tel 400-6027-270
Main Image
Anti-Peripherin 兔多克隆抗体
¥1900
加入对比
货号: K1334905-100
预测分子量: 54 kDa
观测分子量: 54 kDa
亚细胞定位: 细胞骨架
别名: Prph,Prph1,Neurofilament 4,NEF4,Perf
应用 | 种属
WB M,R
IHC/IF M,R
规格:
产品信息
蛋白质全称 外周蛋白
别名 Prph,Prph1,Neurofilament 4,NEF4,Perf
Uniprot ID P15331
免疫原 小鼠Peripherin重组蛋白
抗体亚型 IgG
纯化方式 亲和纯化
亚细胞定位 细胞骨架
预测分子量./观测分子量. 54 kDa / 54 kDa
应用
WB 免疫印迹
物种:小鼠,大鼠
稀释比:1:500-1:1000
阳性样品:—
IHC/IF 免疫组织化学/免疫荧光
物种:小鼠,大鼠
稀释比:1:800-1:3000
阳性样品:结肠
背景
Peripherin is a 57kD type III intermediate filament that is a specific marker for peripheral neurons, including enteric ganglion cells. Peripherin is expressed in the developing peripheral nervous system and is highly enriched in neuronal derivatives of the neural crest. Peripherin offers an advantage over other neural markers, such as S100 and NSE in that it does not stain chrmaffin cell types.
储存条件
储存条件:储存条件在:-20℃下储存一年, 避免反复冻融.
储存缓冲液:含0.15% ProClin300防腐剂, 100 μg/mL牛血清白蛋白和50%甘油的磷酸盐缓冲液.
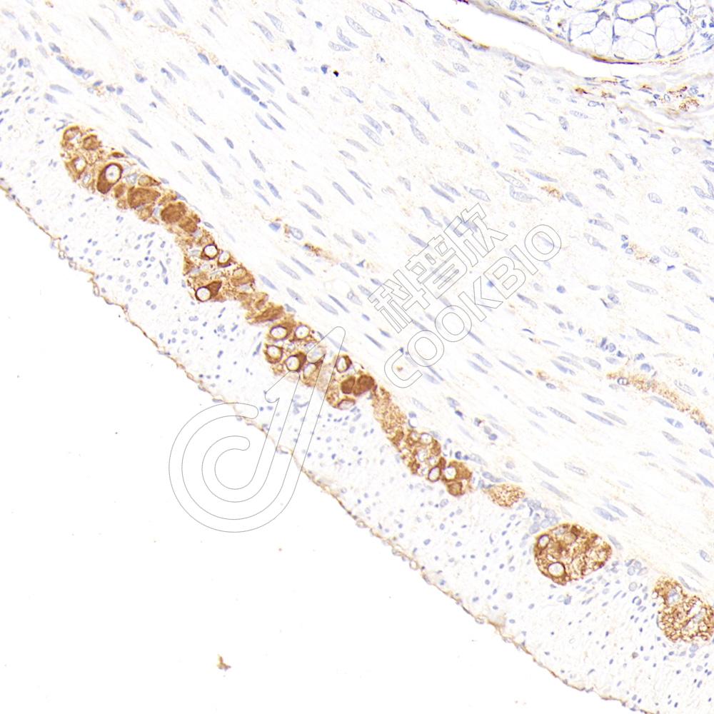
图像
IHC检测Peripherin蛋白(货号 K1334905).
样品: 小鼠结肠, 4%多聚甲醛 (货号KSG1101) 固定12-24小时.
抗原修复: 柠檬酸抗原修复液(干粉, pH 6.0) (KSG1201), 98℃, 20分钟.
—抗: 1: 1900稀释, 4℃ 孵育过夜.
二抗: S-vision免疫组化多聚二抗(山羊抗兔),即用型 (货号KB3906), 室温孵育20分钟.
IHC检测Peripherin蛋白(货号 K1334905).
样品: 大鼠结肠, 4%多聚甲醛 (货号KSG1101) 固定12-24小时.
抗原修复: 柠檬酸抗原修复液(干粉, pH 6.0) (KSG1201), 98℃, 20分钟.
—抗: 1: 1900稀释, 4℃ 孵育过夜.
二抗: S-vision免疫组化多聚二抗(山羊抗兔),即用型 (货号KB3906), 室温孵育20分钟.

需要技术支持?

如果您有任何问题或如果您在实验过程中遇到问题,或需要更详细的技术指导,请联系我们的技术支持团队
电话 400-6027-270

联系我们

如果您对我们的公司或产品有任何疑问,欢迎随时联系我们