tel 400-6027-270
Main Image
Anti-Topoisomerase II alpha 兔多克隆抗体
¥1900
加入对比
货号: K1333879-100
亚细胞定位: 细胞质, 细胞核
别名: DNA topoisomerase II,alpha isozyme,TOP2A,Top-2,Top2,Topoisomerase II alpha,Topoisomerase II,DNA topoisomerase 2-alpha
应用 | 种属
IHC/IF H,M,R
规格:
产品信息
蛋白质全称 DNA拓扑异构酶2α
别名 DNA topoisomerase II,alpha isozyme,TOP2A,Top-2,Top2,Topoisomerase II alpha,Topoisomerase II,DNA topoisomerase 2-alpha
Uniprot ID Q01320
免疫原 KLH偶联的小鼠TOP2A合成肽
抗体亚型 IgG
纯化方式 亲和纯化
亚细胞定位 细胞质, 细胞核
应用
IHC/IF 免疫组织化学/免疫荧光
物种:人,小鼠,大鼠
稀释比:1:1500-1:3000
阳性样品:结肠, 睾丸
背景
TOP2A, also named as TOP2, belongs to the type II topoisomerase family. Topoisomerase II makes double-strand breaks. TOP2 control the topological states of DNA by transient breakage and subsequent rejoining of DNA strands.
储存条件
储存条件:储存条件在:-20℃下储存一年, 避免反复冻融.
储存缓冲液:含0.15% ProClin300防腐剂, 100 μg/mL牛血清白蛋白和50%甘油的磷酸盐缓冲液.
图像
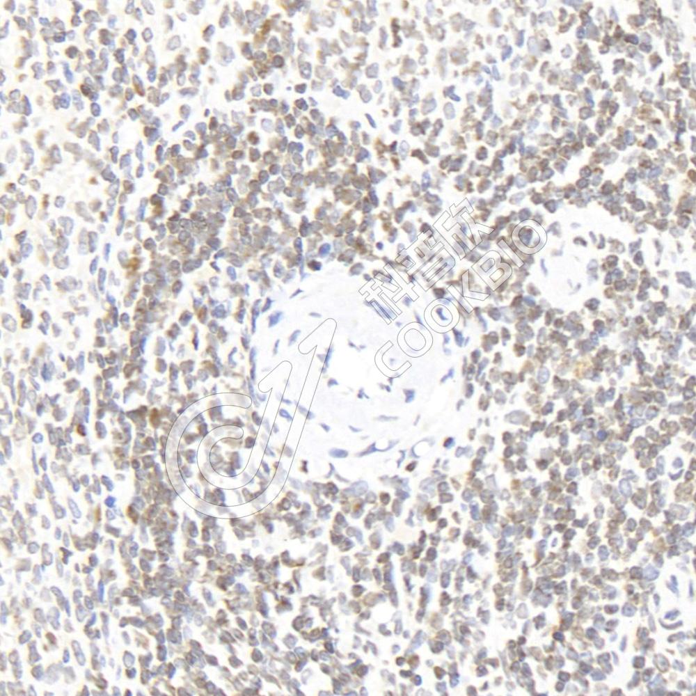
IHC检测Topoisomerase II alpha蛋白(货号 K1333879).
样品: 小鼠睾丸, 4%多聚甲醛 (货号KSG1101) 固定12-24小时.
抗原修复: 柠檬酸抗原修复液(干粉, pH 6.0) (KSG1201), 98℃, 20分钟.
—抗: 1: 2300稀释, 4℃ 孵育过夜.
二抗: S-vision免疫组化多聚二抗(山羊抗兔),即用型 (货号KB3906), 室温孵育20分钟.
IHC检测Topoisomerase II alpha蛋白(货号 K1333879).
样品: 大鼠结肠, 4%多聚甲醛 (货号KSG1101) 固定12-24小时.
抗原修复: 柠檬酸抗原修复液(干粉, pH 6.0) (KSG1201), 98℃, 20分钟.
—抗: 1: 2300稀释, 4℃ 孵育过夜.
二抗: S-vision免疫组化多聚二抗(山羊抗兔),即用型 (货号KB3906), 室温孵育20分钟.
IF检测Topoisomerase II alpha蛋白(货号 K1333879)(红色).
样品: 人结肠, 4%多聚甲醛 (货号KSG1101) 固定12-24小时.
抗原修复: Tris-EDTA抗原修复液(pH 9.0) (KSG1203), 98℃, 20分钟.
封闭: 3% BSA(货号KSGC305010)的PBS溶液, 室温孵育30分钟.
—抗: 1: 2300稀释, 4℃ 孵育过夜.
二抗: Cy3标记山羊抗兔IgG (H+L) (货号KB63909), 1: 300稀释, 室温孵育1小时.

需要技术支持?

如果您有任何问题或如果您在实验过程中遇到问题,或需要更详细的技术指导,请联系我们的技术支持团队
电话 400-6027-270

联系我们

如果您对我们的公司或产品有任何疑问,欢迎随时联系我们