tel 400-6027-270
Main Image
Anti-Bax 兔多克隆抗体
¥1900
加入对比
货号: K1342366-100
预测分子量: 21 kDa
观测分子量: 21 kDa
亚细胞定位: 线粒体, 细胞质
别名: BAX,BCL2L4,BCL2 associated X protein,BCL2 associated X,Apoptosis regulator BAX,Bcl-2-Like Protein 4,Bcl2-L-4,Bax-protein, apoptosis regulator
应用 | 种属
WB H,M,R
IHC/IF H,M,R
规格:
产品信息
蛋白质全称 凋亡调节蛋白Bax
别名 BAX,BCL2L4,BCL2 associated X protein,BCL2 associated X,Apoptosis regulator BAX,Bcl-2-Like Protein 4,Bcl2-L-4,Bax-protein, apoptosis regulator
Uniprot ID Q07812
免疫原 KLH偶联的人Bax合成肽
抗体亚型 IgG
纯化方式 亲和纯化
亚细胞定位 线粒体, 细胞质
预测分子量./观测分子量. 21 kDa / 21 kDa
应用
WB 免疫印迹
物种:人,小鼠,大鼠
稀释比:1:400-1:800
阳性样品:Hep G2细胞, C6细胞, 脾
IHC/IF 免疫组织化学/免疫荧光
物种:人,小鼠,大鼠
稀释比:1:400-1:800
阳性样品:食管癌, 肾
背景
Accelerates programmed cell death by binding to, and antagonizing the apoptosis repressor BCL2 or its adenovirus homolog E1B 19k protein. Under stress conditions, undergoes a conformation change that causes translocation to the mitochondrion membrane, leading to the release of cytochrome c that then triggers apoptosis. Promotes activation of CASP3, and thereby apoptosis.
储存条件
