tel 400-6027-270
Main Image
Anti-Bcl-2 兔多克隆抗体
¥1900
加入对比
货号: K1344490-100
预测分子量: 26 kDa
观测分子量: 26 kDa
亚细胞定位: 线粒体外膜, 核膜, 内质网膜, 细胞质
别名: BCL2,Bcl-2,PPP1R50,B-cell CLL/lymphoma 2,apoptosis regulator
应用 | 种属
WB M
IHC/IF M
规格:
产品信息
蛋白质全称 细胞凋亡调节因子Bcl-2
别名 BCL2,Bcl-2,PPP1R50,B-cell CLL/lymphoma 2,apoptosis regulator
Uniprot ID P10417
免疫原 KLH偶联的小鼠Bcl-2合成肽
抗体亚型 IgG
纯化方式 亲和纯化
亚细胞定位 线粒体外膜, 核膜, 内质网膜, 细胞质
预测分子量./观测分子量. 26 kDa / 26 kDa
应用
WB 免疫印迹
物种:小鼠
稀释比:1:500-1:1000
阳性样品:NIH/3T3细胞
IHC/IF 免疫组织化学/免疫荧光
物种:小鼠
稀释比:1:500-1:1000
阳性样品:B16细胞肺转移癌模型(顺铂), 脾
背景
Suppresses apoptosis in a variety of cell systems including factor-dependent lymphohematopoietic and neural cells . Regulates cell death by controlling the mitochondrial membrane permeability . Appears to function in a feedback loop system with caspases . Inhibits caspase activity either by preventing the release of cytochrome c from the mitochondria and/or by binding to the apoptosis-activating factor (APAF-1) . Also acts as an inhibitor of autophagy: interacts with BECN1 and AMBRA1 during non-starvation conditions and inhibits their autophagy function . May attenuate inflammation by impairing NLRP1-inflammasome activation, hence CASP1 activation and IL1B release .
储存条件
储存条件:储存条件在:-20℃下储存一年, 避免反复冻融.
储存缓冲液:含0.15% ProClin300防腐剂, 100 μg/mL牛血清白蛋白和50%甘油的磷酸盐缓冲液.
图像
WB检测Bcl-2蛋白(货号 K1344490).
样品: 经RIPA裂解液(货号KSG2002)处理的蛋白质.
封闭: 3%脱脂牛奶(货号KSGC310001)溶于TBST溶液, 室温孵育1小时.
—抗: 1: 1000稀释, 4℃ 孵育过夜.
二抗: HRP标记山羊抗兔IgG (H+L) (货号KB69909), 1: 5000稀释, 室温孵育1小时.
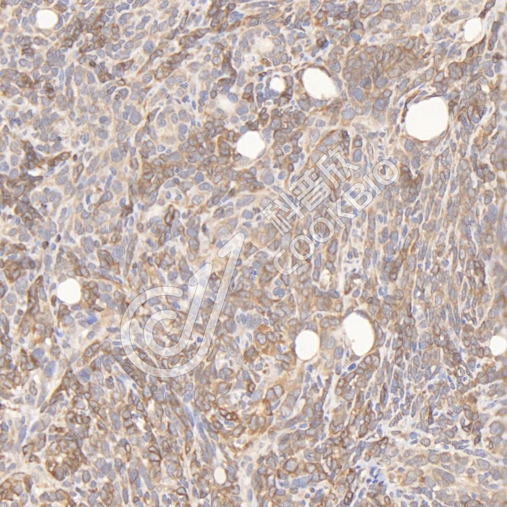
IHC检测Bcl-2蛋白(货号 K1344490).
样品: 小鼠B16细胞肺转移癌模型(顺铂), 4%多聚甲醛 (货号KSG1101) 固定12-24小时.
抗原修复: 柠檬酸抗原修复液(干粉, pH 6.0) (KSG1201), 98℃, 20分钟.
—抗: 1: 800稀释, 4℃ 孵育过夜.
二抗: S-vision免疫组化多聚二抗(山羊抗兔),即用型 (货号KB3906), 室温孵育20分钟.
IHC检测Bcl-2蛋白(货号 K1344490).
样品: 小鼠脾, 4%多聚甲醛 (货号KSG1101) 固定12-24小时.
抗原修复: 柠檬酸抗原修复液(干粉, pH 6.0) (KSG1201), 98℃, 20分钟.
—抗: 1: 800稀释, 4℃ 孵育过夜.
二抗: S-vision免疫组化多聚二抗(山羊抗兔),即用型 (货号KB3906), 室温孵育20分钟.

需要技术支持?

如果您有任何问题或如果您在实验过程中遇到问题,或需要更详细的技术指导,请联系我们的技术支持团队
电话 400-6027-270

联系我们

如果您对我们的公司或产品有任何疑问,欢迎随时联系我们