tel 400-6027-270
Main Image
Anti-BNIP3 兔多克隆抗体
¥1900
加入对比
货号: K1333612-100
亚细胞定位: 细胞质
别名: Bnip3,Nip3
应用 | 种属
IHC/IF H,M
规格:
产品信息
蛋白质全称 BCL2/腺病毒E1B 19 kDa蛋白互作蛋白3
别名 Bnip3,Nip3
Uniprot ID O55003
免疫原 小鼠BNIP3重组蛋白
抗体亚型 IgG
纯化方式 亲和纯化
亚细胞定位 细胞质
应用
IHC/IF 免疫组织化学/免疫荧光
物种:人,小鼠
稀释比:1:1000-1:2000
阳性样品:肝, 睾丸
背景
The BNIP3 is an apoptosis-inducing protein that can overcome BCL2 suppression. May play a role in repartitioning calcium between the two major intracellular calcium stores in association with BCL2. Involved in mitochondrial quality control via its interaction with SPATA18/MIEAP: in response to mitochondrial damage, participates to mitochondrial protein catabolic process (also named MALM) leading to the degradation of damaged proteins inside mitochondria.
储存条件
储存条件:储存条件在:-20℃下储存一年, 避免反复冻融.
储存缓冲液:含0.15% ProClin300防腐剂, 100 μg/mL牛血清白蛋白和50%甘油的磷酸盐缓冲液.
图像
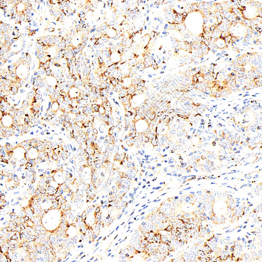
IHC检测BNIP3蛋白(货号 K1333612).
样品: 人肝, 4%多聚甲醛 (货号KSG1101) 固定12-24小时.
抗原修复: 柠檬酸抗原修复液(干粉, pH 6.0) (KSG1201), 98℃, 20分钟.
—抗: 1: 1500稀释, 4℃ 孵育过夜.
二抗: S-vision免疫组化多聚二抗(山羊抗兔),即用型 (货号KB3906), 室温孵育20分钟.
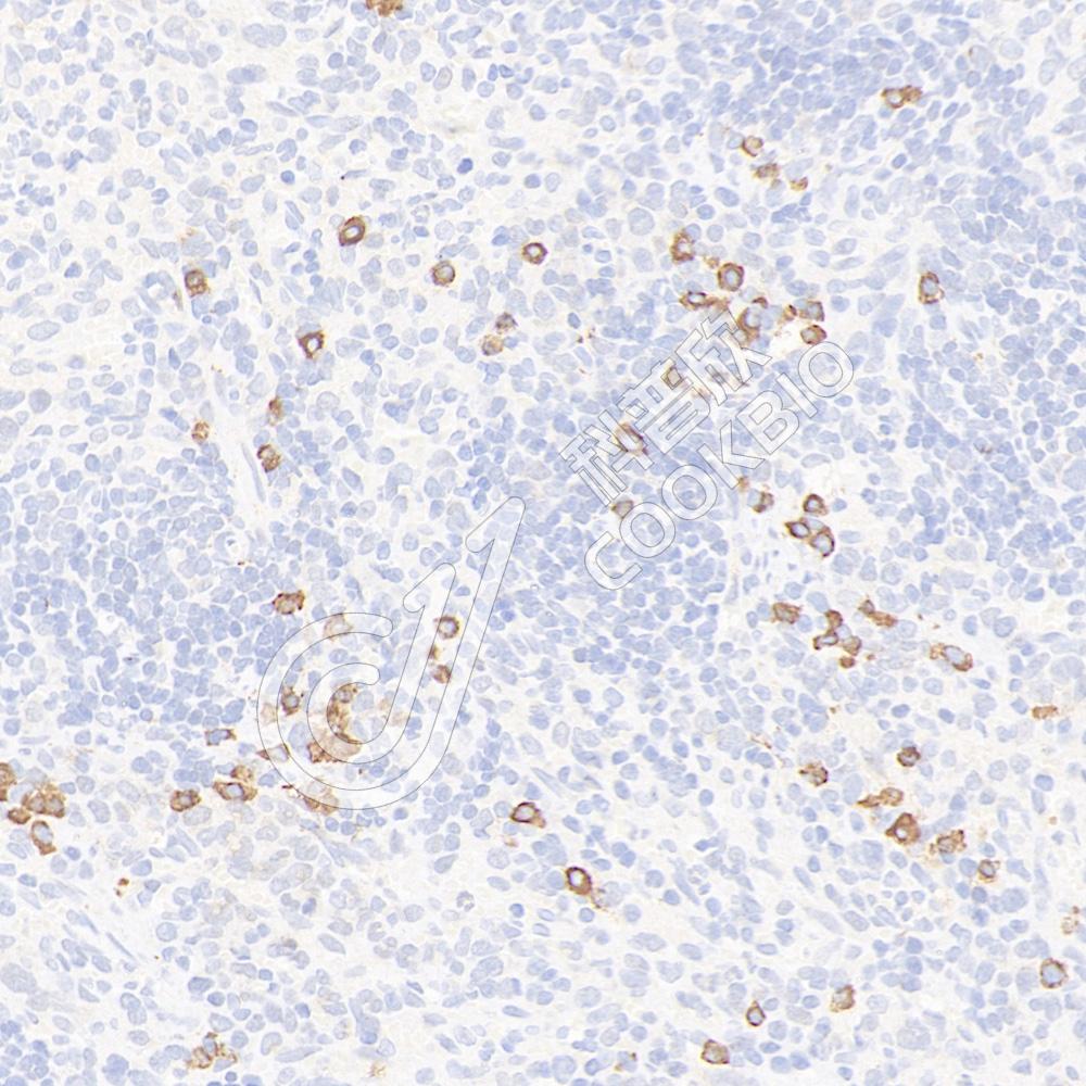
IHC检测BNIP3蛋白(货号 K1333612).
样品: 小鼠睾丸, 4%多聚甲醛 (货号KSG1101) 固定12-24小时.
抗原修复: 柠檬酸抗原修复液(干粉, pH 6.0) (KSG1201), 98℃, 20分钟.
—抗: 1: 1500稀释, 4℃ 孵育过夜.
二抗: S-vision免疫组化多聚二抗(山羊抗兔),即用型 (货号KB3906), 室温孵育20分钟.

需要技术支持?

如果您有任何问题或如果您在实验过程中遇到问题,或需要更详细的技术指导,请联系我们的技术支持团队
电话 400-6027-270

联系我们

如果您对我们的公司或产品有任何疑问,欢迎随时联系我们