tel 400-6027-270
Main Image
Anti-CEACAM1 小鼠单克隆抗体
¥1900
加入对比
货号: K2366876-100
亚细胞定位: 细胞膜
别名: Biliary glycoprotein 1,BGP-1,Biliary glycoprotein D,MHVR1,Murine hepatitis virus receptor,MHV-R,CD66a,Ceacam1,Bgp,Bgp1
应用 | 种属
IHC/IF H
规格:
产品信息
蛋白质全称 癌胚抗原相关细胞粘附分子1
别名 Biliary glycoprotein 1,BGP-1,Biliary glycoprotein D,MHVR1,Murine hepatitis virus receptor,MHV-R,CD66a,Ceacam1,Bgp,Bgp1
Uniprot ID P31809
免疫原 小鼠CEACAM1重组蛋白
抗体亚型 IgG1, κ
克隆号 3A1C12
纯化方式 亲和纯化
亚细胞定位 细胞膜
应用
IHC/IF 免疫组织化学/免疫荧光
物种:人
稀释比:1:1000-1:2000
阳性样品:结肠癌, 直肠癌
背景
This gene encodes a member of the carcinoembryonic antigen (CEA) gene family, which belongs to the immunoglobulin superfamily. Two subgroups of the CEA family, the CEA cell adhesion molecules and the pregnancy-specific glycoproteins, are located within a 1.2 Mb cluster on the long arm of chromosome 19. Eleven pseudogenes of the CEA cell adhesion molecule subgroup are also found in the cluster.
储存条件
储存条件:储存条件在:-20℃下储存一年, 避免反复冻融.
储存缓冲液:含0.15% ProClin300防腐剂, 100 μg/mL牛血清白蛋白和50%甘油的磷酸盐缓冲液.
图像
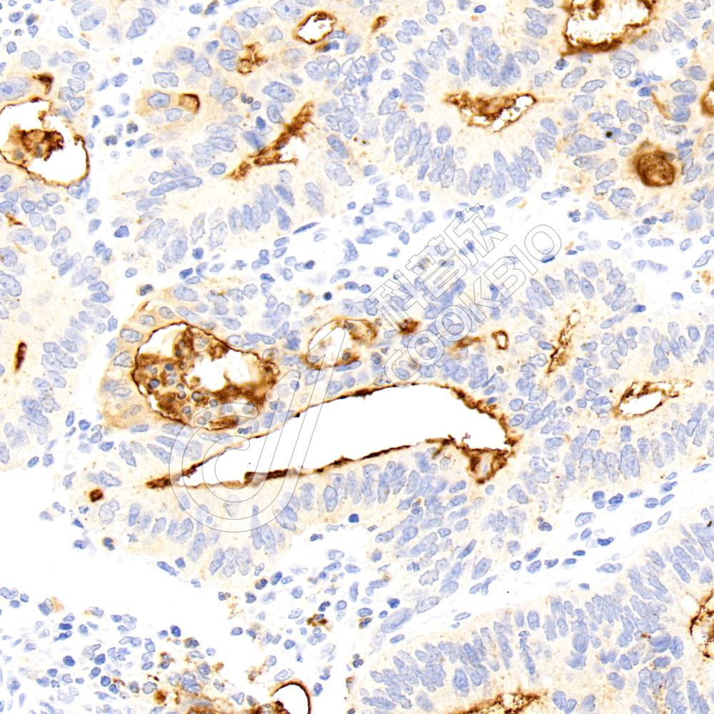
IHC检测CEACAM1蛋白(货号 K2366876).
样品: 人结肠癌, 4%多聚甲醛 (货号KSG1101) 固定12-24小时.
抗原修复: 柠檬酸抗原修复液(干粉, pH 6.0) (KSG1201), 高压锅均匀喷气计时2分钟.
—抗: 1: 1500稀释, 4℃ 孵育过夜.
二抗: S-vision免疫组化多聚二抗(山羊抗小鼠), 即用型(货号KB3903), 室温孵育20分钟.
IHC检测CEACAM1蛋白(货号 K2366876).
样品: 人直肠癌, 4%多聚甲醛 (货号KSG1101) 固定12-24小时.
抗原修复: 柠檬酸抗原修复液(干粉, pH 6.0) (KSG1201), 高压锅均匀喷气计时2分钟.
—抗: 1: 1500稀释, 4℃ 孵育过夜.
二抗: S-vision免疫组化多聚二抗(山羊抗小鼠), 即用型(货号KB3903), 室温孵育20分钟.

需要技术支持?

如果您有任何问题或如果您在实验过程中遇到问题,或需要更详细的技术指导,请联系我们的技术支持团队
电话 400-6027-270

联系我们

如果您对我们的公司或产品有任何疑问,欢迎随时联系我们