tel 400-6027-270
Main Image
Anti-GADD45G/CR6 兔多克隆抗体
¥1900
加入对比
货号: K1340719-100
亚细胞定位: 细胞核, 细胞质
别名: Cytokine-responsive protein CR6,Gadd45g,Cr6,DDIT-2,DNA damage-inducible transcript 2 protein,GRP17
应用 | 种属
IHC/IF M,R
规格:
产品信息
蛋白质全称 生长阻滞DNA损伤诱导蛋白GADD45γ
别名 Cytokine-responsive protein CR6,Gadd45g,Cr6,DDIT-2,DNA damage-inducible transcript 2 protein,GRP17
Uniprot ID Q9Z111
免疫原 小鼠GADD45G/CR6重组蛋白
抗体亚型 IgG
纯化方式 亲和纯化
亚细胞定位 细胞核, 细胞质
应用
IHC/IF 免疫组织化学/免疫荧光
物种:小鼠,大鼠
稀释比:1:2000-1:4000
阳性样品:小脑
背景
This gene is a member of a group of genes whose transcript levels are increased following stressful growth arrest conditions and treatment with DNA-damaging agents. The protein encoded by this gene responds to environmental stresses by mediating activation of the p38/JNK pathway via MTK1/MEKK4 kinase. The GADD45G is highly expressed in placenta.
储存条件
储存条件:储存条件在:-20℃下储存一年, 避免反复冻融.
储存缓冲液:含0.15% ProClin300防腐剂, 100 μg/mL牛血清白蛋白和50%甘油的磷酸盐缓冲液.
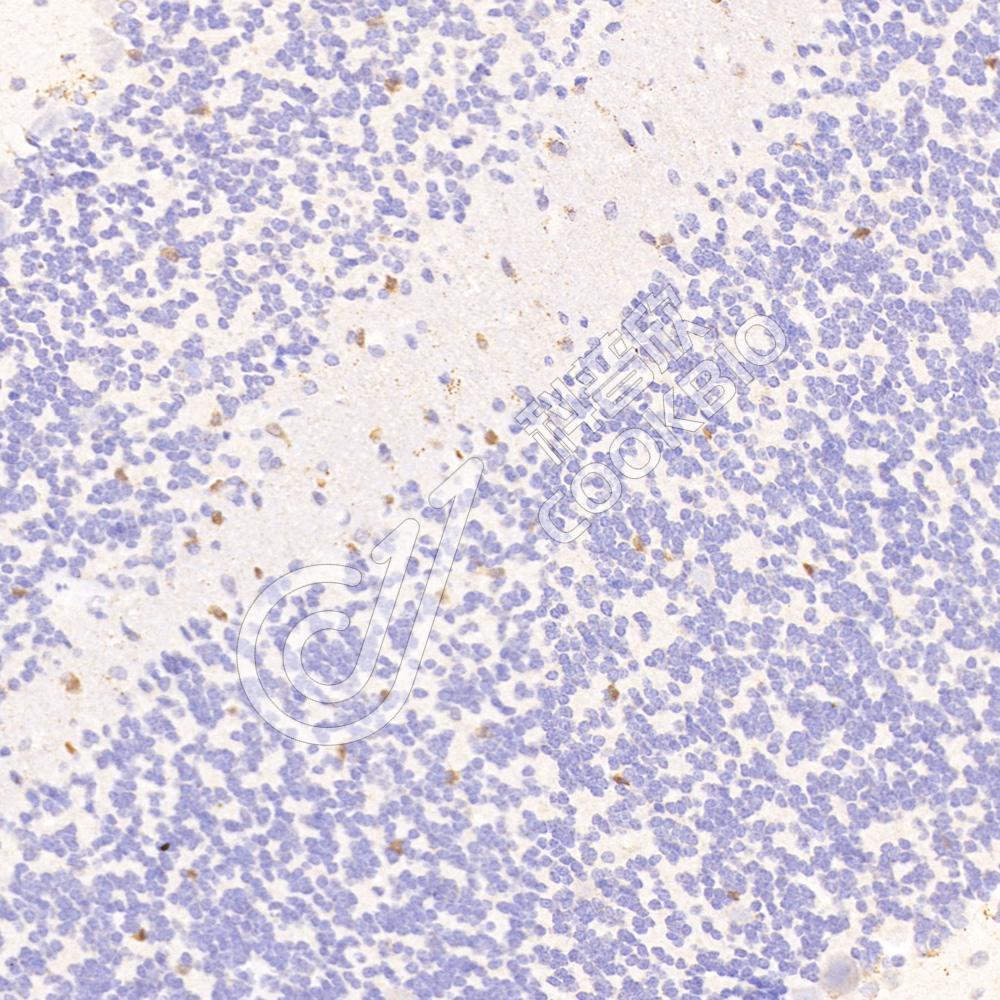
图像
IHC检测GADD45G/CR6蛋白(货号 K1340719).
样品: 小鼠小脑, 4%多聚甲醛 (货号KSG1101) 固定12-24小时.
抗原修复: Tris-EDTA抗原修复液(pH 9.0) (KSG1203), 98℃, 20分钟.
—抗: 1: 3000稀释, 4℃ 孵育过夜.
二抗: S-vision免疫组化多聚二抗(山羊抗兔),即用型 (货号KB3906), 室温孵育20分钟.
IHC检测GADD45G/CR6蛋白(货号 K1340719).
样品: 大鼠小脑, 4%多聚甲醛 (货号KSG1101) 固定12-24小时.
抗原修复: Tris-EDTA抗原修复液(pH 9.0) (KSG1203), 98℃, 20分钟.
—抗: 1: 3000稀释, 4℃ 孵育过夜.
二抗: S-vision免疫组化多聚二抗(山羊抗兔),即用型 (货号KB3906), 室温孵育20分钟.

需要技术支持?

如果您有任何问题或如果您在实验过程中遇到问题,或需要更详细的技术指导,请联系我们的技术支持团队
电话 400-6027-270

联系我们

如果您对我们的公司或产品有任何疑问,欢迎随时联系我们