tel 400-6027-270
Main Image
Anti-AMT 兔多克隆抗体
¥1900
加入对比
货号: K1337371-100
预测分子量: 44 kDa
观测分子量: 44 kDa
亚细胞定位: 线粒体
别名: Glycine cleavage system T protein,GCVT,AMT,GCST,Amt
应用 | 种属
WB M,R
IHC/IF H
规格:
产品信息
蛋白质全称 线粒体氨甲基转移酶
别名 Glycine cleavage system T protein,GCVT,AMT,GCST,Amt
Uniprot ID Q8CFA2
免疫原 小鼠AMT重组蛋白
抗体亚型 IgG
纯化方式 亲和纯化
亚细胞定位 线粒体
预测分子量./观测分子量. 44 kDa / 44 kDa
应用
WB 免疫印迹
物种:小鼠,大鼠
稀释比:1:500-1:1000
阳性样品:—
IHC/IF 免疫组织化学/免疫荧光
物种:人
稀释比:1:400-1:1000
阳性样品:肾
背景
The glycine cleavage system catalyzes the degradation of glycine.
储存条件
储存条件:储存条件在:-20℃下储存一年, 避免反复冻融.
储存缓冲液:含0.15% ProClin300防腐剂, 100 μg/mL牛血清白蛋白和50%甘油的磷酸盐缓冲液.
图像
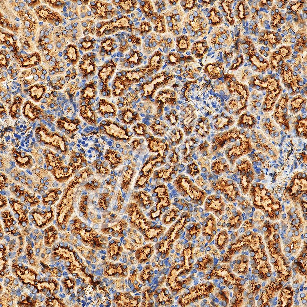
IHC检测AMT蛋白(货号 K1337371).
样品: 人肾, 4%多聚甲醛 (货号KSG1101) 固定12-24小时.
抗原修复: 柠檬酸抗原修复液(干粉, pH 6.0) (KSG1201), 98℃, 20分钟.
—抗: 1: 700稀释, 4℃ 孵育过夜.
二抗: S-vision免疫组化多聚二抗(山羊抗兔),即用型 (货号KB3906), 室温孵育20分钟.
AMT_d1000_WB
IF检测AMT蛋白(货号 K1337371)(红色).
样品: 人肾, 4%多聚甲醛 (货号KSG1101) 固定12-24小时.
抗原修复: Tris-EDTA抗原修复液(pH 9.0) (KSG1203), 98℃, 20分钟.
封闭: 3% BSA(货号KSGC305010)的PBS溶液, 室温孵育30分钟.
—抗: 1: 700稀释, 4℃ 孵育过夜.
二抗: Cy3标记山羊抗兔IgG (H+L) (货号KB63909), 1: 300稀释, 室温孵育1小时.

需要技术支持?

如果您有任何问题或如果您在实验过程中遇到问题,或需要更详细的技术指导,请联系我们的技术支持团队
电话 400-6027-270

联系我们

如果您对我们的公司或产品有任何疑问,欢迎随时联系我们