tel 400-6027-270
Main Image
Anti-ITGB6 兔多克隆抗体
¥1900
加入对比
货号: K1344655-100
预测分子量: 86 kDa
观测分子量: 86 kDa
亚细胞定位: 膜, 细胞连接
别名: Integrin beta 6
应用 | 种属
WB R
IHC/IF H,M,R
规格:
产品信息
蛋白质全称 整合素β-6
别名 Integrin beta 6
Uniprot ID Q9Z0T9
免疫原 KLH偶联的小鼠ITGB6合成肽
抗体亚型 IgG
纯化方式 亲和纯化
亚细胞定位 膜, 细胞连接
预测分子量./观测分子量. 86 kDa / 86 kDa
应用
WB 免疫印迹
物种:大鼠
稀释比:1:300-1:500
阳性样品:海马区
IHC/IF 免疫组织化学/免疫荧光
物种:人,小鼠,大鼠
稀释比:1:600-1:1800
阳性样品:结肠癌, 纤维化肝脏
背景
Integrin alpha-V:beta-6 (ITGAV:ITGB6) is a receptor for fibronectin and cytotactin. It recognizes the sequence R-G-D in its ligands. ITGAV:ITGB6 acts as a receptor for fibrillin-1 (FBN1) and mediates R-G-D-dependent cell adhesion to FBN1. Integrin alpha-V:beta-6 (ITGAV:ITGB6) mediates R-G-D-dependent release of transforming growth factor beta-1 (TGF-beta-1) from regulatory Latency-associated peptide (LAP), thereby playing a key role in TGF-beta-1 activation.
储存条件
储存条件:储存条件在:-20℃下储存一年, 避免反复冻融.
储存缓冲液:含0.15% ProClin300防腐剂, 100 μg/mL牛血清白蛋白和50%甘油的磷酸盐缓冲液.
图像
WB检测ITGB6蛋白(货号 K1344655).
