tel 400-6027-270
Main Image
Anti-ANKK1 兔多克隆抗体
¥1900
加入对比
货号: K1337131-100
亚细胞定位: 细胞核
别名: Ankk1,X kinase,Sugen kinase 288,SGK288,Protein kinase PKK2,PKK2
应用 | 种属
IHC/IF H
规格:
产品信息
蛋白质全称 含锚蛋白重复和激酶结构域的蛋白1
别名 Ankk1,X kinase,Sugen kinase 288,SGK288,Protein kinase PKK2,PKK2
Uniprot ID Q8BZ25
免疫原 KLH偶联的小鼠ANKK1合成肽
抗体亚型 IgG
纯化方式 亲和纯化
亚细胞定位 细胞核
应用
IHC/IF 免疫组织化学/免疫荧光
物种:人
稀释比:1:100-1:400
阳性样品:结肠, 胃癌
背景
ANKK1 (ankyrin repeat and kinase domain containing 1), also known as PKK2 or SGK288, is a 765 amino acid protein that belongs to the Ser/Thr protein kinase family and contains 12 ANK repeats and one protein kinase domain. Highly expressed in brain tissue and present in lower amounts in placenta and spinal cord, ANKK1 functions to catalyze the ATP-dependent phosphorylation of target proteins and is thought to play a role in alcohol and nicotine dependence. The gene encoding ANKK1 maps to human chromosome 11, which houses over 1,400 genes and comprises nearly 4% of the human genome.
储存条件
储存条件:储存条件在:-20℃下储存一年, 避免反复冻融.
储存缓冲液:含0.15% ProClin300防腐剂, 100 μg/mL牛血清白蛋白和50%甘油的磷酸盐缓冲液.
图像
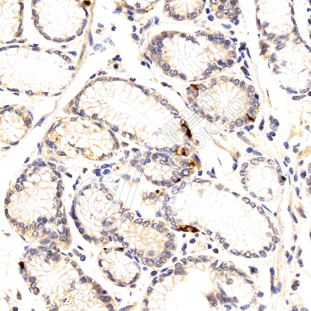
IHC检测ANKK1蛋白(货号 K1337131).
样品: 人结肠, 4%多聚甲醛 (货号KSG1101) 固定12-24小时.
抗原修复: 柠檬酸抗原修复液(干粉, pH 6.0) (KSG1201), 98℃, 20分钟.
—抗: 1: 300稀释, 4℃ 孵育过夜.
二抗: S-vision免疫组化多聚二抗(山羊抗兔),即用型 (货号KB3906), 室温孵育20分钟.
IHC检测ANKK1蛋白(货号 K1337131).
样品: 人胃癌, 4%多聚甲醛 (货号KSG1101) 固定12-24小时.
抗原修复: 柠檬酸抗原修复液(干粉, pH 6.0) (KSG1201), 98℃, 20分钟.
—抗: 1: 300稀释, 4℃ 孵育过夜.
二抗: S-vision免疫组化多聚二抗(山羊抗兔),即用型 (货号KB3906), 室温孵育20分钟.

需要技术支持?

如果您有任何问题或如果您在实验过程中遇到问题,或需要更详细的技术指导,请联系我们的技术支持团队
电话 400-6027-270

联系我们

如果您对我们的公司或产品有任何疑问,欢迎随时联系我们