tel 400-6027-270
Main Image
Anti-Tal1 兔多克隆抗体
¥1900
加入对比
货号: K135655-100
亚细胞定位: 细胞核
别名: Tal1,TAL1,SCL,TCL5,bHLHa17,tal-1,T-cell acute lymphocytic leukemia 1,TAL bHLH transcription factor 1,erythroid differentiation factor
应用 | 种属
IHC/IF R
规格:
产品信息
蛋白质全称 T细胞急性淋巴白血病蛋白1同源物
别名 Tal1,TAL1,SCL,TCL5,bHLHa17,tal-1,T-cell acute lymphocytic leukemia 1,TAL bHLH transcription factor 1,erythroid differentiation factor
Uniprot ID P22091
免疫原 小鼠Tal1重组蛋白
抗体亚型 IgG
纯化方式 亲和纯化
亚细胞定位 细胞核
应用
IHC/IF 免疫组织化学/免疫荧光
物种:大鼠
稀释比:1:400-1:1500
阳性样品:脾
背景
Activation of TAL1 characterizes up to 60% of cases of human T cell acute lymphoblastic leukemia, making it the most frequent gain-of-function mutation observed in this disorder. TAL1 (also designated SCL) is a serine phosphoprotein and basic helix-loop-helix transcription factor known to regulate embryonic hematopoiesis. This transcription factor binds as a heterodimer with E2A and HEB/HTF4 to a nucleotide sequence motif termed the E-box.
储存条件
储存条件:储存条件在:-20℃下储存一年, 避免反复冻融.
储存缓冲液:含0.15% ProClin300防腐剂, 100 μg/mL牛血清白蛋白和50%甘油的磷酸盐缓冲液.
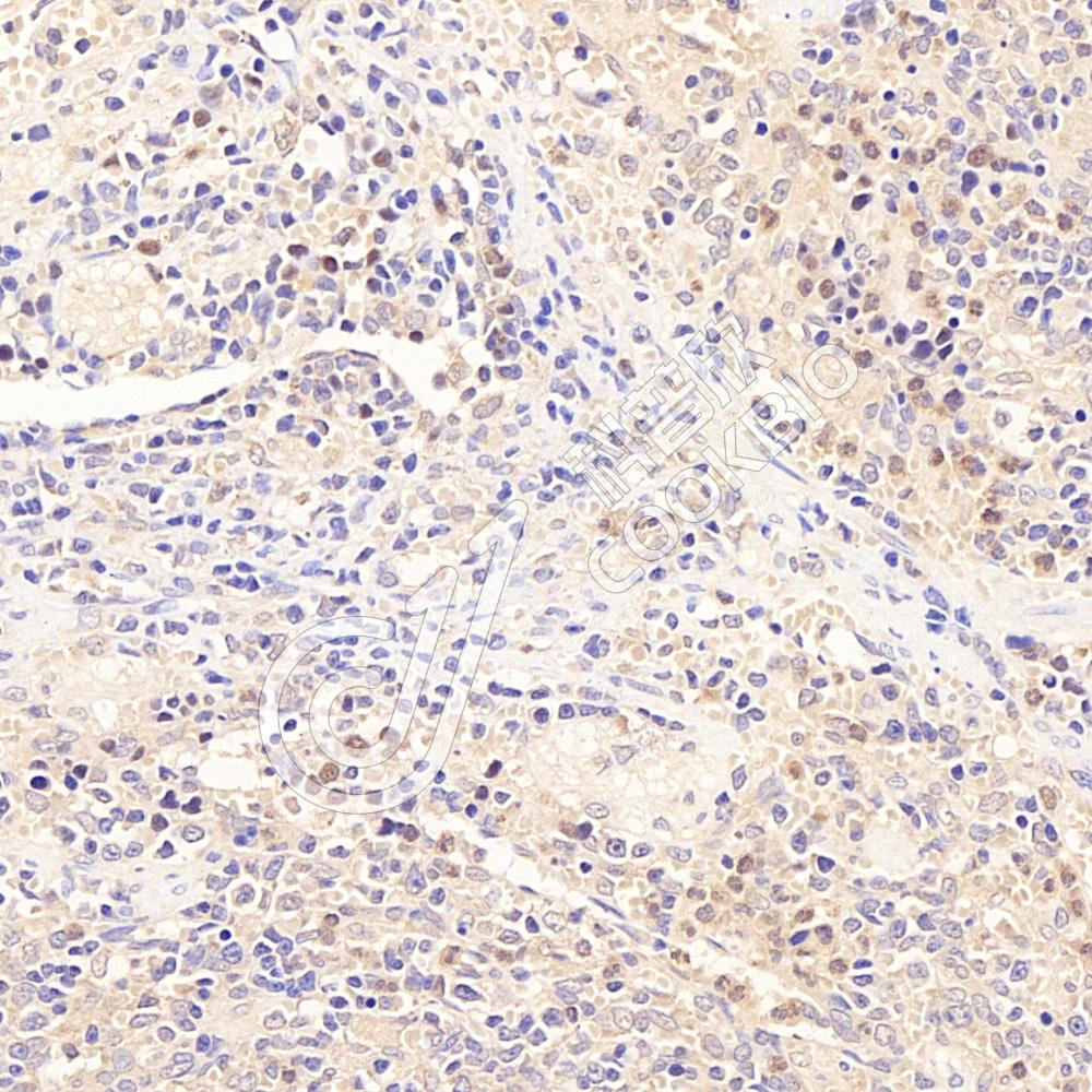
图像
IHC检测Tal1蛋白(货号 K135655).
样品: 大鼠脾, 4%多聚甲醛 (货号KSG1101) 固定12-24小时.
抗原修复: 柠檬酸抗原修复液(干粉, pH 6.0) (KSG1201), 98℃, 20分钟.
—抗: 1: 1000稀释, 4℃ 孵育过夜.
二抗: S-vision免疫组化多聚二抗(山羊抗兔),即用型 (货号KB3906), 室温孵育20分钟.
IHC检测Tal1蛋白(货号 K135655).
样品: 大鼠脾, 4%多聚甲醛 (货号KSG1101) 固定12-24小时.
抗原修复: 柠檬酸抗原修复液(干粉, pH 6.0) (KSG1201), 98℃, 20分钟.
—抗: 1: 1000稀释, 4℃ 孵育过夜.
二抗: S-vision免疫组化多聚二抗(山羊抗兔),即用型 (货号KB3906), 室温孵育20分钟.

需要技术支持?

如果您有任何问题或如果您在实验过程中遇到问题,或需要更详细的技术指导,请联系我们的技术支持团队
电话 400-6027-270

联系我们

如果您对我们的公司或产品有任何疑问,欢迎随时联系我们