样品: 经RIPA裂解液(货号KSG2002)处理的蛋白质.
封闭: 3%脱脂牛奶(货号KSGC310001)溶于TBST溶液, 室温孵育1小时.
—抗: 1: 300稀释, 4℃ 孵育过夜.
二抗: HRP标记山羊抗兔IgG (H+L) (货号KB69909), 1: 5000稀释, 室温孵育1小时.
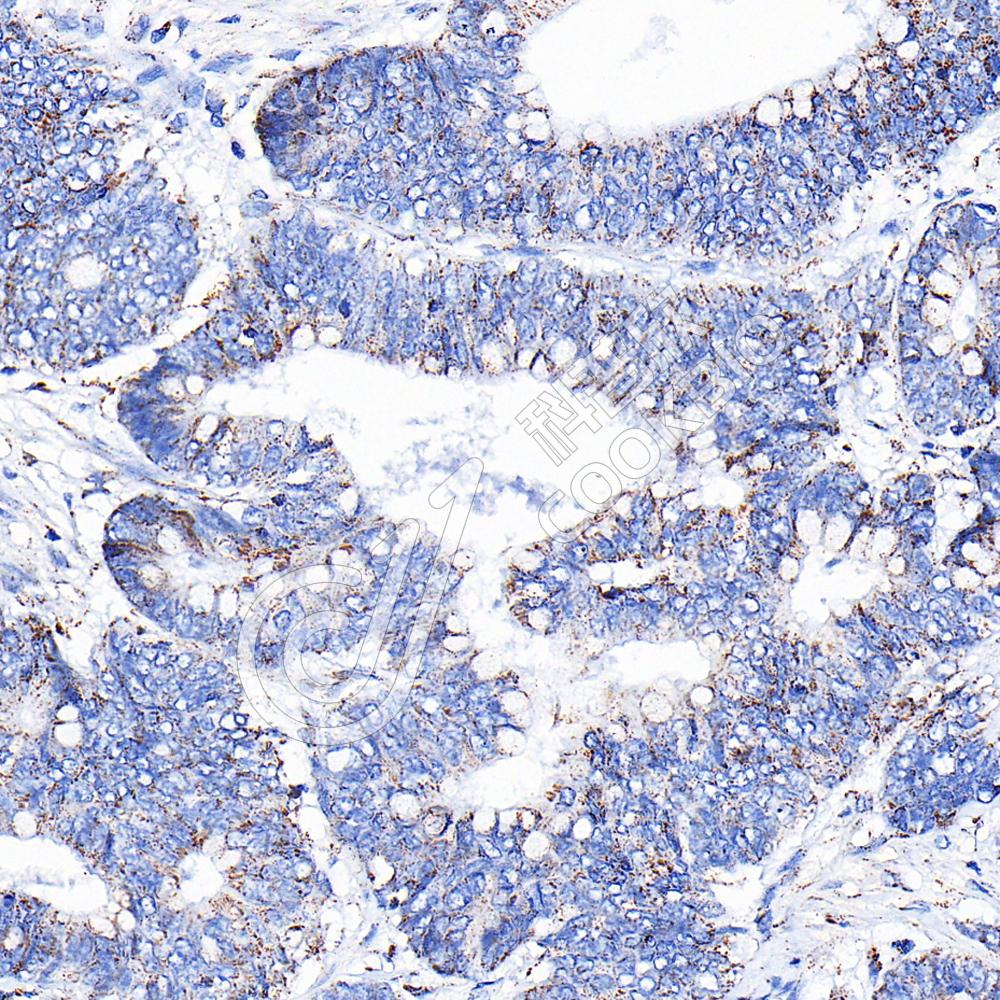
IHC检测ITGB6蛋白(货号 K1344655).
样品: 人结肠癌, 4%多聚甲醛 (货号KSG1101) 固定12-24小时.
抗原修复: Tris-EDTA抗原修复液(pH 9.0) (KSG1203), 98℃, 20分钟.
—抗: 1: 1200稀释, 4℃ 孵育过夜.
二抗: S-vision免疫组化多聚二抗(山羊抗兔),即用型 (货号KB3906), 室温孵育20分钟.
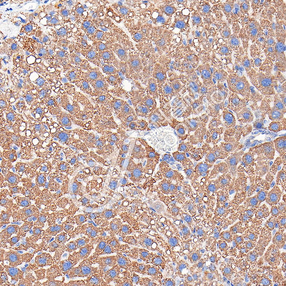
IHC检测ITGB6蛋白(货号 K1344655).
样品: 小鼠纤维化肝脏, 4%多聚甲醛 (货号KSG1101) 固定12-24小时.
抗原修复: Tris-EDTA抗原修复液(pH 9.0) (KSG1203), 98℃, 20分钟.
—抗: 1: 1200稀释, 4℃ 孵育过夜.
二抗: S-vision免疫组化多聚二抗(山羊抗兔),即用型 (货号KB3906), 室温孵育20分钟.
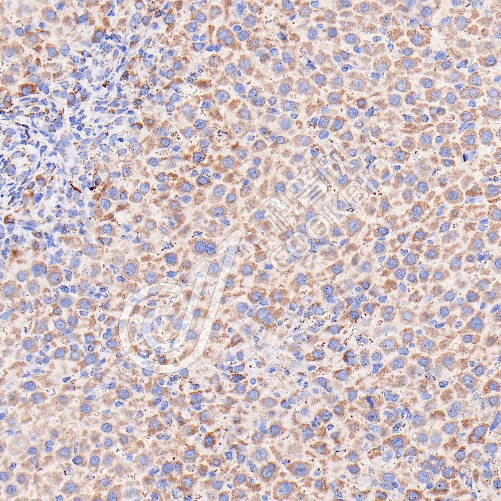
IHC检测ITGB6蛋白(货号 K1344655).
样品: 大鼠纤维化肝脏, 4%多聚甲醛 (货号KSG1101) 固定12-24小时.
抗原修复: Tris-EDTA抗原修复液(pH 9.0) (KSG1203), 98℃, 20分钟.
—抗: 1: 1200稀释, 4℃ 孵育过夜.
二抗: S-vision免疫组化多聚二抗(山羊抗兔),即用型 (货号KB3906), 室温孵育20分钟.

需要技术支持?

如果您有任何问题或如果您在实验过程中遇到问题,或需要更详细的技术指导,请联系我们的技术支持团队
电话 400-6027-270

联系我们

如果您对我们的公司或产品有任何疑问,欢迎随时联系我们