tel 400-6027-270
Main Image
Anti-TLS/FUS 兔多克隆抗体
¥1900
加入对比
货号: K1334095-100
亚细胞定位: 细胞核
别名: Protein pigpen,Fus,75 kDa DNA pairing protein,ALS6,FUS CHOP,FUS1,POMp75,Fusion (involved in t(12;16) in malignant liposarcoma),hnRNP P2,Fusion gene in myxoid liposarcoma,Heterogeneous nuclear ribonucleoprotein P2,Oncogene TLS
应用 | 种属
IHC/IF M
规格:
产品信息
蛋白质全称 RNA结合蛋白FUS
别名 Protein pigpen,Fus,75 kDa DNA pairing protein,ALS6,FUS CHOP,FUS1,POMp75,Fusion (involved in t(12;16) in malignant liposarcoma),hnRNP P2,Fusion gene in myxoid liposarcoma,Heterogeneous nuclear ribonucleoprotein P2,Oncogene TLS
Uniprot ID P56959
免疫原 小鼠FUS重组蛋白
抗体亚型 IgG
纯化方式 亲和纯化
亚细胞定位 细胞核
应用
IHC/IF 免疫组织化学/免疫荧光
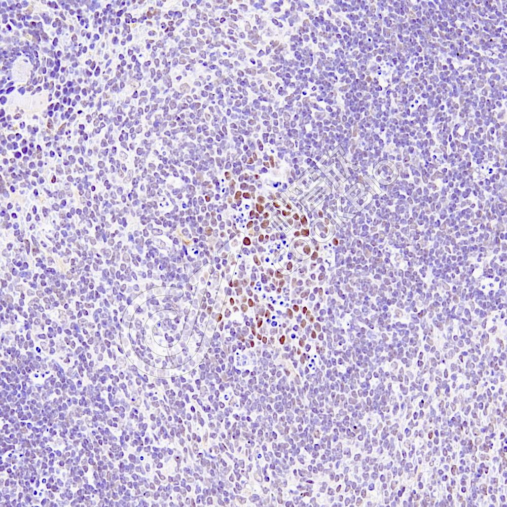
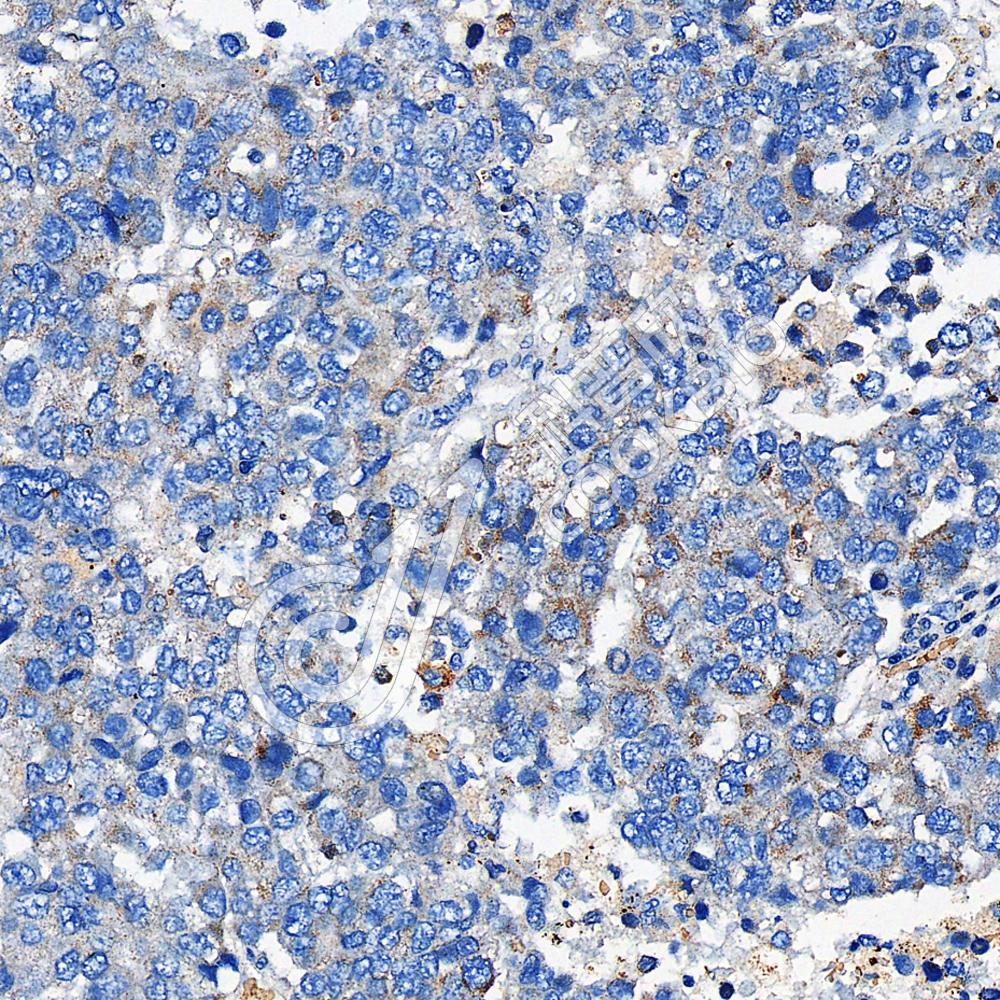
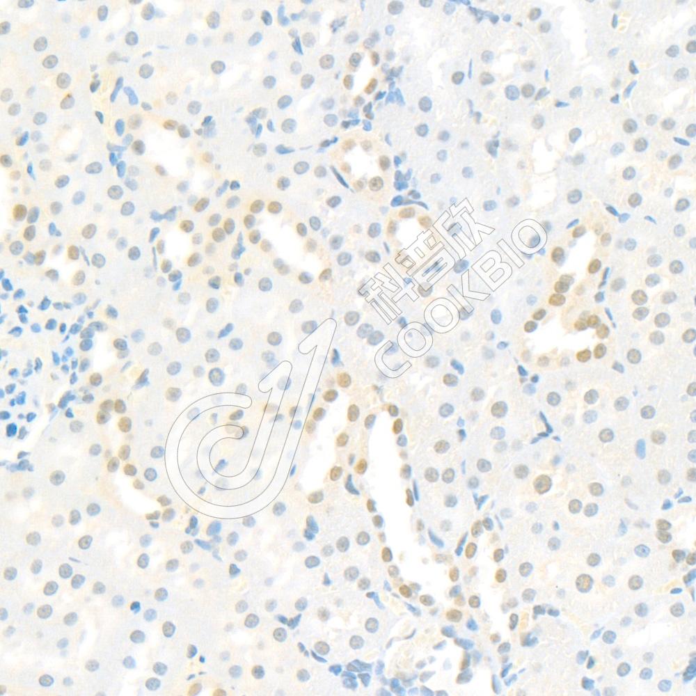
物种:小鼠
稀释比:1:800-1:2000
阳性样品:脑, 心
背景
FUS (also named TLS and POMp75) belongs to the RRM TET family. FUS may play a role in the maintenance of genomic integrity; it binds both single-stranded and double-stranded DNA and promotes