tel 400-6027-270
Main Image
Anti-PYK2 兔多克隆抗体
¥1900
加入对比
货号: K135487-100
亚细胞定位: 细胞核, 细胞质
别名: CADTK,CAK beta,CAKB,Cell adhesion kinase beta,FADK 2,FADK2,FAK2,Focal adhesion kinase 2,FRNK,PKB,Proline rich tyrosine kinase 2,Protein tyrosine kinase 2 beta,PTK,PTK2B,PYK2,RAFTK,Ptk2b,  PYK2
应用 | 种属
IHC/IF H,M,R
规格:
产品信息
蛋白质全称 蛋白酪氨酸激酶2β
别名 CADTK,CAK beta,CAKB,Cell adhesion kinase beta,FADK 2,FADK2,FAK2,Focal adhesion kinase 2,FRNK,PKB,Proline rich tyrosine kinase 2,Protein tyrosine kinase 2 beta,PTK,PTK2B,PYK2,RAFTK,Ptk2b,  PYK2
Uniprot ID Q9QVP9
免疫原 小鼠PYK2重组蛋白
抗体亚型 IgG
纯化方式 亲和纯化
亚细胞定位 细胞核, 细胞质
应用
IHC/IF 免疫组织化学/免疫荧光
物种:人,小鼠,大鼠
稀释比:1:400-1:3000
阳性样品:乳腺癌, 结肠
背景
Protein tyrosine kinase 2 beta is an enzyme encoded by the PTK2B gene. The protein is a cytoplasmic protein tyrosine kinase that is involved in calcium-induced regulation of ion channels and activation of the map kinase signaling pathway. The encoded protein may represent an important signaling intermediate between neuropeptide-activated receptors or neurotransmitters that increase calcium flux and the downstream signals that regulate neuronal activity.
储存条件
储存条件:储存条件在:-20℃下储存一年, 避免反复冻融.
储存缓冲液:含0.15% ProClin300防腐剂, 100 μg/mL牛血清白蛋白和50%甘油的磷酸盐缓冲液.
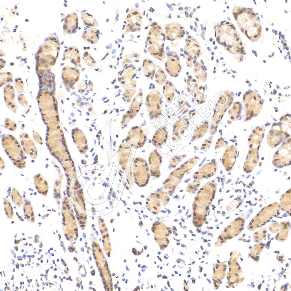
图像
IHC检测PYK2蛋白(货号 K135487).
样品: 小鼠结肠, 4%多聚甲醛 (货号KSG1101) 固定12-24小时.
抗原修复: 柠檬酸抗原修复液(干粉, pH 6.0) (KSG1201), 98℃, 20分钟.
—抗: 1: 1700稀释, 4℃ 孵育过夜.
二抗: S-vision免疫组化多聚二抗(山羊抗兔),即用型 (货号KB3906), 室温孵育20分钟.
IF检测PYK2蛋白(货号 K135487)(红色).
样品: 人乳腺癌, 4%多聚甲醛 (货号KSG1101) 固定12-24小时.
抗原修复: Tris-EDTA抗原修复液(pH 9.0) (KSG1203), 98℃, 20分钟.
封闭: 3% BSA(货号KSGC305010)的PBS溶液, 室温孵育30分钟.
—抗: 1: 1700稀释, 4℃ 孵育过夜.
二抗: Cy3标记山羊抗兔IgG (H+L) (货号KB63909), 1: 300稀释, 室温孵育1小时.

需要技术支持?

如果您有任何问题或如果您在实验过程中遇到问题,或需要更详细的技术指导,请联系我们的技术支持团队
电话 400-6027-270

联系我们

如果您对我们的公司或产品有任何疑问,欢迎随时联系我们