储存条件:储存条件在:-20℃下储存一年, 避免反复冻融.
储存缓冲液:含0.15% ProClin300防腐剂, 100 μg/mL牛血清白蛋白和50%甘油的磷酸盐缓冲液.
图像
WB检测Bax蛋白(货号 K1342366).
样品: 经RIPA裂解液(货号KSG2002)处理的蛋白质.
封闭: 3%脱脂牛奶(货号KSGC310001)溶于TBST溶液, 室温孵育1小时.
—抗: 1: 500稀释, 4℃ 孵育过夜.
二抗: HRP标记山羊抗兔IgG (H+L) (货号KB69909), 1: 5000稀释, 室温孵育1小时.
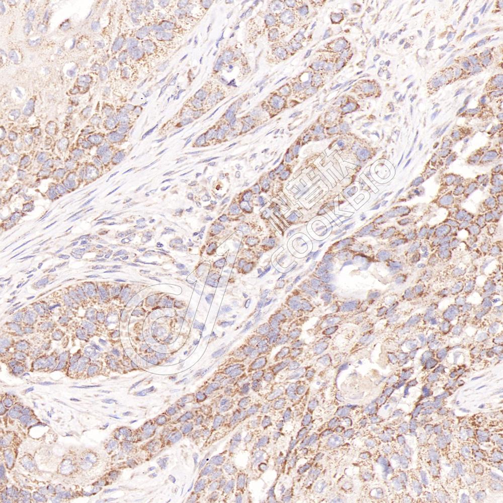
IHC检测Bax蛋白(货号 K1342366).
样品: 人食管癌, 4%多聚甲醛 (货号KSG1101) 固定12-24小时.
抗原修复: 柠檬酸抗原修复液(干粉, pH 6.0) (KSG1201), 98℃, 20分钟.
—抗: 1: 600稀释, 4℃ 孵育过夜.
二抗: S-vision免疫组化多聚二抗(山羊抗兔),即用型 (货号KB3906), 室温孵育20分钟.
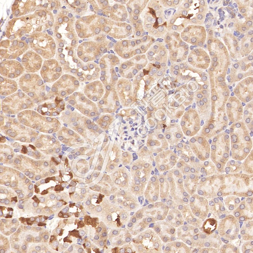
IHC检测Bax蛋白(货号 K1342366).
样品: 小鼠肾, 4%多聚甲醛 (货号KSG1101) 固定12-24小时.
抗原修复: 柠檬酸抗原修复液(干粉, pH 6.0) (KSG1201), 98℃, 20分钟.
—抗: 1: 600稀释, 4℃ 孵育过夜.
二抗: S-vision免疫组化多聚二抗(山羊抗兔),即用型 (货号KB3906), 室温孵育20分钟.
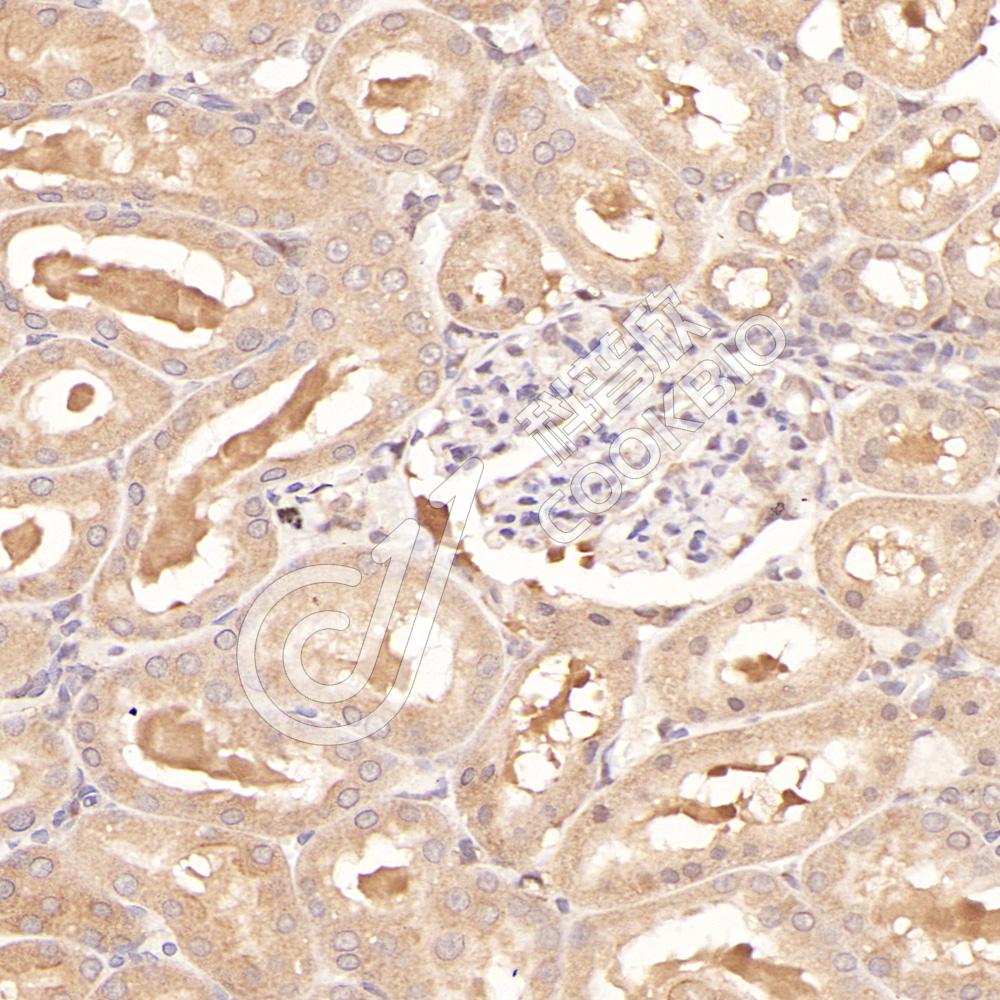
IHC检测Bax蛋白(货号 K1342366).
样品: 大鼠肾, 4%多聚甲醛 (货号KSG1101) 固定12-24小时.
抗原修复: 柠檬酸抗原修复液(干粉, pH 6.0) (KSG1201), 98℃, 20分钟.
—抗: 1: 600稀释, 4℃ 孵育过夜.
二抗: S-vision免疫组化多聚二抗(山羊抗兔),即用型 (货号KB3906), 室温孵育20分钟.

需要技术支持?

如果您有任何问题或如果您在实验过程中遇到问题,或需要更详细的技术指导,请联系我们的技术支持团队
电话 400-6027-270

联系我们

如果您对我们的公司或产品有任何疑问,欢迎随时联系我们