纯化
亚细胞定位 细胞膜
预测分子量./观测分子量. 90 kDa / 130 kDa
应用
WB 免疫印迹
物种:小鼠,大鼠
稀释比:1:500-1:1000
阳性样品:—
IHC/IF 免疫组织化学/免疫荧光
物种:人,小鼠,大鼠
稀释比:1:2000-1:4000
阳性样品:肾
背景
This gene is a member of the cadherin super family, genes encoding calcium-dependent, membrane-associated glycoproteins. Mapped to a previously identified cluster of cadherin genes on chromosome 16q22.1, the gene localizes with super family members CDH1, CDH3, CDH5, CDH8 and CDH11. The protein consists of an extracellular domain containing 6 cadherin domains, a transmembrane region and a truncated cytoplasmic domain but lacks the prosequence and tripeptide HAV adhesion recognition sequence typical of most classical cadherins.
储存条件
储存条件:储存条件在:-20℃下储存一年, 避免反复冻融.
储存缓冲液:含0.15% ProClin300防腐剂, 100 μg/mL牛血清白蛋白和50%甘油的磷酸盐缓冲液.
图像
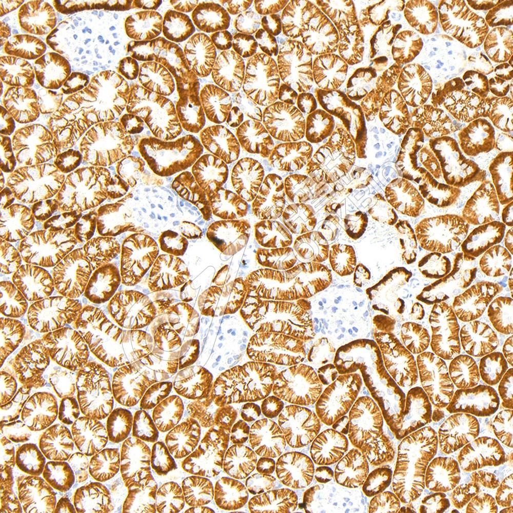
IHC检测Cadherin 16蛋白(货号 K547859).
样品: 人肾, 4%多聚甲醛 (货号KSG1101) 固定12-24小时.
抗原修复: 柠檬酸抗原修复液(干粉, pH 6.0) (KSG1201), 高压锅均匀喷气计时2分钟.
—抗: 1: 3000稀释, 4℃ 孵育过夜.
二抗: S-vision免疫组化多聚二抗(山羊抗小鼠), 即用型(货号KB3903), 室温孵育20分钟.
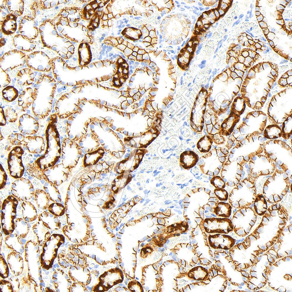
IHC检测Cadherin 16蛋白(货号 K547859).
样品: 小鼠肾, 4%多聚甲醛 (货号KSG1101) 固定12-24小时.
抗原修复: 柠檬酸抗原修复液(干粉, pH 6.0) (KSG1201), 高压锅均匀喷气计时2分钟.
—抗: 1: 3000稀释, 4℃ 孵育过夜.
二抗: S-vision免疫组化多聚二抗(山羊抗小鼠), 即用型(货号KB3903), 室温孵育20分钟.
IHC检测Cadherin 16蛋白(货号 K547859).
样品: 大鼠肾, 4%多聚甲醛 (货号KSG1101) 固定12-24小时.
抗原修复: 柠檬酸抗原修复液(干粉, pH 6.0) (KSG1201), 高压锅均匀喷气计时2分钟.
—抗: 1: 3000稀释, 4℃ 孵育过夜.
二抗: S-vision免疫组化多聚二抗(山羊抗小鼠), 即用型(货号KB3903), 室温孵育20分钟.

需要技术支持?

如果您有任何问题或如果您在实验过程中遇到问题,或需要更详细的技术指导,请联系我们的技术支持团队
电话 400-6027-270

联系我们

如果您对我们的公司或产品有任何疑问,欢迎随时联系我们