tel 400-6027-270
Main Image
Anti-14-3-3 alpha+beta 兔多克隆抗体
¥1900
加入对比
货号: K134776-100
亚细胞定位: 细胞质
别名: YWHAB,GW128,HEL-S-1,HS1,KCIP-1,YWHAA,tyrosine 3-monooxygenase/tryptophan 5-monooxygenase activation protein beta
应用 | 种属
IHC/IF H
规格:
产品信息
蛋白质全称 14-3-3蛋白β/α亚型
别名 YWHAB,GW128,HEL-S-1,HS1,KCIP-1,YWHAA,tyrosine 3-monooxygenase/tryptophan 5-monooxygenase activation protein beta
Uniprot ID Q9CQV8
免疫原 KLH偶联的小鼠14-3-3 alpha + beta合成肽
抗体亚型 IgG
纯化方式 亲和纯化
亚细胞定位 细胞质
应用
IHC/IF 免疫组织化学/免疫荧光
物种:人
稀释比:1:250-1:4000
阳性样品:结肠
背景
This gene encodes a protein belonging to the 14-3-3 family of proteins, members of which mediate signal transduction by binding to phosphoserine-containing proteins. This highly conserved protein family is found in both plants and mammals. The encoded protein has been shown to interact with RAF1 and CDC25 phosphatases, suggesting that it may play a role in linking mitogenic signaling and the cell cycle machinery. Two transcript variants, which encode the same protein, have been identified for this gene.
