tel 400-6027-270
Main Image
Anti-ERCC1 兔多克隆抗体
¥1900
加入对比
货号: K1334122-100
预测分子量: 33 kDa
观测分子量: 38 kDa
亚细胞定位: 细胞核
别名: Ercc1,Ercc-1,UV20,COFS4,excision repair cross-complementation group 1,excision repair cross-complementing 1
应用 | 种属
WB H
IHC/IF H,M
规格:
产品信息
蛋白质全称 DNA切除修复蛋白ERCC-1
别名 Ercc1,Ercc-1,UV20,COFS4,excision repair cross-complementation group 1,excision repair cross-complementing 1
Uniprot ID P07903
免疫原 小鼠ERCC1重组蛋白
抗体亚型 IgG
纯化方式 亲和纯化
亚细胞定位 细胞核
预测分子量./观测分子量. 33 kDa / 38 kDa
应用
WB 免疫印迹
物种:人
稀释比:1:500-1:1000
阳性样品:Hep G2细胞
IHC/IF 免疫组织化学/免疫荧光
物种:人,小鼠
稀释比:1:1000-1:2000
阳性样品:结肠癌, 食管癌, 肺
背景
Excision Repair Cross Complementing 1 (ERCC1) is a structure-specific endonuclease that is responsible for the 5'-incision during damaged-DNA repair. It forms a complex with ERCC11, XPF and ERCC4, which are required in both recombinatorial repair and nucleotide excision repair. It has been found that ERCC1, together with RRM1, are determinants of survival after surgical treatment of early-stage, non-small-cell lung cancer.
储存条件
储存条件:储存条件在:-20℃下储存一年, 避免反复冻融.
储存缓冲液:含0.15% ProClin300防腐剂, 100 μg/mL牛血清白蛋白和50%甘油的磷酸盐缓冲液.
