tel 400-6027-270
Main Image
Anti-c-kit 兔多克隆抗体
¥1900
加入对比
货号: K1341397-100
预测分子量: 109 kDa
观测分子量: 120-140 kDa
亚细胞定位: 细胞膜, 细胞质
别名: C Kit,CD117,c-Kit,KIT,PBT,Proto-oncogene c-Kit,SCFR,Tyrosine protein kinase Kit,Sl,C-Kit,SCFR,KIT proto-oncogene receptor tyrosine kinase
应用 | 种属
WB M,R
IHC/IF M,R
规格:
产品信息
蛋白质全称 肥大/干细胞生长因子受体Kit
别名 C Kit,CD117,c-Kit,KIT,PBT,Proto-oncogene c-Kit,SCFR,Tyrosine protein kinase Kit,Sl,C-Kit,SCFR,KIT proto-oncogene receptor tyrosine kinase
Uniprot ID P05532
免疫原 KLH偶联的小鼠c-Kit合成肽
抗体亚型 IgG
纯化方式 亲和纯化
亚细胞定位 细胞膜, 细胞质
预测分子量./观测分子量. 109 kDa / 120-140 kDa
应用
WB 免疫印迹
物种:小鼠,大鼠
稀释比:1:400-1:800
阳性样品:—
IHC/IF 免疫组织化学/免疫荧光
物种:小鼠,大鼠
稀释比:1:500-1:1000
阳性样品:小脑
背景
KIT, also named as SCFR, c-Kit and CD117, is a transmembrane tyrosine kinase encoded by the cKit proto oncogene. It is a type 3 transmembrane receptor for MGF (mast cell growth factor, also known as stem cell factor). KIT acts to regulate a variety of biological responses including cell proliferation, apoptosis, chemotaxis and adhesion. Ligand(SCF) binding to the extracellular domain leads to autophosphorylation on several tyrosine residues within the cytoplasmic domain, and activation. Phosphorylation at tyrosine 721 of KIT allows binding and activation of PI3 kinase.
储存条件
储存条件:储存条件在:-20℃下储存一年, 避免反复冻融.
储存缓冲液:含0.15% ProClin300防腐剂, 100 μg/mL牛血清白蛋白和50%甘油的磷酸盐缓冲液.
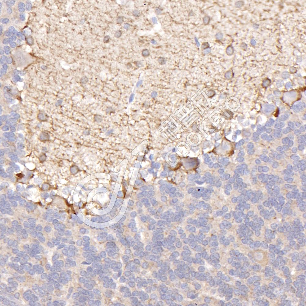
图像
IHC检测c-kit蛋白(货号 K1341397).
样品: 小鼠小脑, 4%多聚甲醛 (货号KSG1101) 固定12-24小时.
抗原修复: 柠檬酸抗原修复液(干粉, pH 6.0) (KSG1201), 98℃, 20分钟.
—抗: 1: 800稀释, 4℃ 孵育过夜.
二抗: S-vision免疫组化多聚二抗(山羊抗兔),即用型 (货号KB3906), 室温孵育20分钟.
c-Kit_d500_WB
IHC检测c-kit蛋白(货号 K1341397).
样品: 大鼠小脑, 4%多聚甲醛 (货号KSG1101) 固定12-24小时.
抗原修复: 柠檬酸抗原修复液(干粉, pH 6.0) (KSG1201), 98℃, 20分钟.
—抗: 1: 800稀释, 4℃ 孵育过夜.
二抗: S-vision免疫组化多聚二抗(山羊抗兔),即用型 (货号KB3906), 室温孵育20分钟.

需要技术支持?

如果您有任何问题或如果您在实验过程中遇到问题,或需要更详细的技术指导,请联系我们的技术支持团队
电话 400-6027-270

联系我们

如果您对我们的公司或产品有任何疑问,欢迎随时联系我们