储存条件
储存条件:储存条件在:-20℃下储存一年, 避免反复冻融.
储存缓冲液:含0.15% ProClin300防腐剂, 100 μg/mL牛血清白蛋白和50%甘油的磷酸盐缓冲液.
图像
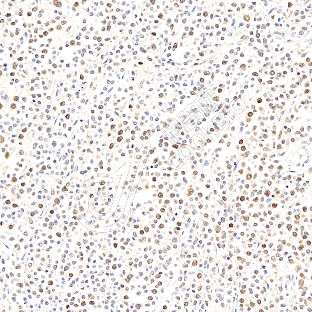
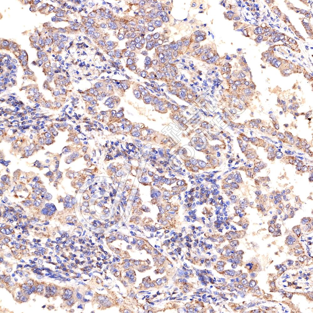
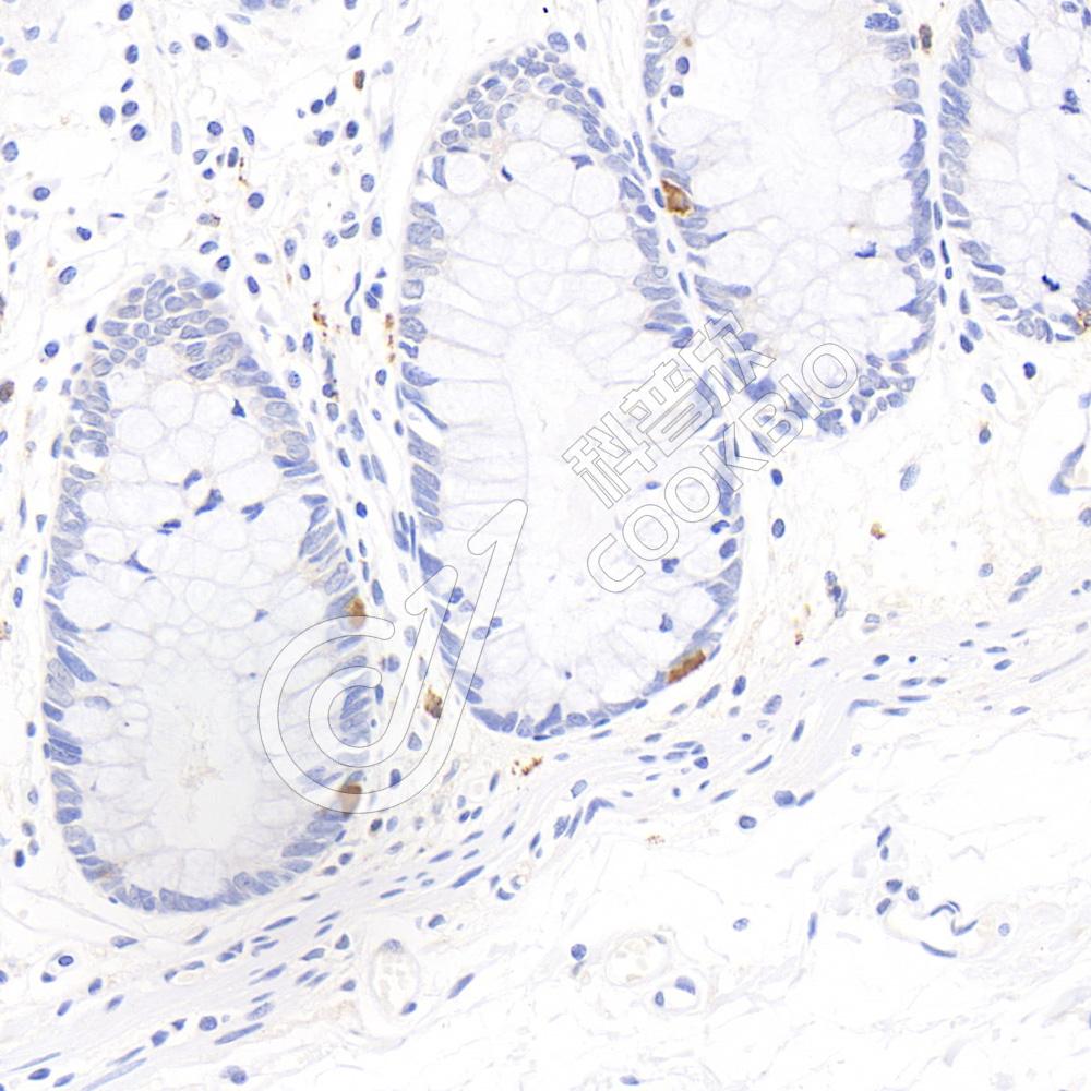
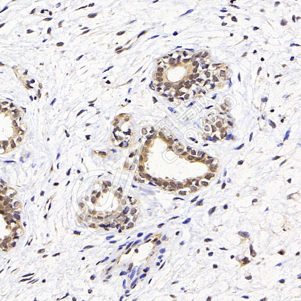
IHC检测14-3-3 alpha+beta蛋白(货号 K134776).
样品: 人结肠, 4%多聚甲醛 (货号KSG1101) 固定12-24小时.
抗原修复: 柠檬酸抗原修复液(干粉, pH 6.0) (KSG1201), 98℃, 20分钟.
—抗: 1: 2100稀释, 4℃ 孵育过夜.
二抗: S-vision免疫组化多聚二抗(山羊抗兔),即用型 (货号KB3906), 室温孵育20分钟.
IHC检测14-3-3 alpha+beta蛋白(货号 K134776).
样品: 人结肠, 4%多聚甲醛 (货号KSG1101) 固定12-24小时.
抗原修复: 柠檬酸抗原修复液(干粉, pH 6.0) (KSG1201), 98℃, 20分钟.
—抗: 1: 2100稀释, 4℃ 孵育过夜.
二抗: S-vision免疫组化多聚二抗(山羊抗兔),即用型 (货号KB3906), 室温孵育20分钟.

需要技术支持?

如果您有任何问题或如果您在实验过程中遇到问题,或需要更详细的技术指导,请联系我们的技术支持团队
电话 400-6027-270

联系我们

如果您对我们的公司或产品有任何疑问,欢迎随时联系我们