tel 400-6027-270
Main Image
Anti-RPL18A 兔多克隆抗体
¥1900
加入对比
货号: K1335601-100
预测分子量: 21 kDa
观测分子量: 21 kDa
亚细胞定位: 细胞质
别名: Rpl18a,ribosomal protein L18a,L18A
应用 | 种属
WB H,M,R
IHC/IF H
规格:
产品信息
蛋白质全称 60S核糖体蛋白L18a
别名 Rpl18a,ribosomal protein L18a,L18A
Uniprot ID P62717
免疫原 小鼠RPL18A重组蛋白
抗体亚型 IgG
纯化方式 亲和纯化
亚细胞定位 细胞质
预测分子量./观测分子量. 21 kDa / 21 kDa
应用
WB 免疫印迹
物种:人,小鼠,大鼠
稀释比:1:1000-1:2000
阳性样品:—
IHC/IF 免疫组织化学/免疫荧光
物种:人
稀释比:1:200-1:400
阳性样品:胰腺
背景
Ribosomes, the organelles that catalyze protein synthesis, consist of a small 40S subunit and a large 60S subunit. Together these subunits are composed of 4 RNA species and approximately 80 structurally distinct proteins. This gene encodes a member of the L18AE family of ribosomal proteins that is a component of the 60S subunit. The encoded protein may play a role in viral replication by interacting with the hepatitis C virus internal ribosome entry site (IRES).
储存条件
储存条件:储存条件在:-20℃下储存一年, 避免反复冻融.
储存缓冲液:含0.15% ProClin300防腐剂, 100 μg/mL牛血清白蛋白和50%甘油的磷酸盐缓冲液.
图像
IHC检测RPL18A蛋白(货号 K1335601).
样品: 人胰腺, 4%多聚甲醛 (货号KSG1101) 固定12-24小时.
抗原修复: 柠檬酸抗原修复液(干粉, pH 6.0) (KSG1201), 98℃, 20分钟.
—抗: 1: 300稀释, 4℃ 孵育过夜.
二抗: S-vision免疫组化多聚二抗(山羊抗兔),即用型 (货号KB3906), 室温孵育20分钟.
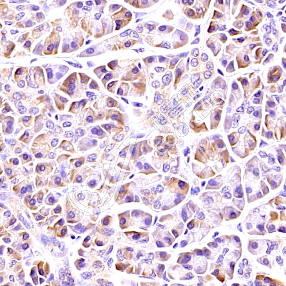
IHC检测RPL18A蛋白(货号 K1335601).
样品: 人胰腺, 4%多聚甲醛 (货号KSG1101) 固定12-24小时.
抗原修复: 柠檬酸抗原修复液(干粉, pH 6.0) (KSG1201), 98℃, 20分钟.
—抗: 1: 300稀释, 4℃ 孵育过夜.
二抗: S-vision免疫组化多聚二抗(山羊抗兔),即用型 (货号KB3906), 室温孵育20分钟.

需要技术支持?

如果您有任何问题或如果您在实验过程中遇到问题,或需要更详细的技术指导,请联系我们的技术支持团队
电话 400-6027-270

联系我们

如果您对我们的公司或产品有任何疑问,欢迎随时联系我们