tel 400-6027-270
Main Image
Anti-H2ab1 兔多克隆抗体
¥1900
加入对比
货号: K1339438-100
预测分子量: 13 kDa
观测分子量: 13 kDa
亚细胞定位: 细胞核
别名: H2A Barr body-deficient,H2A.Bbd,Histone H2A-like 2,H2A.L.2,H2AL2,Histone H2Alike 2,Testis-specific expressed gene 1 protein,TSEG-1,H2ab1,H2afb1,H2al2a
应用 | 种属
WB M
IHC/IF M
规格:
产品信息
蛋白质全称 组蛋白H2A-Bbd型1
别名 H2A Barr body-deficient,H2A.Bbd,Histone H2A-like 2,H2A.L.2,H2AL2,Histone H2Alike 2,Testis-specific expressed gene 1 protein,TSEG-1,H2ab1,H2afb1,H2al2a
Uniprot ID Q9CQ70
免疫原 小鼠H2ab1重组蛋白
抗体亚型 IgG
纯化方式 亲和纯化
亚细胞定位 细胞核
预测分子量./观测分子量. 13 kDa / 13 kDa
应用
WB 免疫印迹
物种:小鼠
稀释比:1:1000-1:2000
阳性样品:—
IHC/IF 免疫组织化学/免疫荧光
物种:小鼠
稀释比:1:4000-1:8800
阳性样品:睾丸
背景
Atypical histone H2A which replaces conventional H2A during late spermatogenesis and is involved in the replacement of histones to protamine in male germ cells . Core component of nucleosome: nucleosomes wrap and compact DNA into chromatin, limiting DNA accessibility to the cellular machineries which require DNA as a template . Nucleosomes containing H2AB1 only wrap 130 bp of DNA, compared to 147 bp for classical nucleosomes .
储存条件
储存条件:储存条件在:-20℃下储存一年, 避免反复冻融.
储存缓冲液:含0.15% ProClin300防腐剂, 100 μg/mL牛血清白蛋白和50%甘油的磷酸盐缓冲液.
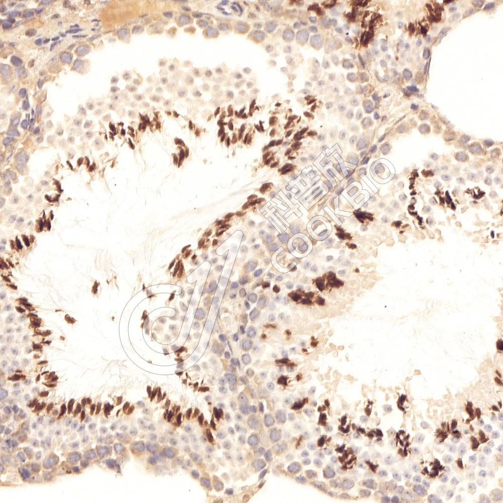
图像
IHC检测H2ab1蛋白(货号 K1339438).
样品: 小鼠睾丸, 4%多聚甲醛 (货号KSG1101) 固定12-24小时.
抗原修复: Tris-EDTA抗原修复液(pH 9.0) (KSG1203), 98℃, 20分钟.
—抗: 1: 6400稀释, 4℃ 孵育过夜.
二抗: S-vision免疫组化多聚二抗(山羊抗兔),即用型 (货号KB3906), 室温孵育20分钟.
IHC检测H2ab1蛋白(货号 K1339438).
样品: 小鼠睾丸, 4%多聚甲醛 (货号KSG1101) 固定12-24小时.
抗原修复: Tris-EDTA抗原修复液(pH 9.0) (KSG1203), 98℃, 20分钟.
—抗: 1: 6400稀释, 4℃ 孵育过夜.
二抗: S-vision免疫组化多聚二抗(山羊抗兔),即用型 (货号KB3906), 室温孵育20分钟.

需要技术支持?

如果您有任何问题或如果您在实验过程中遇到问题,或需要更详细的技术指导,请联系我们的技术支持团队
电话 400-6027-270

联系我们

如果您对我们的公司或产品有任何疑问,欢迎随时联系我们