tel 400-6027-270
Main Image
Anti-Smac/Diablo 兔多克隆抗体
¥1900
加入对比
货号: K135688-100
预测分子量: 27 kDa
观测分子量: 21 kDa
亚细胞定位: 线粒体
别名: Diablo,DIABLO,DFNA64,SMAC,Diablo,Diablo homolog,diablo IAP-binding mitochondrial protein,Smac,diablo homolog (Drosophila),mitochondrial,DIABLO S,SMAC3
应用 | 种属
WB H,M,R
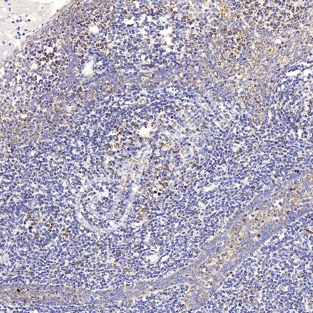
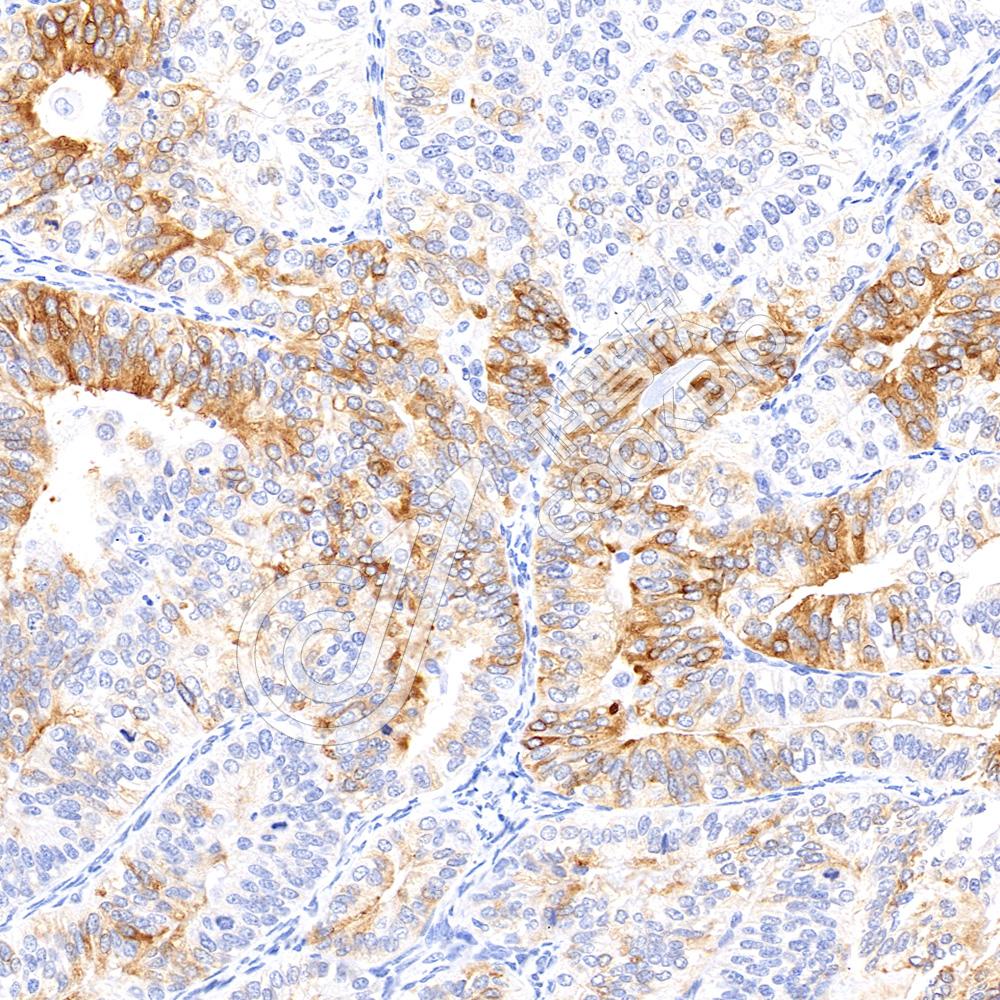
ICC/IF H,M,R
规格:
产品信息
蛋白质全称 线粒体Diablo同源物
别名 Diablo,DIABLO,DFNA64,SMAC,Diablo,Diablo homolog,diablo IAP-binding mitochondrial protein,Smac,diablo homolog (Drosophila),mitochondrial,DIABLO S,SMAC3
Uniprot ID Q9JIQ3
免疫原 小鼠Smac重组蛋白
抗体亚型 IgG
纯化方式 亲和纯化
亚细胞定位 线粒体
预测分子量./观测分子量. 27 kDa / 21 kDa
应用
WB 免疫印迹
物种:人,小鼠,大鼠
稀释比:1:500-1:1000
阳性样品:心
ICC/IF 免疫细胞化学/免疫荧光
物种:人,小鼠,大鼠
稀释比:1:100-1:400
阳性样品:—
背景
Diablo homolog (DIABLO) is a mitochondrial protein encoded by the DIABLO gene. SMAC is a mitochondrial protein that promotes cytochrome c- and TNF receptor-dependent activation of apoptosis by inhibiting the effect of IAP–a protein that negatively regulates apoptosis, or programmed cell death. SMAC is normally a mitochondrial protein localized to the mitochondrial intermembrane space, but it enters the cytosol when cells undergo apoptosis.
储存条件
储存条件:储存条件在:-20℃下储存一年, 避免反复冻融.
储存缓冲液:含0.15% ProClin300防腐剂, 100 μg/mL牛血清白蛋白和50%甘油的磷酸盐缓冲液.
图像
WB检测Smac/Diablo蛋白(货号 K135688).
样品: 经RIPA裂解液(货号KSG2002)处理的蛋白质.
封闭: 3%脱脂牛奶(货号KSGC310001)溶于TBST溶液, 室温孵育1小时.
—抗: 1: 1000稀释, 4℃ 孵育过夜.
二抗: HRP标记山羊抗兔IgG (H+L) (货号KB69909), 1: 5000稀释, 室温孵育1小时.

需要技术支持?

如果您有任何问题或如果您在实验过程中遇到问题,或需要更详细的技术指导,请联系我们的技术支持团队
电话 400-6027-270

联系我们

如果您对我们的公司或产品有任何疑问,欢迎随时联系我们