tel 400-6027-270
Main Image
Anti-Histone H3 兔多克隆抗体
¥1900
加入对比
货号: K133306-100
预测分子量: 15 kDa
观测分子量: 17 kDa
亚细胞定位: 细胞核, 染色体
别名: H3/n,H3/o,H3F2,H3FM,HIST2H3A,HIST2H3C,HIST2H3D,histone cluster 2,H3a,Histone H3,Histone H3.2,Histone H3/m,Histone H3/o,HIST1H3A
应用 | 种属
WB H,M,R
IHC/IF H,M,R
规格:
产品信息
蛋白质全称 组蛋白H3.1
别名 H3/n,H3/o,H3F2,H3FM,HIST2H3A,HIST2H3C,HIST2H3D,histone cluster 2,H3a,Histone H3,Histone H3.2,Histone H3/m,Histone H3/o,HIST1H3A
Uniprot ID P68431
免疫原 小鼠Histone H3.1重组蛋白
抗体亚型 IgG
纯化方式 亲和纯化
亚细胞定位 细胞核, 染色体
预测分子量./观测分子量. 15 kDa / 17 kDa
应用
WB 免疫印迹
物种:人,小鼠,大鼠
稀释比:1:300-1:1000
阳性样品:肝
IHC/IF 免疫组织化学/免疫荧光
物种:人,小鼠,大鼠
稀释比:1:1000-1:2000
阳性样品:脑, 结肠, 肝
背景
Core component of nucleosome. Nucleosomes wrap and compact DNA into chromatin, limiting DNA accessibility to the cellular machineries which require DNA as a template. Histones thereby play a central role in transcription regulation, DNA repair, DNA replication and chromosomal stability. DNA accessibility is regulated via a complex set of post-translational modifications of histones, also called histone code, and nucleosome remodeling.
储存条件
储存条件:储存条件在:-20℃下储存一年, 避免反复冻融.
储存缓冲液:含0.15% ProClin300防腐剂, 100 μg/mL牛血清白蛋白和50%甘油的磷酸盐缓冲液.
图像
WB检测Histone H3蛋白(货号 K133306).
样品: 经RIPA裂解液(货号KSG2002)处理的蛋白质.
封闭: 3%脱脂牛奶(货号KSGC310001)溶于TBST溶液, 室温孵育1小时.
—抗: 1: 500稀释, 4℃ 孵育过夜.
二抗: HRP标记山羊抗兔IgG (H+L) (货号KB69909), 1: 5000稀释, 室温孵育1小时.
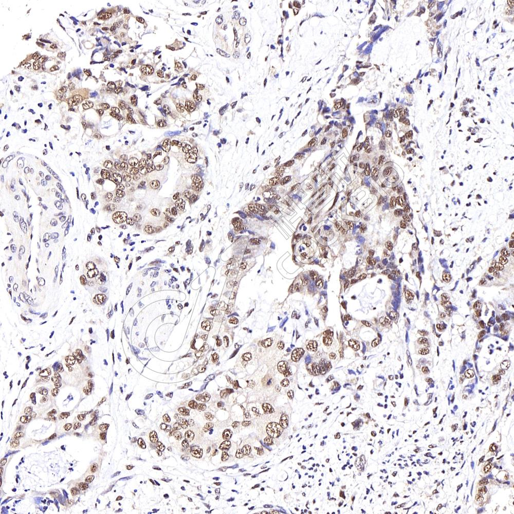
IHC检测Histone H3蛋白(货号 K133306).
样品: 人结肠, 4%多聚甲醛 (货号KSG1101) 固定12-24小时.
抗原修复: Tris-EDTA抗原修复液(pH 9.0) (KSG1203), 98℃, 20分钟.
—抗: 1: 1500稀释, 4℃ 孵育过夜.
二抗: S-vision免疫组化多聚二抗(山羊抗兔),即用型 (货号KB3906), 室温孵育20分钟.
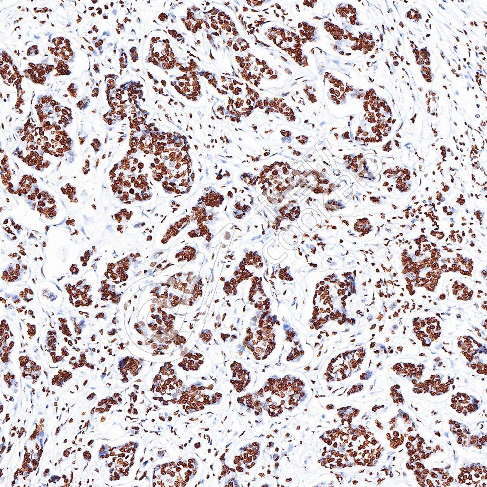
IHC检测Histone H3蛋白(货号 K133306).
样品: 人肺癌, 4%多聚甲醛 (货号KSG1101) 固定12-24小时.
抗原修复: Tris-EDTA抗原修复液(pH 9.0) (KSG1203), 98℃, 20分钟.
—抗: 1: 1500稀释, 4℃ 孵育过夜.
二抗: S-vision免疫组化多聚二抗(山羊抗兔),即用型 (货号KB3906), 室温孵育20分钟.
IHC检测Histone H3蛋白(货号 K133306).
样品: 小鼠脑, 4%多聚甲醛 (货号KSG1101) 固定12-24小时.
抗原修复: Tris-EDTA抗原修复液(pH 9.0) (KSG1203), 98℃, 20分钟.
—抗: 1: 1500稀释, 4℃ 孵育过夜.
二抗: S-vision免疫组化多聚二抗(山羊抗兔),即用型 (货号KB3906), 室温孵育20分钟.
IHC检测Histone H3蛋白(货号 K133306).
样品: 大鼠肝, 4%多聚甲醛 (货号KSG1101) 固定12-24小时.
抗原修复: Tris-EDTA抗原修复液(pH 9.0) (KSG1203), 98℃, 20分钟.
—抗: 1: 1500稀释, 4℃ 孵育过夜.
二抗: S-vision免疫组化多聚二抗(山羊抗兔),即用型 (货号KB3906), 室温孵育20分钟.

需要技术支持?

如果您有任何问题或如果您在实验过程中遇到问题,或需要更详细的技术指导,请联系我们的技术支持团队
电话 400-6027-270

联系我们

如果您对我们的公司或产品有任何疑问,欢迎随时联系我们