tel 400-6027-270
Main Image
Anti-ATR 兔多克隆抗体
¥1900
加入对比
货号: K1346629-100
亚细胞定位: 细胞核, 染色体
别名: ATR,FRAP related protein 1,FRP1,MEC1,SCKL,SCKL1
应用 | 种属
IHC/IF M
规格:
产品信息
蛋白质全称 丝氨酸/苏氨酸蛋白激酶ATR
别名 ATR,FRAP related protein 1,FRP1,MEC1,SCKL,SCKL1
Uniprot ID Q9JKK8
免疫原 KLH偶联的小鼠ATR合成肽
抗体亚型 IgG
纯化方式 亲和纯化
亚细胞定位 细胞核, 染色体
应用
IHC/IF 免疫组织化学/免疫荧光
物种:小鼠
稀释比:1:100-1:400
阳性样品:肝, 脾
背景
Serine/threonine protein kinase which activates checkpoint signaling upon genotoxic stresses such as ionizing radiation (IR), ultraviolet light (UV), or DNA replication stalling, thereby acting as a DNA damage sensor. Recognizes the substrate consensus sequence [ST]-Q. Phosphorylates BRCA1, CHEK1, MCM2, RAD17, RPA2, SMC1 and p53/TP53, which collectively inhibit DNA replication and mitosis and promote DNA repair, recombination and apoptosis. Phosphorylates 'Ser-139' of histone variant H2AX at sites of DNA damage, thereby regulating DNA damage response mechanism. Required for FANCD2 ubiquitination. Critical for maintenance of fragile site stability and efficient regulation of centrosome duplication.
储存条件
储存条件:储存条件在:-20℃下储存一年, 避免反复冻融.
储存缓冲液:含0.15% ProClin300防腐剂, 100 μg/mL牛血清白蛋白和50%甘油的磷酸盐缓冲液.
图像
IHC检测ATR蛋白(货号 K1346629).
样品: 小鼠肝, 4%多聚甲醛 (货号KSG1101) 固定12-24小时.
抗原修复: Tris-EDTA抗原修复液(pH 9.0) (KSG1203), 98℃, 20分钟.
—抗: 1: 300稀释, 4℃ 孵育过夜.
二抗: S-vision免疫组化多聚二抗(山羊抗兔),即用型 (货号KB3906), 室温孵育20分钟.
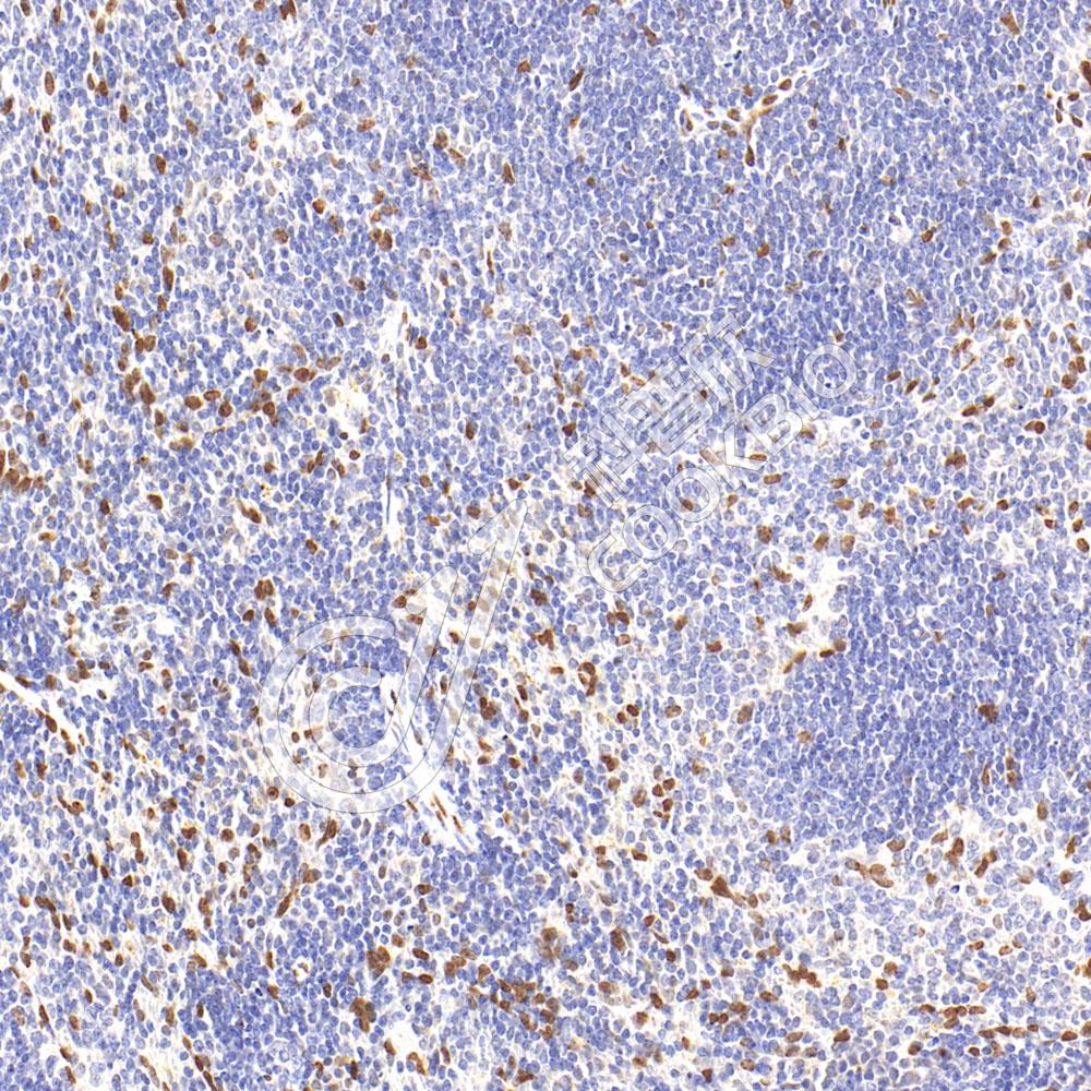
IHC检测ATR蛋白(货号 K1346629).
样品: 小鼠脾, 4%多聚甲醛 (货号KSG1101) 固定12-24小时.
抗原修复: Tris-EDTA抗原修复液(pH 9.0) (KSG1203), 98℃, 20分钟.
—抗: 1: 300稀释, 4℃ 孵育过夜.
二抗: S-vision免疫组化多聚二抗(山羊抗兔),即用型 (货号KB3906), 室温孵育20分钟.

需要技术支持?

如果您有任何问题或如果您在实验过程中遇到问题,或需要更详细的技术指导,请联系我们的技术支持团队
电话 400-6027-270

联系我们

如果您对我们的公司或产品有任何疑问,欢迎随时联系我们