图像
WB检测ERCC1蛋白(货号 K1334122).
样品: 经RIPA裂解液(货号KSG2002)处理的蛋白质.
封闭: 3%脱脂牛奶(货号KSGC310001)溶于TBST溶液, 室温孵育1小时.
—抗: 1: 1000稀释, 4℃ 孵育过夜.
二抗: HRP标记山羊抗兔IgG (H+L) (货号KB69909), 1: 5000稀释, 室温孵育1小时.
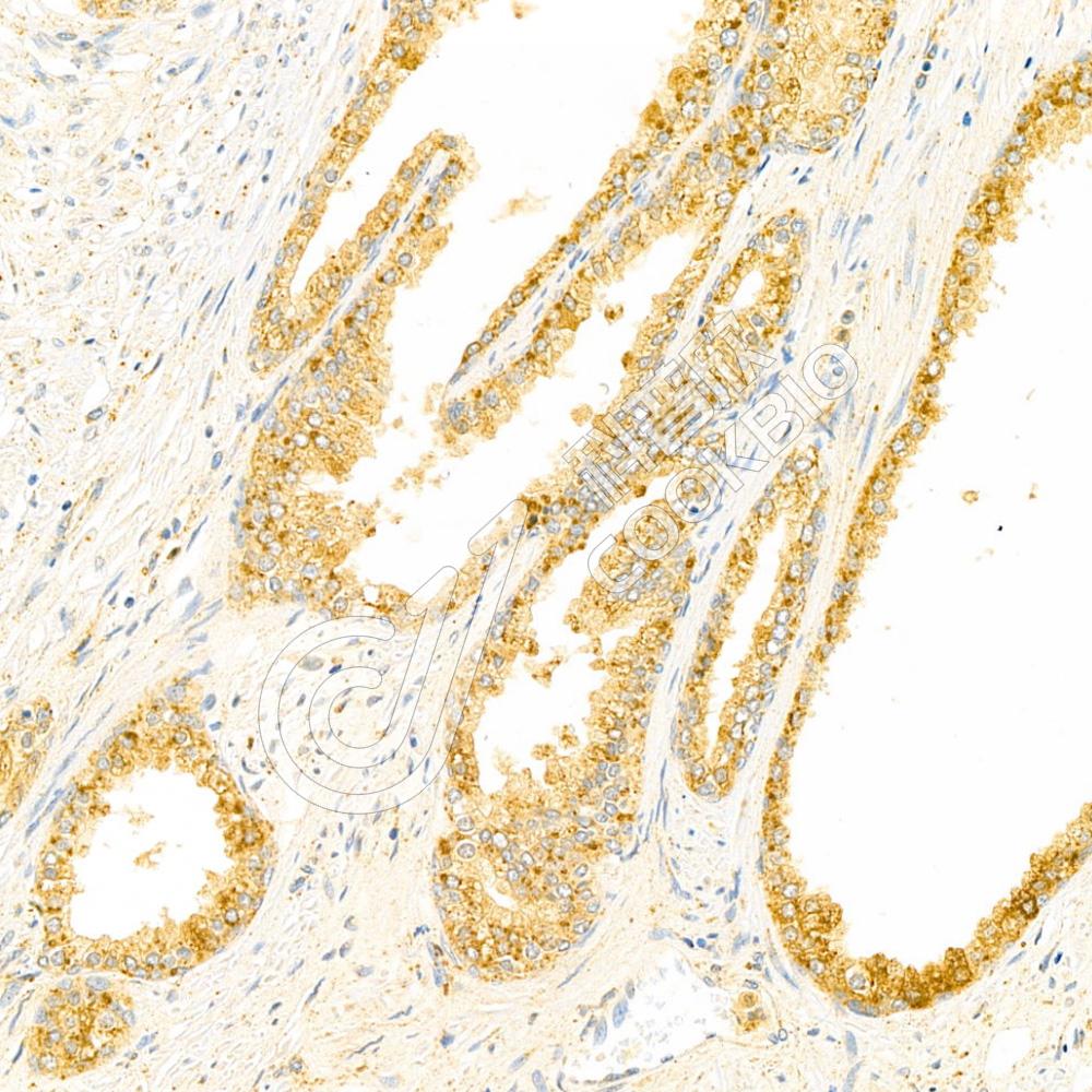
IHC检测ERCC1蛋白(货号 K1334122).
样品: 人结肠癌, 4%多聚甲醛 (货号KSG1101) 固定12-24小时.
抗原修复: Tris-EDTA抗原修复液(pH 9.0) (KSG1203), 98℃, 20分钟.
—抗: 1: 1500稀释, 4℃ 孵育过夜.
二抗: S-vision免疫组化多聚二抗(山羊抗兔),即用型 (货号KB3906), 室温孵育20分钟.
IHC检测ERCC1蛋白(货号 K1334122).
样品: 人食管癌, 4%多聚甲醛 (货号KSG1101) 固定12-24小时.
抗原修复: Tris-EDTA抗原修复液(pH 9.0) (KSG1203), 98℃, 20分钟.
—抗: 1: 1500稀释, 4℃ 孵育过夜.
二抗: S-vision免疫组化多聚二抗(山羊抗兔),即用型 (货号KB3906), 室温孵育20分钟.
IHC检测ERCC1蛋白(货号 K1334122).
样品: 小鼠肺, 4%多聚甲醛 (货号KSG1101) 固定12-24小时.
抗原修复: Tris-EDTA抗原修复液(pH 9.0) (KSG1203), 98℃, 20分钟.
—抗: 1: 1500稀释, 4℃ 孵育过夜.
二抗: S-vision免疫组化多聚二抗(山羊抗兔),即用型 (货号KB3906), 室温孵育20分钟.
IHC检测ERCC1蛋白(货号 K1334122).
样品: 小鼠脾, 4%多聚甲醛 (货号KSG1101) 固定12-24小时.
抗原修复: Tris-EDTA抗原修复液(pH 9.0) (KSG1203), 98℃, 20分钟.
—抗: 1: 1500稀释, 4℃ 孵育过夜.
二抗: S-vision免疫组化多聚二抗(山羊抗兔),即用型 (货号KB3906), 室温孵育20分钟.

需要技术支持?

如果您有任何问题或如果您在实验过程中遇到问题,或需要更详细的技术指导,请联系我们的技术支持团队
电话 400-6027-270

联系我们

如果您对我们的公司或产品有任何疑问,欢迎随时联系我们