tel 400-6027-270
Main Image
Anti-PI 3 Kinase catalytic subunit gamma/PI3K-gamma 兔多克隆抗体
¥1900
加入对比
货号: K1340080-100
亚细胞定位: 细胞膜, 细胞质
别名: p120 PI3K,PI3 kinase subunit gamma,PI3CG,PI3K,PI3K gamma,PI3K p110(gamma),PI3Kgamma,PIK3,PIK3CG,PtdIns 3 kinase subunit gamma,pi3k,PI3K
应用 | 种属
IHC/IF M,R
规格:
产品信息
蛋白质全称 磷脂酰肌醇4,5-二磷酸3-激酶催化亚基γ
别名 p120 PI3K,PI3 kinase subunit gamma,PI3CG,PI3K,PI3K gamma,PI3K p110(gamma),PI3Kgamma,PIK3,PIK3CG,PtdIns 3 kinase subunit gamma,pi3k,PI3K
Uniprot ID Q9JHG7
免疫原 小鼠PI 3 Kinase catalytic subunit gamma/PI3K-gamma重组蛋白
抗体亚型 IgG
纯化方式 亲和纯化
亚细胞定位 细胞膜, 细胞质
应用
IHC/IF 免疫组织化学/免疫荧光
物种:小鼠,大鼠
稀释比:1:1000-1:2000
阳性样品:膀胱
背景
This gene encodes a protein that belongs to the pi3/pi4-kinase family of proteins. The gene product is an enzyme that phosphorylates phosphoinositides on the 3-hydroxyl group of the inositol ring. It is an important modulator of extracellular signals, including those elicited by E-cadherin-mediated cell-cell adhesion, which plays an important role in maintenance of the structural and functional integrity of epithelia.
储存条件
储存条件:储存条件在:-20℃下储存一年, 避免反复冻融.
储存缓冲液:含0.15% ProClin300防腐剂, 100 μg/mL牛血清白蛋白和50%甘油的磷酸盐缓冲液.
图像
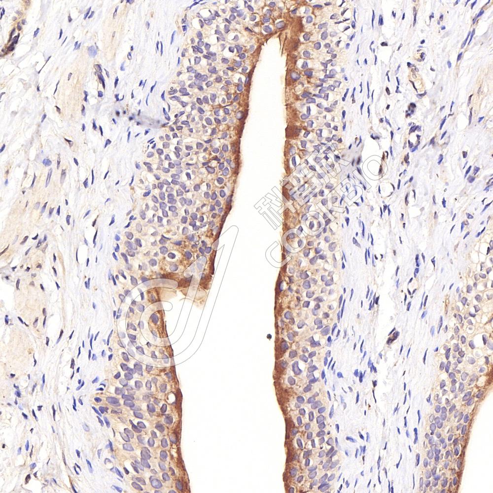
IHC检测PI 3 Kinase catalytic subunit gamma/PI3K-gamma蛋白(货号 K1340080).
样品: 小鼠膀胱, 4%多聚甲醛 (货号KSG1101) 固定12-24小时.
抗原修复: 柠檬酸抗原修复液(干粉, pH 6.0) (KSG1201), 98℃, 20分钟.
—抗: 1: 1500稀释, 4℃ 孵育过夜.
二抗: S-vision免疫组化多聚二抗(山羊抗兔),即用型 (货号KB3906), 室温孵育20分钟.
IHC检测PI 3 Kinase catalytic subunit gamma/PI3K-gamma蛋白(货号 K1340080).
样品: 大鼠膀胱, 4%多聚甲醛 (货号KSG1101) 固定12-24小时.
抗原修复: 柠檬酸抗原修复液(干粉, pH 6.0) (KSG1201), 98℃, 20分钟.
—抗: 1: 1500稀释, 4℃ 孵育过夜.
二抗: S-vision免疫组化多聚二抗(山羊抗兔),即用型 (货号KB3906), 室温孵育20分钟.

需要技术支持?

如果您有任何问题或如果您在实验过程中遇到问题,或需要更详细的技术指导,请联系我们的技术支持团队
电话 400-6027-270

联系我们

如果您对我们的公司或产品有任何疑问,欢迎随时联系我们