tel 400-6027-270
Main Image
Anti-Aurora B 兔多克隆抗体
¥1900
加入对比
货号: K1346734-100
亚细胞定位: 细胞核, 细胞质, 细胞骨架
别名: Aurora 1,Aurora/IPL1-related kinase 2,ARK-2,Aurora-related kinase 2,STK-1,Serine/threonine-protein kinase aurora-B,Aurora- and IPL1-like midbody-associated protein 1,Serine/threonine-protein kinase 5,Aurora B,AuroraB, Aurora Kinase B,AurB
应用 | 种属
IHC/IF R
规格:
产品信息
蛋白质全称 极光激酶B
别名 Aurora 1,Aurora/IPL1-related kinase 2,ARK-2,Aurora-related kinase 2,STK-1,Serine/threonine-protein kinase aurora-B,Aurora- and IPL1-like midbody-associated protein 1,Serine/threonine-protein kinase 5,Aurora B,AuroraB, Aurora Kinase B,AurB
Uniprot ID O70126
免疫原 KLH偶联的小鼠Aurora B合成肽
抗体亚型 IgG
纯化方式 亲和纯化
亚细胞定位 细胞核, 细胞质, 细胞骨架
应用
IHC/IF 免疫组织化学/免疫荧光
物种:大鼠
稀释比:1:100-1:200
阳性样品:胸腺
背景
This gene encodes a member of the aurora kinase subfamily of serine/threonine kinases. The genes encoding the other two members of this subfamily are located on chromsomes 19 and 20. These kinases participate in the regulation of segregation of chromosomes during mitosis and meiosis through association with microtubules. A pseudogene of this gene is located on chromosome 8. Multiple transcript variants encoding different isoforms have been found for this gene.
储存条件
储存条件:储存条件在:-20℃下储存一年, 避免反复冻融.
储存缓冲液:含0.15% ProClin300防腐剂, 100 μg/mL牛血清白蛋白和50%甘油的磷酸盐缓冲液.
图像
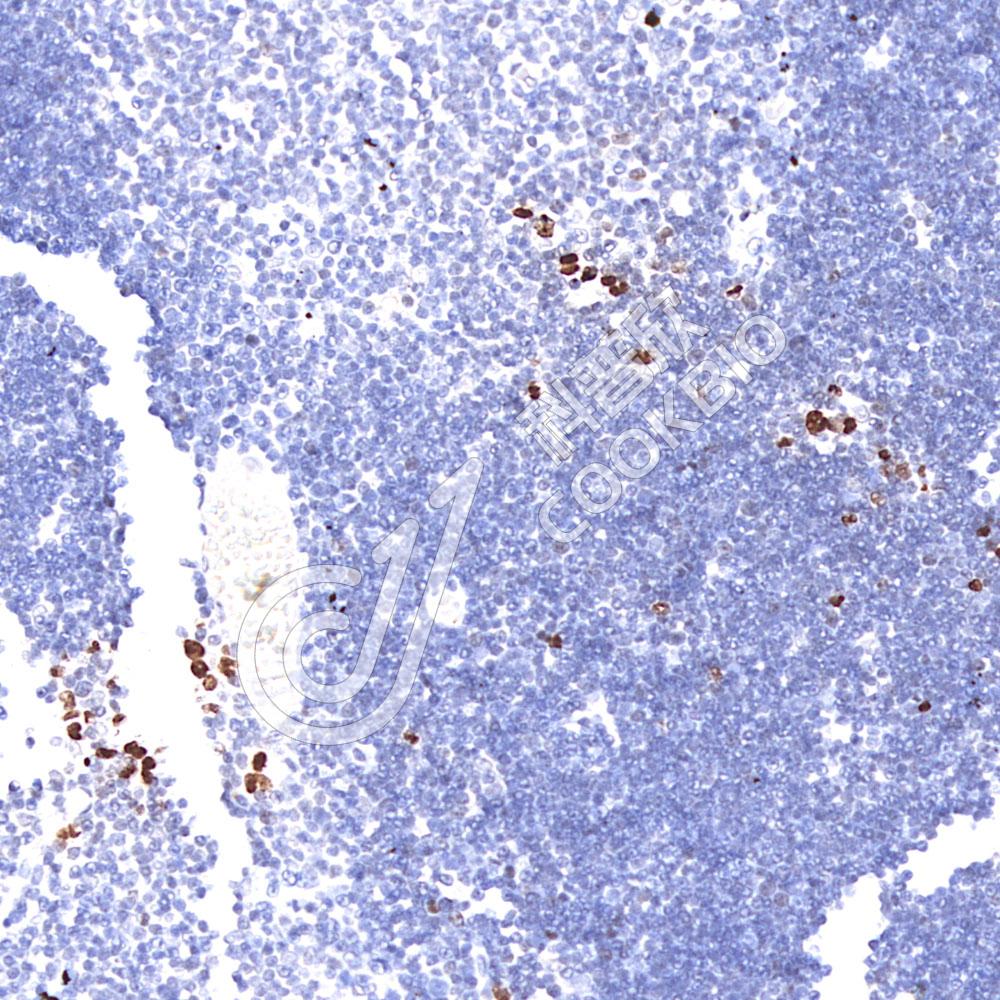
IHC检测Aurora B蛋白(货号 K1346734).
样品: 大鼠胸腺, 4%多聚甲醛 (货号KSG1101) 固定12-24小时.
抗原修复: Tris-EDTA抗原修复液(pH 9.0) (KSG1203), 98℃, 20分钟.
—抗: 1: 200稀释, 4℃ 孵育过夜.
二抗: S-vision免疫组化多聚二抗(山羊抗兔),即用型 (货号KB3906), 室温孵育20分钟.
IHC检测Aurora B蛋白(货号 K1346734).
样品: 大鼠胸腺, 4%多聚甲醛 (货号KSG1101) 固定12-24小时.
抗原修复: Tris-EDTA抗原修复液(pH 9.0) (KSG1203), 98℃, 20分钟.
—抗: 1: 200稀释, 4℃ 孵育过夜.
二抗: S-vision免疫组化多聚二抗(山羊抗兔),即用型 (货号KB3906), 室温孵育20分钟.

需要技术支持?

如果您有任何问题或如果您在实验过程中遇到问题,或需要更详细的技术指导,请联系我们的技术支持团队
电话 400-6027-270

联系我们

如果您对我们的公司或产品有任何疑问,欢迎随时联系我们