tel 400-6027-270
Main Image
Anti-RPL26L1 兔多克隆抗体
¥1900
加入对比
货号: K1336084-100
预测分子量: 17 kDa
观测分子量: 18 kDa
亚细胞定位: 分泌型, 细胞质
别名: Large ribosomal subunit protein uL24-like 1,RPL26L1,RPL26P1
应用 | 种属
WB H,M,R
IHC/IF H
ICC/IF M
规格:
产品信息
蛋白质全称 60S核糖体蛋白L26样1
别名 Large ribosomal subunit protein uL24-like 1,RPL26L1,RPL26P1
Uniprot ID Q9UNX3
免疫原 人RPL26L1重组蛋白
抗体亚型 IgG
纯化方式 亲和纯化
亚细胞定位 分泌型, 细胞质
预测分子量./观测分子量. 17 kDa / 18 kDa
应用
WB 免疫印迹
物种:人,小鼠,大鼠
稀释比:1:300-1:600
阳性样品:—
IHC/IF 免疫组织化学/免疫荧光
物种:人
稀释比:1:300-1:600
阳性样品:胰腺
ICC/IF 免疫细胞化学/免疫荧光
物种:小鼠
稀释比:1:100-1:400
阳性样品:—
背景
This gene encodes a protein that shares high sequence similarity with ribosomal protein L26. It is not currently known whether the encoded protein is a functional ribosomal protein or whether it has evolved a function that is independent of the ribosome. Transcript variants utilizing alternative polyA signals exist.
储存条件
储存条件:储存条件在:-20℃下储存一年, 避免反复冻融.
储存缓冲液:含0.15% ProClin300防腐剂, 100 μg/mL牛血清白蛋白和50%甘油的磷酸盐缓冲液.
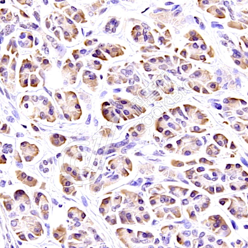
图像
IHC检测RPL26L1蛋白(货号 K1336084).
样品: 小鼠胰腺, 4%多聚甲醛 (货号KSG1101) 固定12-24小时.
抗原修复: 柠檬酸抗原修复液(干粉, pH 6.0) (KSG1201), 98℃, 20分钟.
—抗: 1: 500稀释, 4℃ 孵育过夜.
二抗: S-vision免疫组化多聚二抗(山羊抗兔),即用型 (货号KB3906), 室温孵育20分钟.
IHC检测RPL26L1蛋白(货号 K1336084).
样品: 小鼠胰腺, 4%多聚甲醛 (货号KSG1101) 固定12-24小时.
抗原修复: 柠檬酸抗原修复液(干粉, pH 6.0) (KSG1201), 98℃, 20分钟.
—抗: 1: 500稀释, 4℃ 孵育过夜.
二抗: S-vision免疫组化多聚二抗(山羊抗兔),即用型 (货号KB3906), 室温孵育20分钟.

需要技术支持?

如果您有任何问题或如果您在实验过程中遇到问题,或需要更详细的技术指导,请联系我们的技术支持团队
电话 400-6027-270

联系我们

如果您对我们的公司或产品有任何疑问,欢迎随时联系我们