tel 400-6027-270
Main Image
Anti-Bag1 兔多克隆抗体
¥1900
加入对比
货号: K1346791-100
亚细胞定位: 细胞核, 细胞质
别名: BAG 1,BAG1,BAG1L speicfic,BAG1M,BAG1S,HAP,RAP46
应用 | 种属
IHC/IF M,R
规格:
产品信息
蛋白质全称 BAG家族分子伴侣调节因子1
别名 BAG 1,BAG1,BAG1L speicfic,BAG1M,BAG1S,HAP,RAP46
Uniprot ID Q60739
免疫原 KLH偶联的小鼠Bag1合成肽
抗体亚型 IgG
纯化方式 亲和纯化
亚细胞定位 细胞核, 细胞质
应用
IHC/IF 免疫组织化学/免疫荧光
物种:小鼠,大鼠
稀释比:1:150-1:600
阳性样品:睾丸
背景
Co-chaperone for HSP70 and HSC70 chaperone proteins. Acts as a nucleotide-exchange factor promoting the release of ADP from the HSP70 and HSC70 proteins thereby triggering client/substrate protein release. Nucleotide release is mediated via its binding to the nucleotide-binding domain of HSPA8/HSC70 where as the substrate release is mediated via its binding to the substrate-binding domain of HSPA8/HSC70. Inhibits the pro-apoptotic function of PPP1R15A, and has anti-apoptotic activity. Markedly increases the anti-cell death function of BCL2 induced by various stimuli.
储存条件
储存条件:储存条件在:-20℃下储存一年, 避免反复冻融.
储存缓冲液:含0.15% ProClin300防腐剂, 100 μg/mL牛血清白蛋白和50%甘油的磷酸盐缓冲液.
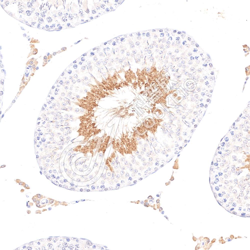
图像
IHC检测Bag1蛋白(货号 K1346791).
样品: 小鼠睾丸, 4%多聚甲醛 (货号KSG1101) 固定12-24小时.
抗原修复: Tris-EDTA抗原修复液(pH 9.0) (KSG1203), 98℃, 20分钟.
—抗: 1: 400稀释, 4℃ 孵育过夜.
二抗: S-vision免疫组化多聚二抗(山羊抗兔),即用型 (货号KB3906), 室温孵育20分钟.
IHC检测Bag1蛋白(货号 K1346791).
样品: 大鼠睾丸, 4%多聚甲醛 (货号KSG1101) 固定12-24小时.
抗原修复: Tris-EDTA抗原修复液(pH 9.0) (KSG1203), 98℃, 20分钟.
—抗: 1: 400稀释, 4℃ 孵育过夜.
二抗: S-vision免疫组化多聚二抗(山羊抗兔),即用型 (货号KB3906), 室温孵育20分钟.

需要技术支持?

如果您有任何问题或如果您在实验过程中遇到问题,或需要更详细的技术指导,请联系我们的技术支持团队
电话 400-6027-270

联系我们

如果您对我们的公司或产品有任何疑问,欢迎随时联系我们