tel 400-6027-270
Main Image
Anti-HDAC1 兔多克隆抗体
¥1900
加入对比
货号: K1336156-100
预测分子量: 55 kDa
观测分子量: 62 kDa
亚细胞定位: 细胞核
别名: HD1,HDAC1,RPD3L1,RPD3,Reduced potassium dependency yeast homolog like 1,GON 10,GON-10,histone deacetylase 1
应用 | 种属
WB H,M,R
IHC/IF H,M,R
规格:
产品信息
蛋白质全称 组蛋白去乙酰化酶1
别名 HD1,HDAC1,RPD3L1,RPD3,Reduced potassium dependency yeast homolog like 1,GON 10,GON-10,histone deacetylase 1
Uniprot ID Q13547
免疫原 KLH偶联的人HDAC1合成肽
抗体亚型 IgG
纯化方式 亲和纯化
亚细胞定位 细胞核
预测分子量./观测分子量. 55 kDa / 62 kDa
应用
WB 免疫印迹
物种:人,小鼠,大鼠
稀释比:1:300-1:600
阳性样品:—
IHC/IF 免疫组织化学/免疫荧光
物种:人,小鼠,大鼠
稀释比:1:300-1:600
阳性样品:脑, 结肠, 胃
背景

Histone acetylation and deacetylation, catalyzed by multisubunit complexes, play a key role in the regulation of eukaryotic gene expression. The protein encoded by this gene belongs to the histone deacetylase/acuc/apha family and is a component of the histone deacetylase complex. It also interacts with retinoblastoma tumor-suppressor protein and this complex is a key element in the control of cell proliferation and differentiation.                                        

储存条件
储存条件:储存条件在:-20℃下储存一年, 避免反复冻融.
储存缓冲液:含0.15% ProClin300防腐剂, 100 μg/mL牛血清白蛋白和50%甘油的磷酸盐缓冲液.
图像
K1336156_HDAC1_d1000_WB.jpg
HDAC1_d300_WB
IHC检测HDAC1蛋白(货号 K1336156).
样品: 小鼠胃, 4%多聚甲醛 (货号KSG1101) 固定12-24小时.
抗原修复: 柠檬酸抗原修复液(干粉, pH 6.0) (KSG1201), 98℃, 20分钟.
—抗: 1: 500稀释, 4℃ 孵育过夜.
二抗: S-vision免疫组化多聚二抗(山羊抗兔),即用型 (货号KB3906), 室温孵育20分钟.
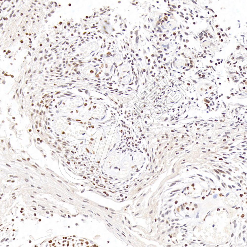
IHC检测HDAC1蛋白(货号 K1336156).
样品: 大鼠脑, 4%多聚甲醛 (货号KSG1101) 固定12-24小时.
抗原修复: 柠檬酸抗原修复液(干粉, pH 6.0) (KSG1201), 98℃, 20分钟.
—抗: 1: 500稀释, 4℃ 孵育过夜.
二抗: S-vision免疫组化多聚二抗(山羊抗兔),即用型 (货号KB3906), 室温孵育20分钟.
IHC检测HDAC1蛋白(货号 K1336156).
样品: 人结肠, 4%多聚甲醛 (货号KSG1101) 固定12-24小时.
抗原修复: 柠檬酸抗原修复液(干粉, pH 6.0) (KSG1201), 98℃, 20分钟.
—抗: 1: 500稀释, 4℃ 孵育过夜.
二抗: S-vision免疫组化多聚二抗(山羊抗兔),即用型 (货号KB3906), 室温孵育20分钟.

需要技术支持?

如果您有任何问题或如果您在实验过程中遇到问题,或需要更详细的技术指导,请联系我们的技术支持团队
电话 400-6027-270

联系我们

如果您对我们的公司或产品有任何疑问,欢迎随时联系我们