tel 400-6027-270
Main Image
Recombinant Anti-ADAMTS4 antibody (兔单克隆抗体)
¥1900
加入对比
货号: K547421-100
预测分子量: 90 kDa
观测分子量: 90 kDa
亚细胞定位: 分泌型
别名: Adamts4,ADAMTS4,ADAMTS-2,ADAMTS-4,ADMP-1,ADAM metallopeptidase with thrombospondin type 1 motif 4,ATS4,ADAM-TS 4,ADAM-TS4,ADAMTS-4
应用 | 种属
WB H
IHC/IF H
规格:
产品信息
蛋白质全称 具有血小板反应蛋白结构域的解聚素和金属蛋白酶 4
别名 Adamts4,ADAMTS4,ADAMTS-2,ADAMTS-4,ADMP-1,ADAM metallopeptidase with thrombospondin type 1 motif 4,ATS4,ADAM-TS 4,ADAM-TS4,ADAMTS-4
Uniprot ID O75173
免疫原 人ADAMTS4重组蛋白
抗体亚型 IgG
克隆号 SB532
纯化方式 亲和纯化
亚细胞定位 分泌型
预测分子量./观测分子量. 90 kDa / 90 kDa
应用
WB 免疫印迹
物种:人
稀释比:1:1000-1:4000
阳性样品:—
IHC/IF 免疫组织化学/免疫荧光
物种:人
稀释比:1:1000-1:2500
阳性样品:结肠癌, 多形性胶质母细胞瘤
背景
A disintegrin and metalloproteinase with thrombospondin motifs 4 is an enzyme encoded by the ADAMTS4 gene. ADAMTS4 is the shortest known ADAMTS, lacking the C-terminal domain and is the only non-glycosylated ADAMTS. This protein cleaves aggrecan, a cartilage proteoglycan, and may be involved in its turnover. The protein may play an important role in the destruction of aggrecan in arthritic diseases. It could also be a critical factor in the exacerbation of neurodegeneration in Alzheimer disease.
储存条件
储存条件:储存条件在:-20℃下储存一年, 避免反复冻融.
储存缓冲液:含0.15% ProClin300防腐剂, 100 μg/mL牛血清白蛋白和50%甘油的磷酸盐缓冲液.
图像
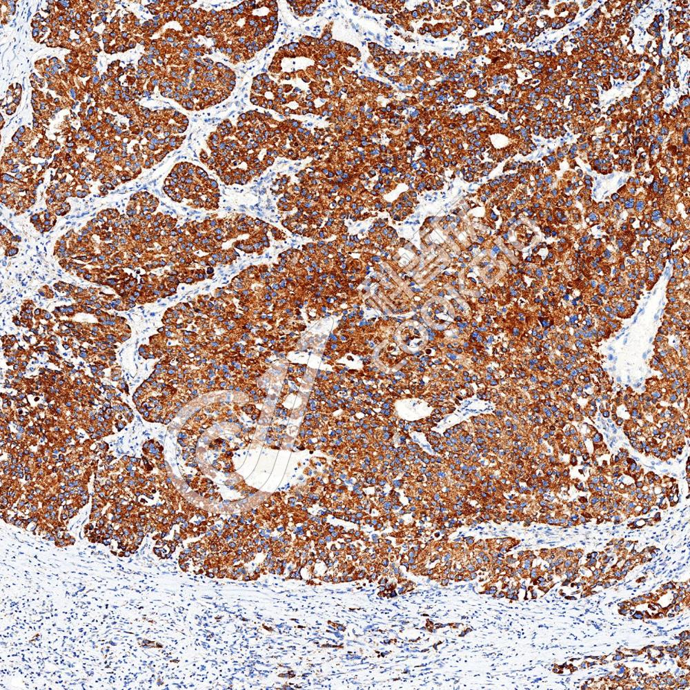
IHC检测ADAMTS4蛋白(货号 K547421).
样品: 人结肠癌, 4%多聚甲醛 (货号KSG1101) 固定12-24小时.
抗原修复: Tris-EDTA抗原修复液(pH 9.0) (货号KSG1203), 水浴100℃, 25分钟.
—抗: 1: 1800稀释, 4℃ 孵育过夜.
二抗: S-vision免疫组化多聚二抗(山羊抗兔),即用型 (货号KB3906), 室温孵育20分钟.
IHC检测ADAMTS4蛋白(货号 K547421).
样品: 人多形性胶质母细胞瘤, 4%多聚甲醛 (货号KSG1101) 固定12-24小时.
抗原修复: Tris-EDTA抗原修复液(pH 9.0) (货号KSG1203), 水浴100℃, 25分钟.
—抗: 1: 1800稀释, 4℃ 孵育过夜.
二抗: S-vision免疫组化多聚二抗(山羊抗兔),即用型 (货号KB3906), 室温孵育20分钟.

需要技术支持?

如果您有任何问题或如果您在实验过程中遇到问题,或需要更详细的技术指导,请联系我们的技术支持团队
电话 400-6027-270

联系我们

如果您对我们的公司或产品有任何疑问,欢迎随时联系我们