tel 400-6027-270
Main Image
Anti-ZIP Kinase 兔多克隆抗体
¥1900
加入对比
货号: K1335721-100
亚细胞定位: 细胞核, 细胞质
别名: DAP kinase 3,DAP-like kinase,Dlk,MYPT1 kinase,ZIP kinase,Dapk3,Zipk,ZIP
应用 | 种属
IHC/IF M
规格:
产品信息
蛋白质全称 死亡相关蛋白激酶3
别名 DAP kinase 3,DAP-like kinase,Dlk,MYPT1 kinase,ZIP kinase,Dapk3,Zipk,ZIP
Uniprot ID O54784
免疫原 小鼠ZIP Kinase重组蛋白
抗体亚型 IgG
纯化方式 亲和纯化
亚细胞定位 细胞核, 细胞质
应用
IHC/IF 免疫组织化学/免疫荧光
物种:小鼠
稀释比:1:500-1:2000
阳性样品:脑
背景
DAPK3(Death-associated protein kinase 3) is also named as ZIPK(Zipper-interacting protein kinase),Dlk(DAP-like kinase). It is a member of the death-associated protein kinase family associated with apoptosis in nonmuscle cells where it phosphorylates myosin regulatory light chain (RLC) to promote membrane blebbing. DAPK3 mRNA and protein are abundant in heart tissue and isolated ventricular neonatal rat cardiac myocytes. It has 2 isoforms produced by alternative splicing,named as ZIPK-L and ZIPK-S. This antibody is specific to ZIPK-Phospho 311Ser.
储存条件
储存条件:储存条件在:-20℃下储存一年, 避免反复冻融.
储存缓冲液:含0.15% ProClin300防腐剂, 100 μg/mL牛血清白蛋白和50%甘油的磷酸盐缓冲液.
图像
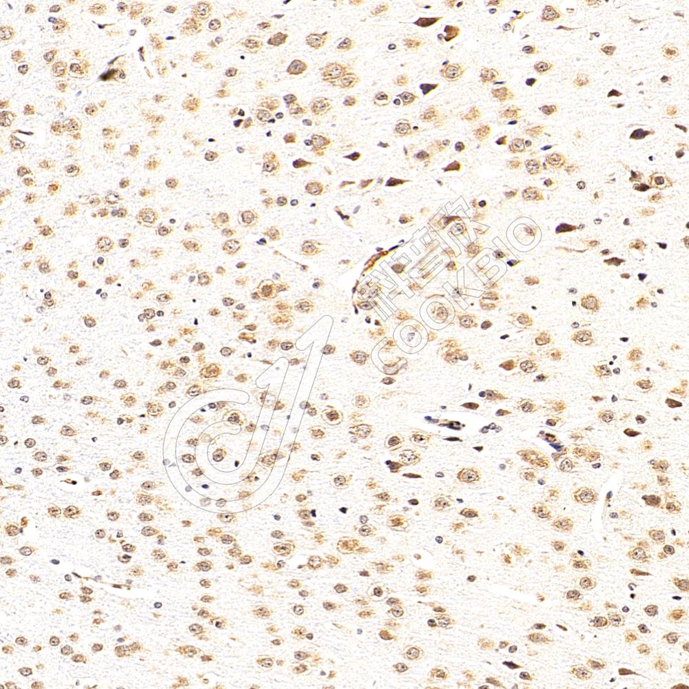
IHC检测ZIP Kinase蛋白(货号 K1335721).
样品: 小鼠脑, 4%多聚甲醛 (货号KSG1101) 固定12-24小时.
抗原修复: 柠檬酸抗原修复液(干粉, pH 6.0) (KSG1201), 98℃, 20分钟.
—抗: 1: 1300稀释, 4℃ 孵育过夜.
二抗: S-vision免疫组化多聚二抗(山羊抗兔),即用型 (货号KB3906), 室温孵育20分钟.
IHC检测ZIP Kinase蛋白(货号 K1335721).
样品: 小鼠脑, 4%多聚甲醛 (货号KSG1101) 固定12-24小时.
抗原修复: 柠檬酸抗原修复液(干粉, pH 6.0) (KSG1201), 98℃, 20分钟.
—抗: 1: 1300稀释, 4℃ 孵育过夜.
二抗: S-vision免疫组化多聚二抗(山羊抗兔),即用型 (货号KB3906), 室温孵育20分钟.

需要技术支持?

如果您有任何问题或如果您在实验过程中遇到问题,或需要更详细的技术指导,请联系我们的技术支持团队
电话 400-6027-270

联系我们

如果您对我们的公司或产品有任何疑问,欢迎随时联系我们