tel 400-6027-270
Main Image
Anti-NLRP1 兔多克隆抗体
¥1900
加入对比
货号: K135169-100
亚细胞定位: 细胞质
别名: Nlrp1a,NLRP1,CARD7,CIDED,CLR17.1,DEFCAP,DEFCAP-L/S,NAC,NALP1,PP1044,SLEV1,VAMAS1,NLR family,pyrin domain containing 1,NLR family pyrin domain containing 1,MSPC,AIADK
应用 | 种属
IHC/IF M
规格:
产品信息
蛋白质全称 NACHT-LRR-PYD结构域蛋白1a
别名 Nlrp1a,NLRP1,CARD7,CIDED,CLR17.1,DEFCAP,DEFCAP-L/S,NAC,NALP1,PP1044,SLEV1,VAMAS1,NLR family,pyrin domain containing 1,NLR family pyrin domain containing 1,MSPC,AIADK
Uniprot ID Q2LKU9
免疫原 小鼠NLRP1重组蛋白
抗体亚型 IgG
纯化方式 亲和纯化
亚细胞定位 细胞质
应用
IHC/IF 免疫组织化学/免疫荧光
物种:小鼠
稀释比:1:250-1:2000
阳性样品:脾
背景
NACHT, LRR and PYD domains-containing protein 1 is a member of the Ced-4 family of apoptosis proteins. Ced-family members contain a caspase recruitment domain (CARD) and are known to be key mediators of programmed cell death. The encoded protein contains a distinct N-terminal pyrin-like motif, which is possibly involved in protein-protein interactions. The NLRP1 protein interacts strongly with caspase 2 and weakly with caspase 9.
储存条件
储存条件:储存条件在:-20℃下储存一年, 避免反复冻融.
储存缓冲液:含0.15% ProClin300防腐剂, 100 μg/mL牛血清白蛋白和50%甘油的磷酸盐缓冲液.
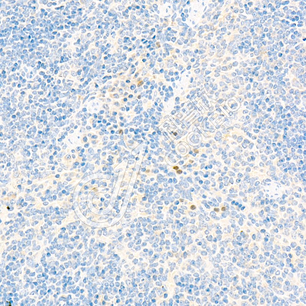
图像
IHC检测NLRP1蛋白(货号 K135169).
样品: 小鼠脾, 4%多聚甲醛 (货号KSG1101) 固定12-24小时.
抗原修复: 柠檬酸抗原修复液(干粉, pH 6.0) (KSG1201), 98℃, 20分钟.
—抗: 1: 1100稀释, 4℃ 孵育过夜.
二抗: S-vision免疫组化多聚二抗(山羊抗兔),即用型 (货号KB3906), 室温孵育20分钟.
IHC检测NLRP1蛋白(货号 K135169).
样品: 小鼠脾, 4%多聚甲醛 (货号KSG1101) 固定12-24小时.
抗原修复: 柠檬酸抗原修复液(干粉, pH 6.0) (KSG1201), 98℃, 20分钟.
—抗: 1: 1100稀释, 4℃ 孵育过夜.
二抗: S-vision免疫组化多聚二抗(山羊抗兔),即用型 (货号KB3906), 室温孵育20分钟.

需要技术支持?

如果您有任何问题或如果您在实验过程中遇到问题,或需要更详细的技术指导,请联系我们的技术支持团队
电话 400-6027-270

联系我们

如果您对我们的公司或产品有任何疑问,欢迎随时联系我们