tel 400-6027-270
Main Image
Anti-Shoc2/Sur8 兔多克隆抗体
¥1900
加入对比
货号: K1338337-100
亚细胞定位: 细胞质, 细胞核
别名: Protein soc-2 homolog,Protein sur-8 homolog,Shoc2,Ras-binding protein Sur-8,KIAA0862
应用 | 种属
IHC/IF H
规格:
产品信息
蛋白质全称 HAUS复合体样亚基5
别名 Protein soc-2 homolog,Protein sur-8 homolog,Shoc2,Ras-binding protein Sur-8,KIAA0862
Uniprot ID O88520
免疫原 小鼠Shoc2 / Sur8重组蛋白
抗体亚型 IgG
纯化方式 亲和纯化
亚细胞定位 细胞质, 细胞核
应用
IHC/IF 免疫组织化学/免疫荧光
物种:人
稀释比:1:2000-1:4000
阳性样品:结肠, 胃
背景
Regulatory subunit of protein phosphatase 1 (PP1c) that acts as a M-Ras/MRAS effector and participates in MAPK pathway activation. Upon M-Ras/MRAS activation, targets PP1c to specifically dephosphorylate the 'Ser-259' inhibitory site of RAF1 kinase and stimulate RAF1 activity at specialized signaling complexes.
储存条件
储存条件:储存条件在:-20℃下储存一年, 避免反复冻融.
储存缓冲液:含0.15% ProClin300防腐剂, 100 μg/mL牛血清白蛋白和50%甘油的磷酸盐缓冲液.
图像
IHC检测Shoc2/Sur8蛋白(货号 K1338337).
样品: 人结肠, 4%多聚甲醛 (货号KSG1101) 固定12-24小时.
抗原修复: 柠檬酸抗原修复液(干粉, pH 6.0) (KSG1201), 98℃, 20分钟.
—抗: 1: 3000稀释, 4℃ 孵育过夜.
二抗: S-vision免疫组化多聚二抗(山羊抗兔),即用型 (货号KB3906), 室温孵育20分钟.
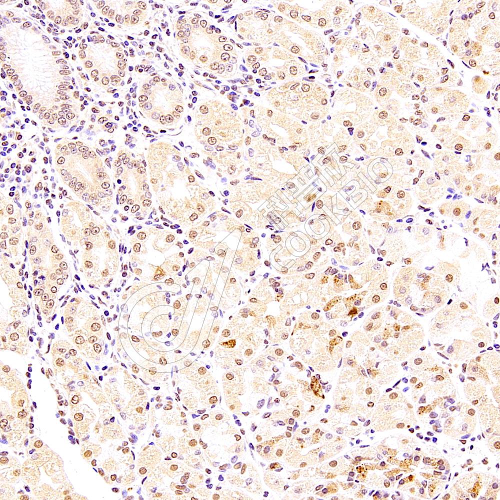
IHC检测Shoc2/Sur8蛋白(货号 K1338337).
样品: 人胃, 4%多聚甲醛 (货号KSG1101) 固定12-24小时.
抗原修复: 柠檬酸抗原修复液(干粉, pH 6.0) (KSG1201), 98℃, 20分钟.
—抗: 1: 3000稀释, 4℃ 孵育过夜.
二抗: S-vision免疫组化多聚二抗(山羊抗兔),即用型 (货号KB3906), 室温孵育20分钟.

需要技术支持?

如果您有任何问题或如果您在实验过程中遇到问题,或需要更详细的技术指导,请联系我们的技术支持团队
电话 400-6027-270

联系我们

如果您对我们的公司或产品有任何疑问,欢迎随时联系我们