tel 400-6027-270
Main Image
Anti-TopBP1 兔多克隆抗体
¥1900
加入对比
货号: K1343092-100
预测分子量: 169 kDa
观测分子量: 170-200 kDa
亚细胞定位: 细胞核, 细胞质, 细胞骨架
别名: KIAA0259,TOP2BP1,TOPBP1
应用 | 种属
WB H,R
IHC/IF H
规格:
产品信息
蛋白质全称 DNA拓扑异构酶2结合蛋白1
别名 KIAA0259,TOP2BP1,TOPBP1
Uniprot ID Q6ZQF0
免疫原 小鼠TOPBP1重组蛋白
抗体亚型 IgG
纯化方式 亲和纯化
亚细胞定位 细胞核, 细胞质, 细胞骨架
预测分子量./观测分子量. 169 kDa / 170-200 kDa
应用
WB 免疫印迹
物种:人,大鼠
稀释比:1:300-1:500
阳性样品:睾丸
IHC/IF 免疫组织化学/免疫荧光
物种:人
稀释比:1:2000-1:4000
阳性样品:胎盘
背景
Required for DNA replication (By similarity). Plays a role in the rescue of stalled replication forks and checkpoint control . Binds double-stranded DNA breaks and nicks as well as single-stranded DNA (By similarity). Recruits the SWI/SNF chromatin remodeling complex to E2F1-responsive promoters. Down-regulates E2F1 activity and inhibits E2F1-dependent apoptosis during G1/S transition and after DNA damage (By similarity). Induces a large increase in the kinase activity of ATR (By similarity).
储存条件
储存条件:储存条件在:-20℃下储存一年, 避免反复冻融.
储存缓冲液:含0.15% ProClin300防腐剂, 100 μg/mL牛血清白蛋白和50%甘油的磷酸盐缓冲液.
图像
WB检测TopBP1蛋白(货号 K1343092).
样品: 经RIPA裂解液(货号KSG2002)处理的蛋白质.
封闭: 3%脱脂牛奶(货号KSGC310001)溶于TBST溶液, 室温孵育1小时.
—抗: 1: 500稀释, 4℃ 孵育过夜.
二抗: HRP标记山羊抗兔IgG (H+L) (货号KB69909), 1: 5000稀释, 室温孵育1小时.
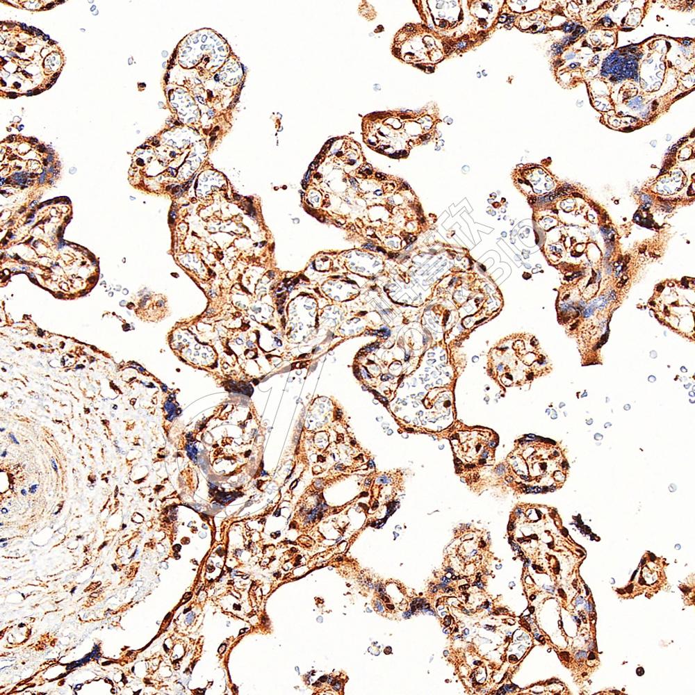
IHC检测TopBP1蛋白(货号 K1343092).
样品: 人胎盘, 4%多聚甲醛 (货号KSG1101) 固定12-24小时.
抗原修复: 柠檬酸抗原修复液(干粉, pH 6.0) (KSG1201), 98℃, 20分钟.
—抗: 1: 3000稀释, 4℃ 孵育过夜.
二抗: S-vision免疫组化多聚二抗(山羊抗兔),即用型 (货号KB3906), 室温孵育20分钟.

需要技术支持?

如果您有任何问题或如果您在实验过程中遇到问题,或需要更详细的技术指导,请联系我们的技术支持团队
电话 400-6027-270

联系我们

如果您对我们的公司或产品有任何疑问,欢迎随时联系我们