tel 400-6027-270
Main Image
Recombinant Anti-Phospho-Tau(S202/T205) antibody (兔单克隆抗体)
¥1900
加入对比
货号: K5450180-100
预测分子量: 79 kDa
观测分子量: 50-80 kDa
亚细胞定位: 细胞质, 细胞膜
别名: MAPTL,MTBT1,TAU,MAPT,p-TAU
应用 | 种属
WB H,M,R
IHC/IF H,M,R
规格:
产品信息
蛋白质全称 微管相关蛋白tau
别名 MAPTL,MTBT1,TAU,MAPT,p-TAU
Uniprot ID P10636
免疫原 人Phospho-Tau(S202/T205)重组蛋白
抗体亚型 IgG, κ
克隆号 SB372
纯化方式 亲和纯化
亚细胞定位 细胞质, 细胞膜
预测分子量./观测分子量. 79 kDa / 50-80 kDa
应用
WB 免疫印迹
物种:人,小鼠,大鼠
稀释比:1:1000-1:2000
阳性样品:—
IHC/IF 免疫组织化学/免疫荧光
物种:人,小鼠,大鼠
稀释比:1:150-1:500
阳性样品:脑, 结肠, 阿尔茨海默氏症脑模型
背景
Promotes microtubule assembly and stability, and might be involved in the establishment and maintenance of neuronal polarity.The C-terminus binds axonal microtubules while the N-terminus binds neural plasma membrane components, suggesting that tau functions as a linker protein between both.Axonal polarity is predetermined by TAU/MAPT localization (in the neuronal cell) in the domain of the cell body defined by the centrosome. The short isoforms allow plasticity of the cytoskeleton whereas the longer isoforms may preferentially play a role in its stabilization.
储存条件
储存条件:储存条件在:-20℃下储存一年, 避免反复冻融.
储存缓冲液:含0.15% ProClin300防腐剂, 100 μg/mL牛血清白蛋白和50%甘油的磷酸盐缓冲液.
图像
IHC检测Phospho-Tau(S202/T205)蛋白(货号 K5450180).
样品: 小鼠阿尔茨海默氏症脑模型, 4%多聚甲醛 (货号KSG1101) 固定12-24小时.
抗原修复: 柠檬酸抗原修复液(干粉, pH 6.0) (KSG1201), 高压锅均匀喷气计时2分钟.
—抗: 1: 300稀释, 4℃ 孵育过夜.
二抗: S-vision免疫组化多聚二抗(山羊抗兔),即用型 (货号KB3906), 室温孵育20分钟.
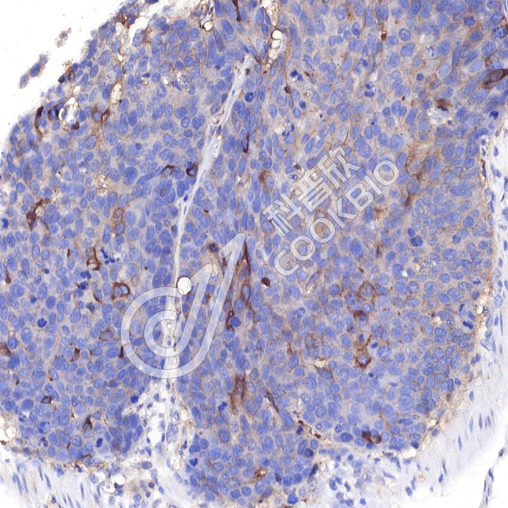
IHC检测Phospho-Tau(S202/T205)蛋白(货号 K5450180).
样品: 大鼠脑, 4%多聚甲醛 (货号KSG1101) 固定12-24小时.
抗原修复: 柠檬酸抗原修复液(干粉, pH 6.0) (KSG1201), 高压锅均匀喷气计时2分钟.
—抗: 1: 300稀释, 4℃ 孵育过夜.
二抗: S-vision免疫组化多聚二抗(山羊抗兔),即用型 (货号KB3906), 室温孵育20分钟.
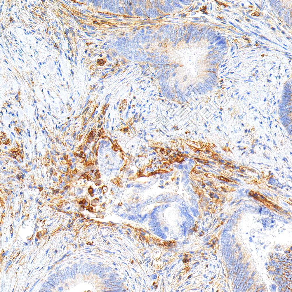
IF检测Phospho-Tau(S202/T205)蛋白(货号 K5450180)(红色).
样品: 人结肠, 4%多聚甲醛 (货号KSG1101) 固定12-24小时.
抗原修复: 柠檬酸抗原修复液(干粉, pH 6.0) (KSG1201), 高压锅均匀喷气计时2分钟.
封闭: 3% BSA(货号KSGC305010)的PBS溶液, 室温孵育30分钟.
—抗: 1: 300稀释, 4℃ 孵育过夜.
二抗: Cy3标记山羊抗兔IgG (H+L) (货号KB63909), 1: 300稀释, 室温孵育1小时.

需要技术支持?

如果您有任何问题或如果您在实验过程中遇到问题,或需要更详细的技术指导,请联系我们的技术支持团队
电话 400-6027-270

联系我们

如果您对我们的公司或产品有任何疑问,欢迎随时联系我们