tel 400-6027-270
Main Image
Anti-Phospho-S6 Ribosomal Protein (S235/S236) 兔多克隆抗体
¥1900
加入对比
货号: K1346905-100
预测分子量: 29 kDa
观测分子量: 32 kDa
亚细胞定位: 细胞核, 细胞质
别名: 40S ribosomal protein S6,Cell and organelle markers,Phosphoprotein NP33,Phospho-RPS6 (Ser235/236),Phospho-S6 Ribosomal Protein (Ser235/236),ribosomal protein S6,Ribosome Marker,RPS6,S6 Ribosomal Protein,p-S6RP,p-RPS6
应用 | 种属
WB H,M,R
IHC/IF H,M,R
规格:
产品信息
蛋白质全称 小核糖体亚基蛋白eS6
别名 40S ribosomal protein S6,Cell and organelle markers,Phosphoprotein NP33,Phospho-RPS6 (Ser235/236),Phospho-S6 Ribosomal Protein (Ser235/236),ribosomal protein S6,Ribosome Marker,RPS6,S6 Ribosomal Protein,p-S6RP,p-RPS6
Uniprot ID P62753
免疫原 KLH偶联的人RPS6 (S235/S236)合成磷酸肽
抗体亚型 IgG
纯化方式 亲和纯化
亚细胞定位 细胞核, 细胞质
预测分子量./观测分子量. 29 kDa / 32 kDa
应用
WB 免疫印迹
物种:人,小鼠,大鼠
稀释比:1:2000-1:3000
阳性样品:—
IHC/IF 免疫组织化学/免疫荧光
物种:人,小鼠,大鼠
稀释比:1:700-1:1400
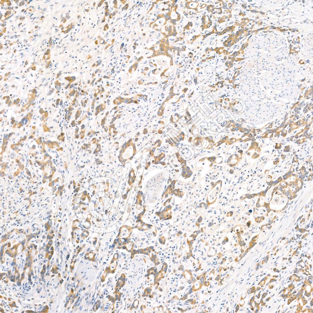
阳性样品:子宫内膜癌, 脾
背景
Hydrolyzes extracellular nucleotides into membrane permeable nucleosides.
储存条件
储存条件:储存条件在:-20℃下储存一年, 避免反复冻融.
储存缓冲液:含0.15% ProClin300防腐剂, 100 μg/mL牛血清白蛋白和50%甘油的磷酸盐缓冲液.
图像
IF检测S6 Ribosomal Protein (S235/S236)蛋白(货号 K1346905)(红色).
样品: 人子宫内膜癌, 4%多聚甲醛 (货号KSG1101) 固定12-24小时.
抗原修复: Tris-EDTA抗原修复液(pH 9.0) (KSG1203), 98℃, 20分钟.
封闭: 3% BSA(货号KSGC305010)的PBS溶液, 室温孵育30分钟.
—抗: 1: 1100稀释, 4℃ 孵育过夜.
二抗: Cy3标记山羊抗兔IgG (H+L) (货号KB63909), 1: 300稀释, 室温孵育1小时.
IF检测S6 Ribosomal Protein (S235/S236)蛋白(货号 K1346905)(红色).
样品: 小鼠脾, 4%多聚甲醛 (货号KSG1101) 固定12-24小时.
抗原修复: Tris-EDTA抗原修复液(pH 9.0) (KSG1203), 98℃, 20分钟.
封闭: 3% BSA(货号KSGC305010)的PBS溶液, 室温孵育30分钟.
—抗: 1: 1100稀释, 4℃ 孵育过夜.
二抗: Cy3标记山羊抗兔IgG (H+L) (货号KB63909), 1: 300稀释, 室温孵育1小时.
IF检测S6 Ribosomal Protein (S235/S236)蛋白(货号 K1346905)(红色).
样品: 大鼠脾, 4%多聚甲醛 (货号KSG1101) 固定12-24小时.
抗原修复: Tris-EDTA抗原修复液(pH 9.0) (KSG1203), 98℃, 20分钟.
封闭: 3% BSA(货号KSGC305010)的PBS溶液, 室温孵育30分钟.
—抗: 1: 1100稀释, 4℃ 孵育过夜.
二抗: Cy3标记山羊抗兔IgG (H+L) (货号KB63909), 1: 300稀释, 室温孵育1小时.

需要技术支持?

如果您有任何问题或如果您在实验过程中遇到问题,或需要更详细的技术指导,请联系我们的技术支持团队
电话 400-6027-270

联系我们

如果您对我们的公司或产品有任何疑问,欢迎随时联系我们