tel 400-6027-270
Main Image
Anti-RISC 兔多克隆抗体
¥1900
加入对比
货号: K1340053-100
亚细胞定位: 分泌型
别名: Serine carboxypeptidase 1,Scpep1,Risc,HSCP1,MSTP034,SCP1
应用 | 种属
IHC/IF M,R
规格:
产品信息
蛋白质全称 视黄酸诱导丝氨酸羧肽酶
别名 Serine carboxypeptidase 1,Scpep1,Risc,HSCP1,MSTP034,SCP1
Uniprot ID Q920A5
免疫原 小鼠RISC重组蛋白
抗体亚型 IgG
纯化方式 亲和纯化
亚细胞定位 分泌型
应用
IHC/IF 免疫组织化学/免疫荧光
物种:小鼠,大鼠
稀释比:1:2000-1:4000
阳性样品:肾
背景
Vascular smooth muscle activation is a salient feature of several pathological conditions including atherosclerosis, hypertension, vein graft failure, restenosis, and transplant arteriopathy. Several new genes whose proteins could lead to such biological effects have been identified. One such protein is RISC. Tissue expression pattern of Retinoid-inducible serine carboxypeptidase (RISC) in human revealed that it was highly expressed in kidney and heart.
储存条件
储存条件:储存条件在:-20℃下储存一年, 避免反复冻融.
储存缓冲液:含0.15% ProClin300防腐剂, 100 μg/mL牛血清白蛋白和50%甘油的磷酸盐缓冲液.
图像
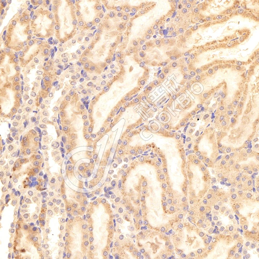
IHC检测RISC蛋白(货号 K1340053).
样品: 小鼠肾, 4%多聚甲醛 (货号KSG1101) 固定12-24小时.
抗原修复: 柠檬酸抗原修复液(干粉, pH 6.0) (KSG1201), 98℃, 20分钟.
—抗: 1: 3000稀释, 4℃ 孵育过夜.
二抗: S-vision免疫组化多聚二抗(山羊抗兔),即用型 (货号KB3906), 室温孵育20分钟.
IHC检测RISC蛋白(货号 K1340053).
样品: 大鼠肾, 4%多聚甲醛 (货号KSG1101) 固定12-24小时.
抗原修复: 柠檬酸抗原修复液(干粉, pH 6.0) (KSG1201), 98℃, 20分钟.
—抗: 1: 3000稀释, 4℃ 孵育过夜.
二抗: S-vision免疫组化多聚二抗(山羊抗兔),即用型 (货号KB3906), 室温孵育20分钟.

需要技术支持?

如果您有任何问题或如果您在实验过程中遇到问题,或需要更详细的技术指导,请联系我们的技术支持团队
电话 400-6027-270

联系我们

如果您对我们的公司或产品有任何疑问,欢迎随时联系我们