ATP-independent annealing of complementary single-stranded DNAs and D-loop formation in superhelical double-stranded DNA. FUS is also an RNA-binding protein, and its links to neurodegenerative disease proffer the intriguing possibility that altered RNA metabolism or RNA processing may underlie or contribute to neuron degeneration.
储存条件
储存条件:储存条件在:-20℃下储存一年, 避免反复冻融.
储存缓冲液:含0.15% ProClin300防腐剂, 100 μg/mL牛血清白蛋白和50%甘油的磷酸盐缓冲液.
图像
IF检测TLS/FUS蛋白(货号 K1334095)(红色).
样品: 小鼠脑, 4%多聚甲醛 (货号KSG1101) 固定12-24小时.
抗原修复: Tris-EDTA抗原修复液(pH 9.0) (KSG1203), 98℃, 20分钟.
封闭: 3% BSA(货号KSGC305010)的PBS溶液, 室温孵育30分钟.
—抗: 1: 1400稀释, 4℃ 孵育过夜.
二抗: Cy3标记山羊抗兔IgG (H+L) (货号KB63909), 1: 300稀释, 室温孵育1小时.
IF检测TLS/FUS蛋白(货号 K1334095)(红色).
样品: 大鼠心, 4%多聚甲醛 (货号KSG1101) 固定12-24小时.
抗原修复: Tris-EDTA抗原修复液(pH 9.0) (KSG1203), 98℃, 20分钟.
封闭: 3% BSA(货号KSGC305010)的PBS溶液, 室温孵育30分钟.
—抗: 1: 1400稀释, 4℃ 孵育过夜.
二抗: Cy3标记山羊抗兔IgG (H+L) (货号KB63909), 1: 300稀释, 室温孵育1小时.

需要技术支持?

如果您有任何问题或如果您在实验过程中遇到问题,或需要更详细的技术指导,请联系我们的技术支持团队
电话 400-6027-270

联系我们

如果您对我们的公司或产品有任何疑问,欢迎随时联系我们