tel 400-6027-270
Main Image
Anti-CBS 兔多克隆抗体
¥1900
加入对比
货号: K1335382-100
预测分子量: 62 kDa
观测分子量: 62 kDa
亚细胞定位: 细胞质, 细胞核
别名: Beta-thionase,Serine sulfhydrase,Cbs,HIP4,Methylcysteine synthase,EC 4.2.1.22,Cbs cystathionine beta-synthase
应用 | 种属
WB M,R
IHC/IF M,R
规格:
产品信息
蛋白质全称 胱硫醚β合酶
别名 Beta-thionase,Serine sulfhydrase,Cbs,HIP4,Methylcysteine synthase,EC 4.2.1.22,Cbs cystathionine beta-synthase
Uniprot ID Q91WT9
免疫原 KLH偶联的小鼠CBS合成肽
抗体亚型 IgG
纯化方式 亲和纯化
亚细胞定位 细胞质, 细胞核
预测分子量./观测分子量. 62 kDa / 62 kDa
应用
WB 免疫印迹
物种:小鼠,大鼠
稀释比:1:1000-1:2000
阳性样品:—
IHC/IF 免疫组织化学/免疫荧光
物种:小鼠,大鼠
稀释比:1:250-1:800
阳性样品:脑
背景
The CBS gene encodes cystathionine beta-synthase, which catalyzes the first irreversible step of transsulfuration. The CBS enzyme is a homotetramer of 63-kD subunits and requires pyridoxal phosphate and heme for activity. CBS protein is localized in most areas of the brain, but predominantly in the cell bodies and neuronal processes of Purkinje cells and Ammon's horn neurons.
储存条件
储存条件:储存条件在:-20℃下储存一年, 避免反复冻融.
储存缓冲液:含0.15% ProClin300防腐剂, 100 μg/mL牛血清白蛋白和50%甘油的磷酸盐缓冲液.
图像
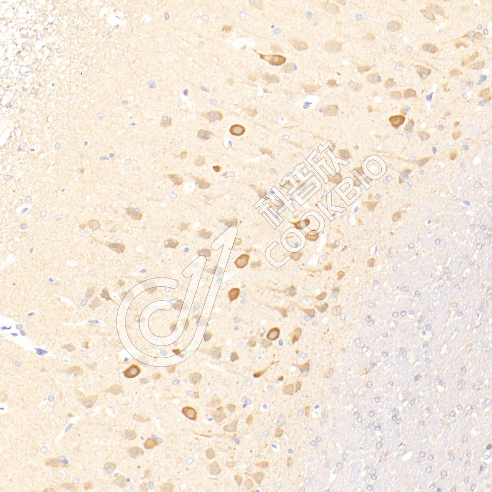
IHC检测CBS蛋白(货号 K1335382).
样品: 小鼠脑, 4%多聚甲醛 (货号KSG1101) 固定12-24小时.
抗原修复: 柠檬酸抗原修复液(干粉, pH 6.0) (KSG1201), 98℃, 20分钟.
—抗: 1: 500稀释, 4℃ 孵育过夜.
二抗: S-vision免疫组化多聚二抗(山羊抗兔),即用型 (货号KB3906), 室温孵育20分钟.
CBS_d1000_WB
IF检测CBS蛋白(货号 K1335382)(红色).
样品: 大鼠脑, 4%多聚甲醛 (货号KSG1101) 固定12-24小时.
抗原修复: Tris-EDTA抗原修复液(pH 9.0) (KSG1203), 98℃, 20分钟.
封闭: 3% BSA(货号KSGC305010)的PBS溶液, 室温孵育30分钟.
—抗: 1: 500稀释, 4℃ 孵育过夜.
二抗: Cy3标记山羊抗兔IgG (H+L) (货号KB63909), 1: 300稀释, 室温孵育1小时.

需要技术支持?

如果您有任何问题或如果您在实验过程中遇到问题,或需要更详细的技术指导,请联系我们的技术支持团队
电话 400-6027-270

联系我们

如果您对我们的公司或产品有任何疑问,欢迎随时联系我们